S-1/A: General form of registration statement for all companies including face-amount certificate companies
Published on August 6, 2014
As filed with the Securities and Exchange Commission on August 6, 2014
Registration No. 333-196091
UNITED STATES
SECURITIES AND EXCHANGE COMMISSION
Washington, D.C. 20549

Amendment No 2.
to
FORM S-1
REGISTRATION STATEMENT
UNDER
THE SECURITIES ACT OF 1933

CELLECTAR BIOSCIENCES, INC.
(Exact name of registrant as specified in its charter)

| Delaware | 2834 | 04-3321804 | ||
| (State or other jurisdiction of incorporation or organization) |
(Primary Standard Industrial Classification Code Number) |
(I.R.S. Employer Identification Number) |

3301 Agriculture Drive
Madison, WI 53716
(608) 441-8120
(Address, including zip code, and telephone number,
including area code, of registrants principal executive offices)

Simon Pedder, Ph.D.
President and Chief Executive Officer
3301 Agriculture Drive
Madison, WI 53716
(608) 441-8120
(Name, address, including zip code, and telephone number,
including area code, of agent for service)

Copies to:
| Paul Bork, Esq. Foley Hoag LLP 155 Seaport Boulevard Boston, Massachusetts 02210 (617) 832-1000 |
Joseph A. Smith, Esq. Ellenoff Grossman & Schole LLP 1345 Avenue of the Americas New York, NY 10105-0302 (212) 370-1300 |

Approximate date of commencement of proposed sale to the public: As soon as practicable after this Registration Statement is declared effective.
If any of the securities being registered on this Form are to be offered on a delayed or continuous basis pursuant to Rule 415 under the Securities Act of 1933, check the following box. x
If this Form is filed to register additional securities for an offering pursuant to Rule 462(b) under the Securities Act, please check the following box and list the Securities Act registration statement number of the earlier effective registration statement for the same offering. o
If this Form is a post-effective amendment filed pursuant to Rule 462(c) under the Securities Act, check the following box and list the Securities Act registration statement number of the earlier effective registration statement for the same offering. o
If this Form is a post-effective amendment filed pursuant to Rule 462(d) under the Securities Act, check the following box and list the Securities Act registration statement number of the earlier effective registration statement for the same offering. o
Indicate by check mark whether the registrant is a large accelerated filer, an accelerated filer, a non-accelerated filer, or a smaller reporting company. See the definitions of large accelerated filer, accelerated filer, and smaller reporting company in Rule 12b-2 of the Exchange Act.
(Check one):
| Large accelerated filer o | Accelerated filer o | |
| Non-accelerated filer o (Do not check if a smaller reporting company) | Smaller reporting company x |
The registrant hereby amends this Registration Statement on such date or dates as may be necessary to delay its effective date until the registrant shall file a further amendment which specifically states that this Registration Statement shall thereafter become effective in accordance with Section 8(a) of the Securities Act of 1933 or until the Registration Statement shall become effective on such date as the Commission, acting pursuant to said Section 8(a), may determine.
The information in this preliminary prospectus is not complete and may be changed. We may not sell these securities until the registration statement filed with the Securities and Exchange Commission is effective. This preliminary prospectus is not an offer to sell these securities and it is not soliciting offers to buy these securities in any jurisdiction where the offer or sale is not permitted.

| PRELIMINARY PROSPECTUS | SUBJECT TO COMPLETION | DATED AUGUST 6, 2014 |

Up to $20 Million in Shares of Common Stock and Warrants to Purchase Shares of Common Stock

We are offering up to shares of common stock, together with warrants to purchase an equal number of shares of common stock at a purchase price of (and the shares issuable from time to time upon exercise of the warrants) pursuant to this prospectus. The shares and warrants will be separately issued, but the shares and warrants will be issued and sold to purchasers in equal proportion. Each warrant will have an exercise price of per share, will be exercisable upon issuance and will expire five years from the date of issuance.
Our common stock is quoted on the OTCQX® marketplace under the symbol CLRB. Prior to February 12, 2014 our common stock was quoted under the symbol NVLT. On June 13, 2014, we effected a 1:20 reverse split of our common stock (the Listing Reverse Split). We have applied for listing of our common stock and warrants on The NASDAQ Capital Market under the symbol CLRB and CLRBW, respectively. No assurance can be given that our application will be approved. On August 4, 2014, the last reported sale price of our common stock on the OTCQX was $6.15 per share.
