Tumor Types

Hematologic Malignancies

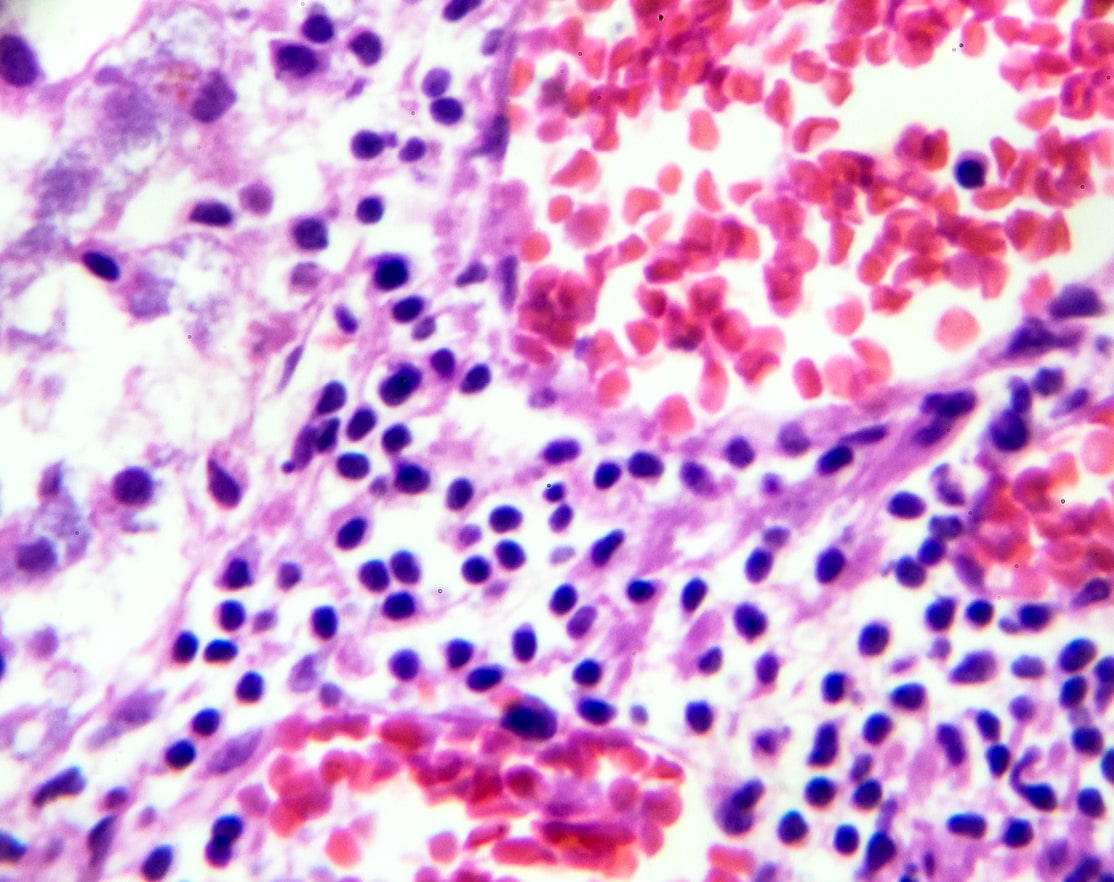
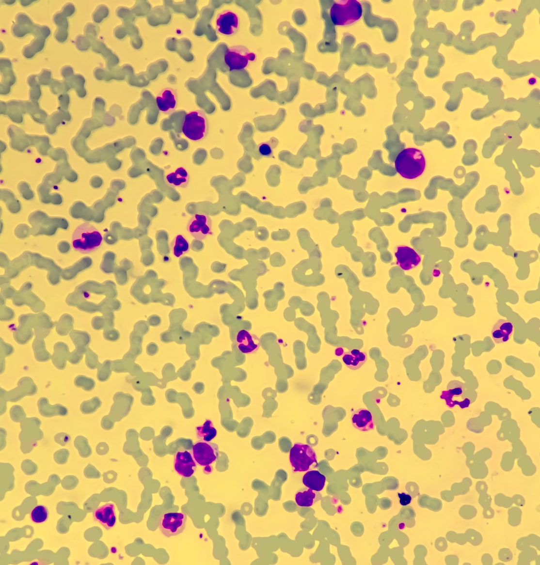
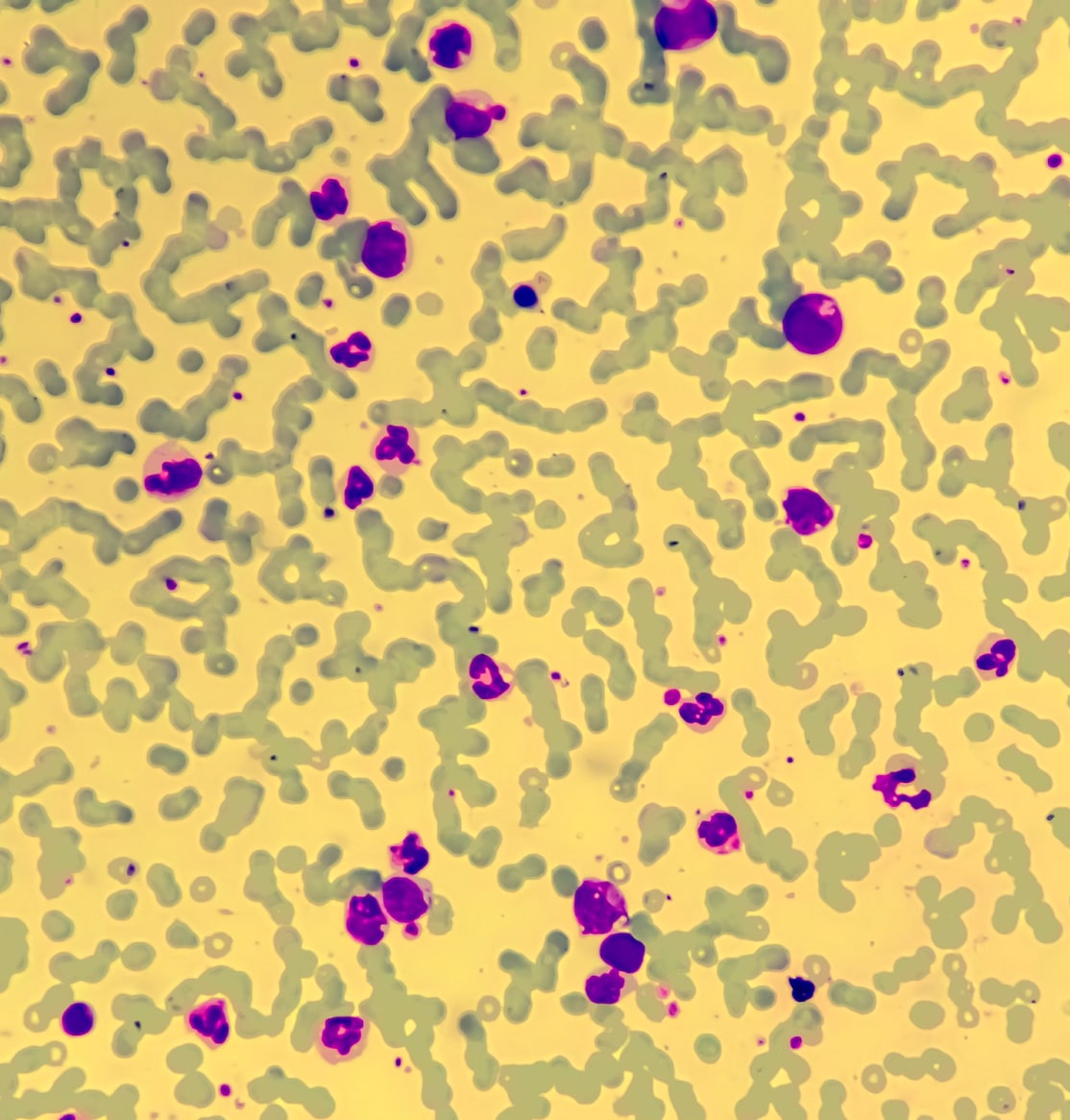
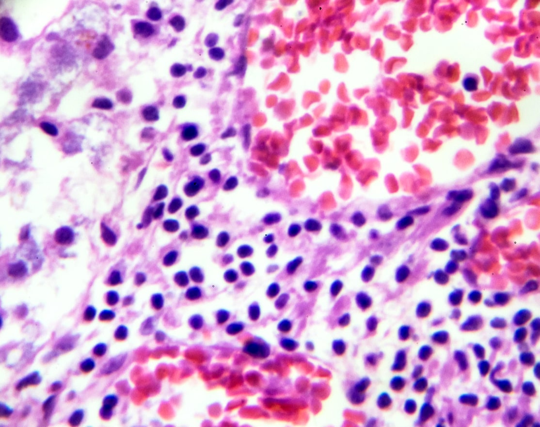
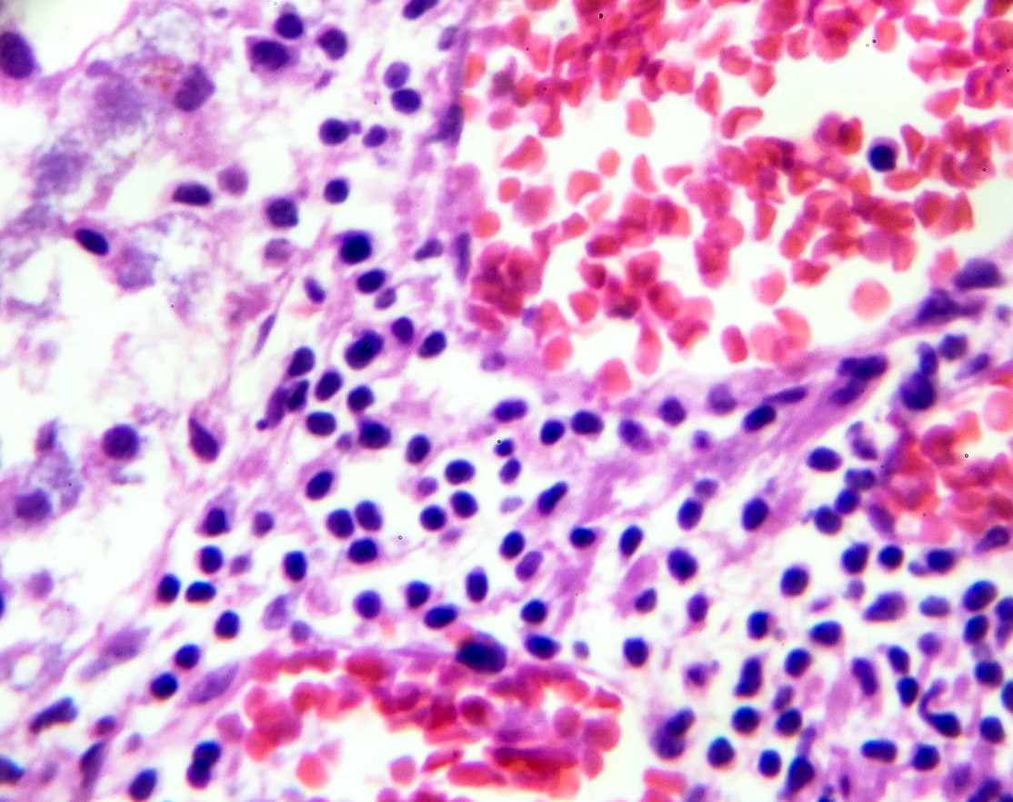
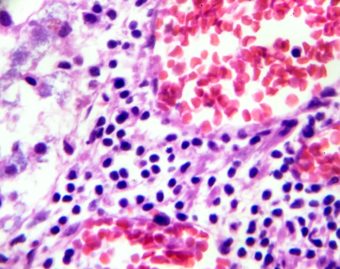
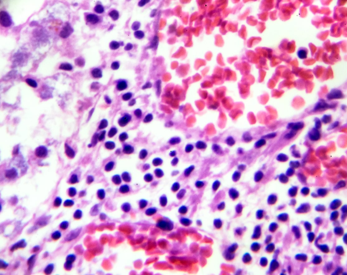
Waldenström Macroglobulinemia