Investing in the offered securities involves a high degree of risk. See Risk Factors beginning on page 8 of this prospectus for a discussion of information that you should consider before investing in our securities.
NEITHER THE SECURITIES AND EXCHANGE COMMISSION NOR ANY STATE SECURITIES COMMISSION HAS APPROVED OR DISAPPROVED OF THESE SECURITIES OR DETERMINED IF THIS PROSPECTUS IS TRUTHFUL OR COMPLETE. ANY REPRESENTATION TO THE CONTRARY IS A CRIMINAL OFFENSE.
| Per Share and Warrant | Total | |||||||
| Public offering price | $ | $ | ||||||
| Underwriting discount(1) | $ | $ | ||||||
| Proceeds, before expenses, to us | $ | $ | ||||||
| (1) | See Underwriting for a description of compensation payable to the underwriter. We have agreed to reimburse the underwriter for certain accountable expenses as well as a 1% nonaccountable expense allowance. We have also agreed to issue the underwriter warrants to purchase a number of shares of common stock equal to 5% of the number of shares sold in this offering, subject to certain exceptions. |
We have granted a 45-day option to the underwriter, to purchase up to an additional shares and/or warrants from us solely to cover over-allotments, if any. The shares and/or warrants issuable upon exercise of the underwriter option are identical to those offered by this prospectus and have been registered under the registration statement of which this prospectus forms a part. If the underwriters exercise the option in full, the total discount and commission will be $ and the total net proceeds, before expenses, to us will be $ .
The underwriter expects to deliver the shares and warrants to purchasers in the offering on or about , 2014.
Aegis Capital Corp.
The date of this prospectus is , 2014.
Cancer-Targeted, Broad Spectrum, Multi-Product Technology Platform
I-124-CLR1404: Cancer PET Imaging
Unsuspected brain metastases in 70-year-old man with
primary bronchogenic carcinoma.
Transverse PET image (A) obtained 6 days after injection of 5 mCi I-124-CLR1404 shows a right hemispheric focus of activity (arrow) that was not detectable on 18F-FDG PET (B), but confirmed on subsequent contrast-enhanced MR (C, arrow). Fused volume-rendered I-124-CLR1404 PET-MR image (D) shows a total of three unsuspected brain metastases (2 cerebral and 1 cerebellar) that were identified on I-124-CLR1404 PET and confirmed on MR, which altered the treatment strategy for this patient. Additional fused volume-rendered I-124-CLR1404 PET-MR image (E) with segmentation of the brain metastases shows the regions of I-124-CLR1404 uptake (purple), which exceed the regions of abnormal MR contrast enhancement (yellow). The clinical significance of this uptake-enhancement discordance within the tumor is uncertain at this time but serves as the aim of the Phase 2 glioblastoma imaging trial. (Provided by Dr. Perry Pickhardt, University of Wisconsin Carbone Cancer Center)
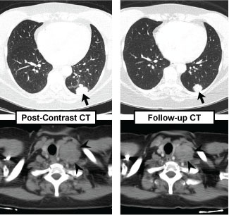
I-131-CLR1404: Molecular Radiotherapy
Tumor response after injection of single 85 mCi dose of I-131-CLR1404
in 58-year-old woman with metastatic triple-negative breast cancer
Transverse CT images through the lungs before (A) and 78 days after (B) I-131-CLR1404 administration shows a left lower lobe metastatic lesion (arrows) that decrease over 30% by volume.
A similar response was seen with the patients left cervical lymphadenopathy (C and D, arrowheads). (Provided by Dr. Perry Pickhardt, University of Wisconsin Carbone Cancer Center)
CLR1502: Optical Imaging (800nm)
Non-Invasive Tumor Imaging and Intraoperative Margin Illumination
Photograph (left) and near infrared image (right) of an excised mouse brain (B) and human glioma stem cell derived tumor (T) that was surgically separated from the brain under optical guidance 96 h after injection of CLR1502. Note much more optical signal emanating from the tumor relative to normal brain. (Provided by Dr. John Kuo, University of Wisconsin Carbone Cancer Center).
The images provided above are for illustrative purposes only and may not be indicative of all results.
The above illustrations do not refer to products approved by the FDA.
Cellectar has not received any revenue from the sale of its products.
CELLECTAR BIOSCIENCES, INC.
TABLE OF CONTENTS
No dealer, salesperson or other person has been authorized to give any information or to make any representations other than those contained in this prospectus in connection with the offer contained in this prospectus and, if given or made, such information or representations must not be relied upon as having been authorized by us.
Neither the delivery of this prospectus nor any sale made hereunder shall under any circumstances create an implication that there has been no change in our affairs since the date hereof. This prospectus does not constitute an offer to sell or a solicitation of an offer to buy securities other than those specifically offered hereby or of any securities offered hereby in any jurisdiction where, or to any person to whom, it is unlawful to make such offer or solicitation. The information contained in this prospectus speaks only as of the date of this prospectus unless the information specifically indicates that another date applies. In this prospectus, references to Cellectar Biosciences, Inc., Cellectar Bio, the Company, we, us, and our, refer to Cellectar Biosciences, Inc.
This prospectus has been prepared based on information provided by us and by other sources that we believe are reliable. This prospectus summarizes certain documents and other information in a manner we believe to be accurate, but we refer you to the actual documents, if any, for a more complete understanding of what we discuss in this prospectus. All of such documents are filed as exhibits to the registration statement of which this prospectus is a part. In making a decision to invest in the securities offered in this prospectus, you must rely on your own examination of us and the terms of the offering and securities offered in this prospectus, including the merits and risks involved.
i
We are not making any representation to you regarding the legality of an investment in the securities offered in this prospectus under any legal investment or similar laws or regulations. You should not consider any information in this prospectus to be legal, business, tax or other advice. You should consult your own attorney, business advisor and tax advisor for legal, business and tax advice regarding an investment in our securities. You may only rely on the information contained in or incorporated by reference into this prospectus or that we have referred you to.
We have not authorized anyone to provide you with different information. This prospectus does not constitute an offer to sell or a solicitation of an offer to buy any securities other than the securities offered by this prospectus. No offers will be made to, nor accepted from, any person that does not meet the definition of an institutional investor under the blue sky laws of its state of domicile unless otherwise specified in the Underwriting section below. Neither the delivery of this prospectus nor any sale made in connection with this prospectus shall, under any circumstances, create any implication that there has been no change in our affairs since the date of this prospectus or that the information contained by reference to this prospectus is correct as of any time after its date.
You should also read and consider the information in the documents to which we have referred you under the captions Where You Can Find More Information and Incorporation of Documents by Reference in this prospectus.
ii
PROSPECTUS SUMMARY
This summary highlights information contained elsewhere in this prospectus and does not contain all of the information that you should consider in making your investment decision. Before investing in our securities, you should carefully read this entire prospectus, including the documents to which we have referred you under the headings Where You Can Find More Information and Incorporation of Documents by Reference and the information set forth under the headings Risk Factors and Managements Discussion and Analysis of Financial Condition and Results of Operations in each case included elsewhere in this prospectus.
Prior to February 11, 2014, the name of the Company was Novelos Therapeutics, Inc. (Novelos). On April 8, 2011, Novelos entered into a business combination (the Acquisition) with Cellectar, Inc., a privately held Wisconsin corporation that designed and developed products to detect, treat and monitor a wide variety of human cancers. References to Cellectar, Inc. relate to the activities and financial information of Cellectar, Inc. prior to the Acquisition, references to Novelos relate to the activities and financial information of Novelos prior to the Acquisition and references to Cellectar Bio or the Company or we or us or our relate to the activities and obligations of the combined Company following the Acquisition.
Please refer to the Glossary of Certain Scientific Terms on page 65 of this prospectus for definitions of certain technical and scientific terms used throughout this prospectus.
Overview
Our Business
Our cancer-targeting technology permits selective delivery of a wide range of agents to cancer cells, including cancer stem cells. By attaching different agents to our proprietary phospholipid ether (PLE) cancer-targeting delivery platform, we believe we can engineer product candidates with the potential to both image and treat a wide range of cancers. This offers the potential for a paradigm shift in the detection and treatment of cancer by using the same delivery platform for both detecting malignancy and providing efficacy versus all three major drivers of morbidity and mortality in cancer: primary tumors, metastases and stem cell-based relapse.