Lipid rafts play a crucial role in Waldenström's macroglobulinemia (WM), a type of indolent b-cell non-Hodgkin lymphoma characterized by the accumulation of lymphoplasmacytic cells and the overproduction of monoclonal immunoglobulin M (IgM). In WM, lipid rafts contribute to aberrant signaling pathways, survival, and disease progression by clustering receptors and signaling proteins that are central to the malignant phenotype.

  • Resistance to Therapy: Lipid rafts contribute to therapeutic resistance in WM by compartmentalizing proteins that can protect cells from the effects of targeted therapies.
  • BCR Signaling: Lipid rafts act as organizing platforms where BCR complexes aggregate with kinases such as LYN, SYK, and BTK, sustaining activation of signaling cascades that promote tumor cell survival and proliferation.

References

Yang G, Xu L, Zhou Y, et al. CXCR4 mutations enhance WHIM syndrome-like signaling and confer resistance to ibrutinib in Waldenström macroglobulinemia. Blood. 2016;128(3):293-306.

Cao Y, Hunter ZR, Liu X, et al. CXCR4 WHIM-like frameshift mutations activate AKT and confer resistance to ibrutinib in Waldenström macroglobulinemia. Blood. 2014;124(19):2932-2936.

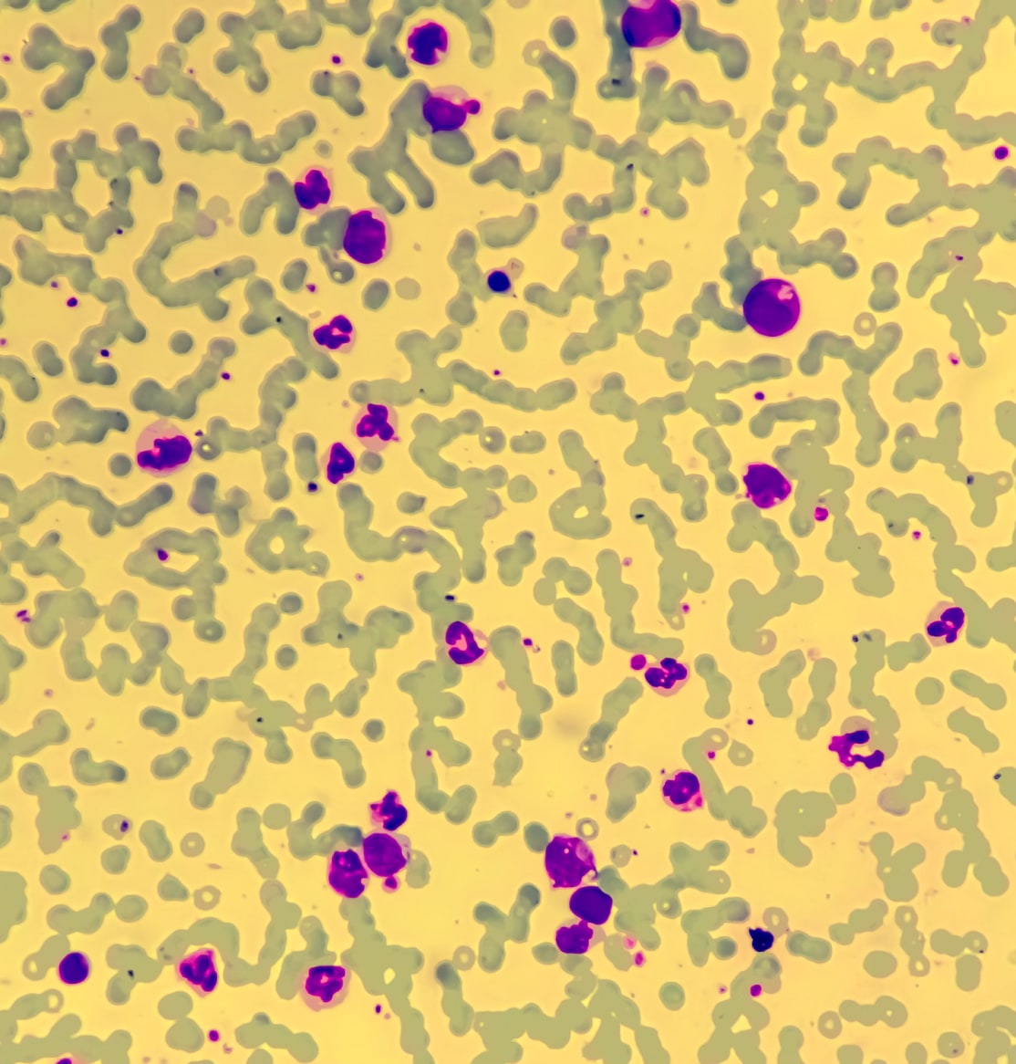
Multiple Myeloma

In multiple myeloma (MM), a cancer of plasma cells, lipid rafts are involved in tumor progression, drug resistance, and cellular communication.