The Company is currently developing three proprietary product candidates:
| | I-124-CLR1404 is a small-molecule, broad-spectrum, cancer-targeting positron emission tomography (PET) imaging agent that we believe has the potential to be the first of its kind for the selective detection of tumors and metastases in a broad range of cancers. Investigator-sponsored Phase 1/2 clinical trials of I-124-CLR1404 are ongoing across 11 solid tumor indications. In March 2014, we commenced enrollment in a Phase 2 clinical trial studying I-124-CLR1404 in the imaging of glioblastoma, a type of glioma. We expect to complete this trial by the end of 2014, subject to additional funding. In April 2014, the U.S. Food and Drug Administration (FDA) granted I-124-CLR1404 orphan status as a diagnostic for the management of glioma. |
| | I-131-CLR1404 is a small-molecule, broad-spectrum, cancer-targeting molecular radiotherapeutic that delivers cytotoxic (cell-killing) radiation directly and selectively to cancer cells and cancer stem cells. We believe I-131-CLR1404 also has the potential to be the first therapeutic agent to use PLE analogs to target cancer cells. In November 2013, we completed enrollment in a Phase 1b dose-escalation trial evaluating I-131-CLR1404 in the treatment of patients with advanced solid tumors and the results of the trial were presented at the American Society of Clinical Oncology (ASCO) June 2014 Annual Meeting. Because of the highly radiosensitive nature, clear unmet medical need in the relapse/refractory setting and the potential to receive orphan drug designation, the Company is targeting multiple myeloma as an initial indication for future I-131-CLR1404 development and plans to submit an Investigational New Drug Application (IND) with the FDA in 2014. |
| | CLR1502 is a preclinical, small-molecule, cancer-targeting, non-radioactive optical imaging agent for intraoperative tumor margin illumination and non-invasive tumor imaging. We anticipate filing an IND with the FDA for CLR1502 in 2014. |
1
Together, we believe our compounds have the potential to improve upon current standard of care (SOC) for the detection, treatment and monitoring of a wide variety of human cancers.
Technology Overview
The following chart depicts the pipeline of our development programs:
Our product candidates are based on a cancer-targeting delivery platform of optimized PLE analogs that interact with lipid rafts. Lipid rafts are specialized regions of the membrane phospholipid bilayer that contain high concentrations of cholesterol and sphingolipids and serve to organize cell surface and intracellular signaling molecules (e.g., growth factor and cytokine receptors, the phophatidylinosotol 3-kinase (P13K)/Akt survival pathway). Importantly, the core chemical structure shared across all three products provides selective targeting of cancer cells, including cancer stem cells, in preference to normal cells, due to enrichment of lipid rafts in the former. The cancer-targeting PLE carrier molecule was deliberately designed to be coupled to imaging or therapeutic molecules. For example, iodine can be attached via a very stable covalent bond resulting in two distinct products differing only with respect to the isotope of iodine they contain I-131-CLR1404 contains radioactive I-131 and I-124-CLR1404 contains the shorter-lived radioactive I-124. Because of their chemical identity, I-124-CLR1404 also represents an ideal biomarker that may be used to predict tumor sensitivity of I-131-CLR1404 and, potentially, establish an efficacious dose in individual patients. Other, non-radioactive molecules can also be attached to the PLE carrier. In the case of CLR1502, this is a near-infrared (NIR) emitting fluorophore (800 nm) whose signal can penetrate through up to approximately 1 cm of tissue. This may enable the use of CLR1502 to visualize tumor margins during cancer surgery, effectively acting as an adjunct to a therapeutic agent, and to non-invasively detect relatively superficial tumors. Thus, to date, three cancer-targeting product profiles have been generated from a single chemical core structure that is the foundation of our technology platform: a diagnostic PET imaging agent, I-124-CLR1404; a molecular radiotherapeutic agent, I-131-CLR1404; and a non-radioactive optical imaging agent, CLR1502, to increase the success of cancer surgery and non-invasively image certain tumors.
Malignant tumor targeting, including targeting of cancer stem cells, has been demonstrated in vivo. Mice without intact immune systems, and inoculated with Panc-1 (pancreatic carcinoma) cells, were injected with CLR1502 24 or 96 hours prior to imaging. In vivo optical imaging showed pronounced accumulation of CLR1502 in tumors versus non-target organs and tissues. Similarly, PET imaging of tumor-bearing animals (colon, glioma, triple negative breast and pancreatic tumor xenograft models) administered the imaging agent I-124-CLR1404 clearly shows selective uptake and retention by both primary tumors and metastases, including cancer stem cells. PET/CT analysis following co-injection of I-131-CLR1404 (for therapy) and I-124-CLR1404 (for imaging) revealed time-dependent tumor responses and disappearance over 9 days in a cancer xenograft model. We believe that the capability of our technology to target and be selectively retained by cancer stem cells in vivo was demonstrated by treating glioma stem cell derived orthotopic tumor-bearing mice with another fluorescent-labeled PLE (CLR1501), and then removing the tumor and isolating cancer stem cells, which continued to display CLR1501 labeling even after three weeks in cell culture.