  • Signaling Pathways: Lipid rafts are essential for the organization of signaling molecules, including those involved in cell survival, proliferation, and resistance to apoptosis. In MM, lipid rafts help cluster receptors such as IGF-1R (insulin-like growth factor 1 receptor) and IL-6R (interleukin-6 Receptor), which activate downstream signaling pathways like PI3K/AKT, MAPK, and JAK/STAT.
  • Drug Resistance: Lipid rafts contribute to MM's resistance to chemotherapy by stabilizing drug efflux pumps, like P-glycoprotein (P-gp), within the membrane, and can reduce the sensitivity of myeloma cells to treatments like proteasome inhibitors and dexamethasone.
  • Cell Adhesion and Migration: Lipid rafts are involved in the clustering of adhesion molecules, such as CD44 and integrins, which help myeloma cells adhere to the bone marrow stroma. This adhesion protects cancer cells from chemotherapy and facilitates their survival.

References

Gajate C, Mollinedo F. Lipid rafts and Fas/CD95 signaling in cancer chemotherapy. Biochemical Pharmacol, 2012; 83(11):1499-1506.

Mitsiades, N, Mitsiades C S, Poulaki V, et al. Molecular sequelae of proteasome inhibition in human multiple myeloma cells. Proc Natl Acad Sci U S A. 2003;100(17):10381-10386.

Zhang W, Shi Y, Farooqi AA,, Wang Z, Li Y. The role of lipid rafts in myeloma cell survival and interaction with the microenvironment. Cancer Res. 2009; 69(10): 4327-4334.

Lindholm D, Heikkilä E, Jarvius M, Nilsson M. Statin-mediated targeting of lipid rafts disrupts cholesterol-dependent signaling in myeloma cells. J Clini Invest. 2013;123(3):1642-1648.

indolent Non-Hodgkin Lymphoma

Lipid rafts play a significant role in the pathophysiology of indolent non-Hodgkin lymphoma (iNHL), especially in regulating b-cell receptor (BCR) signaling, cell survival, and resistance to therapy. iNHL includes subtypes like follicular lymphoma (FL) and marginal zone lymphoma (MZL) and Waldenström macroglobulinemia (WM) which tend to have slow progression but are often difficult to cure. Lipid rafts in these lymphomas help orchestrate key signaling pathways essential for lymphoma cell proliferation and survival.

  • B-Cell Receptor (BCR) Signaling:  In iNHL, BCR signaling is a key driver of lymphoma cell growth and survival. Lipid rafts serve as critical platforms for clustering BCR and associated kinases such as LYN, SYK, and BTK, which are essential for initiating downstream signaling. 
  • Resistance to Apoptosis:  Lipid rafts in iNHL are involved in the regulation of anti-apoptotic signaling pathways that help lymphoma cells evade programmed cell death.
  • Immune Evasion: Tumor cells exploit lipid raft domains to avoid immune detection and maintain an immunosuppressive microenvironment.

References

Polyak MJ, Deans JP. Alanine-170 and proline-172 are critical determinants for raft-associated localization of CD20. J Biol Chem. 2002;277(5):327-330.

Czuczman MS, Olejniczak S, Gowda A, et al. Acquirement of rituximab resistance in lymphoma cell lines is associated with both global CD20 gene and protein down-regulation regulated at the pretranscriptional and posttranscriptional levels. Clin Cancer Res. 2008;14(5):1561-1570.

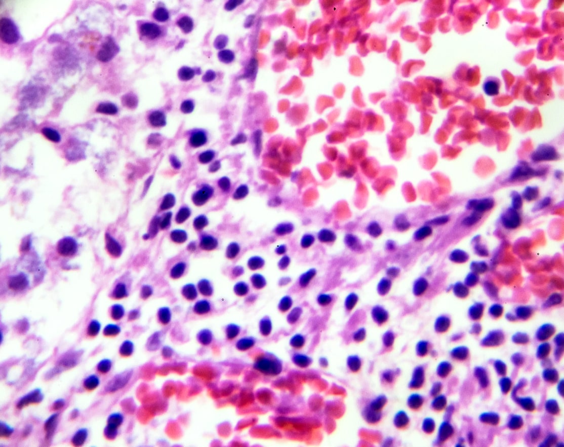
Solid Tumors

High-Grade Glioma

High-grade glioma (HGG) is a fast-growing tumor of glial cells in the brain or spinal cord. Lipid rafts are involved in the migration and invasion of gliomas.