2
The basis for selective tumor targeting of our compounds lies in differences between the plasma membranes of cancer cells as compared to those of most normal cells. Specifically, cancer cell membranes are highly enriched in lipid rafts. Data suggests that lipid rafts serve as portals of entry for PLEs such as I-124-CLR1404, I-131-CLR1404 and CLR1502. The marked selectivity of our compounds for cancer cells versus non-cancer cells is due to the fact that cancer cells have far more lipid rafts. Following cell entry via lipid rafts, I-124-CLR1404, I-131-CLR1404 and CLR1502 are transported into the cytoplasm, where they distribute to organelle membranes (mitochondria, ER, lysosomes) but not the nucleus. The pivotal role played by lipid rafts is underscored by the fact that disruption of lipid raft architecture suppresses uptake of PLEs into cancer cells.
Our core technology platform is based on research conducted by Cellectar, Inc.s founder and our Chief Scientific Officer, Dr. Jamey Weichert, beginning in 1994 at the University of Michigan (U. Mich.), where phospholipid ether analogs were initially designed, synthesized, radiolabeled, and evaluated in the laboratory of Raymond Counsell. Since 1998, Dr. Weichert has continued his research at the University of Wisconsin (U. Wisc.) and subsequently founded Cellectar, Inc. in 2002 to further develop and commercialize the technology. Cellectar, Inc. obtained exclusive rights to the related technology patents owned by U. Mich. in 2003 and continued development of the platform while obtaining ownership of numerous additional patents and patent applications (lasting until 2025, 2028 and 2030 without extensions).
Key Risks and Uncertainties
We are subject to numerous risks and uncertainties, including the following:
| | We will require additional capital in order to continue our operations, and may have difficulty raising additional capital; |
| | We are a development stage company with a going concern qualification to our financial statements and a history of losses, and we can provide no assurance as to our future operating results; |
| | We have had significant management turnover in the last year, we continue to depend on key personnel who may terminate their employment with us at any time, and our success will depend on our ability to hire additional qualified personnel; |
| | Our convertible debentures prohibit us from taking certain actions without the consent of the holders, are senior to our common stock in liquidation or a sale of the company, and may result in additional dilution; |
| | At present, our success depends solely on the successful commercialization of some or all of our three compounds in development, which cannot be assured; |
| | The failure to complete development of our technology, to obtain government approvals, including required FDA approvals, or to comply with ongoing governmental regulations could prevent, delay or limit the introduction or sale of proposed products and result in failure to achieve revenues or maintain our ongoing business; |
| | Clinical trials involve a lengthy and expensive process with an uncertain outcome, and results of earlier studies and trials may not be predictive of future trial results; |
3
| | We may be required to suspend or discontinue clinical trials due to unexpected side effects or other safety risks that could preclude approval of our product candidates; |
| | We have limited in-house research and manufacturing capacity and will continue to rely, to some extent, on research and manufacturing facilities at various universities, hospitals, contract research organizations and contract manufacturers for a portion of our research, development, and manufacturing. In the event we exceed our in-house capacity or lose access to those facilities, our ability to gain FDA approval and commercialization of our drug delivery technology and products could be delayed or impaired; |
| | We expect to rely heavily on orphan drug status to develop and commercialize our product candidates, but our orphan drug designations may not confer marketing exclusivity or other expected benefits; |
| | We are exposed to product, clinical and preclinical liability risks that could create a substantial financial burden should we be sued; |
| | We could suffer monetary damages or incur substantial costs in the event of future legal proceedings; |
| | There may be a limited public market for our securities; we presently fail to qualify on any national securities exchange; |
| | On June 13, 2014, we effected a 1-for-20 reverse stock split of our outstanding common stock in order to meet the minimum bid price requirement of the NASDAQ Capital Market. There can be no assurance that we will be able to continue to comply with the minimum bid price requirement of the NASDAQ Capital Market, in which case this offering may not be completed; |
| | Even if we do obtain a listing on the NASDAQ Capital Market, there can be no assurance that we will be able to comply with other continued listing standards of the NASDAQ Capital Market; |
| | The reverse stock split may decrease the liquidity of the shares of our common stock; and |
| | Following the reverse stock split, the resulting market price of our common stock may not attract new investors, including institutional investors, and may not satisfy the investing requirements of those investors. Consequently, the trading liquidity of our common stock may not improve. |
For a more detailed description of the material risks and uncertainties we face, please see Risk Factors beginning on page 8 of this prospectus.