  • Cell adhesion: Gliomas are attracted in a chemotactic manner to the epidermal growth factor (EGF) via the TRPC1 channel, which depends on the integrity of lipid rafts.
  • Promotion of Progression: Lipid rafts mediate the spread of microvesicles between tumor cells and promote the malignant transformation of tumor cells lacking EGFR.

References

Guo X, Zhou S, Yang Z, Li ZA, Hu W, Dai L, Liang W, Wang X. Cholesterol metabolism and its implication in glioblastoma therapy. J Cancer. 2022 Mar 14;13(6):1745-1757.

Triple-Negative Breast Cancer

Lipid rafts in breast cancer are altered and enriched, especially in aggressive forms like triple-negative breast cancer (TNBC). These rafts serve as hubs for key oncogenic receptors, such as the epidermal growth factor receptor (EGFR) and HER2, enhancing their signaling activity.

  • Increased Lipid Rafts in TNBC: In triple-negative breast cancer, lipid rafts are more abundant, facilitating the clustering of growth factor receptors and activation of downstream pathways such as PI3K/AKT and MAPK, which are critical for cell survival and proliferation.
  • Therapeutic Targeting: Disruption of lipid rafts through cholesterol depletion or targeting raft-associated proteins has been shown to reduce breast cancer cell proliferation and induce apoptosis.

References

Chen M, Liu P, Bao W, et al. Lipid rafts and autophagy in cancer inhibition. Front Biosci (Landmark Ed). 2020;25:815-830.

Lewis JD, Vallejo JJ, Agarwal S, et al. Targeting lipid rafts in breast cancer cells with statins and NSAIDs. Front Pharmacol. 2022;13:846184.

Head and Neck Cancer

In head and neck cancer (HNC), especially squamous cell carcinoma, lipid rafts are involved in enhancing the malignant behavior of cancer cells. They provide platforms for important growth factor receptors, integrins, and other molecules that support invasive and metastatic behavior.

  • EGFR and Lipid Rafts: EGFR, a receptor that drives tumorigenesis in head and neck cancer, is often localized in lipid rafts. The increased raft content in these cancer cells enhances EGFR signaling, promoting tumor growth and survival.
  • Invasion and Metastasis: Lipid rafts support the metastatic potential of head and neck cancer by regulating cell adhesion, migration, and interaction with the extracellular matrix.

References

Patel V, Hood BL, Molinolo AA, et al. Proteomic analysis of laser-captured paraffin-embedded tissues: protein expression differences in oral squamous cell carcinoma and histologically normal mucosa. Clin Cancer Res. 2008;14(15):5008-5017.

Patel P, Lahiji A, Patel V, et al. Lipid rafts and caveolae are related to invasive potential of head and neck squamous cell carcinoma cells. Oral Oncol. 2004;40(6):635-642.

Pancreatic Cancer

In pancreatic cancer, lipid rafts play an important role in promoting survival, proliferation, and resistance to therapy. Pancreatic cancer cells have been shown to exhibit increased lipid raft content, which supports the activation of pro-survival signaling pathways like PI3K/AKT and MAPK.

  • Cholesterol and Lipid Rafts: Pancreatic cancer cells rely on elevated cholesterol levels to maintain the structure and function of lipid rafts, enabling sustained oncogenic signaling. Cholesterol-depleting agents that disrupt lipid rafts have been found to inhibit pancreatic cancer cell growth.
  • Therapeutic Resistance: Lipid rafts in pancreatic cancer cells contribute to resistance to chemotherapy by clustering drug efflux pumps and promoting anti-apoptotic signaling.

References

Domingues A, Davis B, Stetler-Stevenson WG, Matrix metalloproteinase inhibition and the development of anticancer therapy: the role of lipid rafts. J Cancer Metastasis Treat. 2018;4:7.