Reverse Stock Split and Recapitalization
At our annual meeting of stockholders held on May 22, 2014, our stockholders approved an amendment to our certificate of incorporation to effect a reverse split of our common stock at a ratio between 1:10 to 1:20 in order to satisfy requirements for the listing of our common stock on the NASDAQ Capital Market. In addition, the proposal approved by the stockholders provided that if the reverse split was effected, the number of shares of common stock that we are authorized to issue would be reduced from 150,000,000 to the greater of (A) 20,000,000 and (B) the number of shares equal to three (3) times the sum of the number of all shares of our common stock outstanding and the number of shares of common stock issuable upon exercise or conversion of all outstanding options, warrants and convertible debt. Our stockholders further authorized the board of directors to determine the ratio at which the reverse split would be effected and the corresponding reduction in authorized shares of common stock by filing an appropriate amendment to our certificate of incorporation. Our board of directors authorized the ratio of the reverse split and corresponding reduction in authorized shares on June 6, 2014 and effective at the close of business on June 13, 2014, we amended our second amended and restated certificate of incorporation to effect a 1-for-20 reverse split of our common stock (the Listing Reverse Split) and reduce the number of authorized shares of our common stock to 20,000,000 from 150,000,000. All share and per share numbers included in this prospectus give effect to the Listing Reverse Split.
4
Redemption of Convertible Debentures
On February 6, 2014, we completed a private placement of convertible debentures with an aggregate principal amount of $4,000,000 convertible debentures and warrants to purchase 400,000 shares of our common stock, giving effect to the Listing Reverse Split, for proceeds of $4,000,000. The convertible debentures mature on February 6, 2016 and are convertible at any time at a conversion price of $10.00 per share into an aggregate of 400,000 shares of common stock, giving effect to the Listing Reverse Split. The convertible debentures accrue interest at an annual rate of 8%, payable upon redemption or conversion in cash or shares of our common stock. We may elect to redeem the convertible debentures prior to the maturity date upon 30-day notice to the holder. In the event of any sale of securities by us resulting in aggregate gross proceeds of at least $2,000,000 (a Subsequent Financing), the holder shall have the right to require us to redeem some or all of the then outstanding principal amount of the debenture, plus all accrued but unpaid interest and other amounts due in respect of the debenture, in an amount equal to the amount of the holders investment in the Subsequent Financing by delivering notice to us on or before the consummation date of the Subsequent Financing. If, prior to November 6, 2015, we raise gross proceeds of at least $8,000,000, in the aggregate, in one or more subsequent financings (the Minimum Proceeds), the Company may, by notice given within three trading days after the receipt of the Minimum Proceeds, compel holders to convert all or part of the then outstanding principal amount of the debentures and accrued but unpaid interest and other amounts, at the conversion price of $10.00 per share.
This Offering constitutes a Subsequent Financing. Accordingly some or all of the holders of the convertible debentures may participate in the Offering for an aggregate of up to $4,000,000, plus any accrued but unpaid interest and other amounts due in respect of the debentures held by the participating holders. In addition, to the extent any holders elect not to redeem their notes in connection with the Offering, if we raise gross proceeds of at least $8,000,000, we will, upon completion of the Offering, have the right to force the conversion of any remaining debentures at the $10.00 per share conversion price.
In the event we redeem all or any part of the convertible debentures in connection with the Offering, the related warrants would be terminated in their entirety or in proportion to the portion of the convertible debentures that are redeemed, as more fully described in this prospectus.
The convertible debentures are secured by a lien on all of our assets, pari passu with approximately $620,000 of 8% promissory notes of the Company issued on July 29, 2014. The lien was granted in favor of the holders of the convertible debentures as consideration for their consent to the issuance of up to $1,000,000 of the promissory notes. The promissory notes will be paid in full with the proceeds of the Offering.
Company Information
Our headquarters and manufacturing operation, which is compliant with current Good Manufacturing Practices (cGMP), is located at 3301 Agriculture Drive, Madison, Wisconsin 53716. The information included or referred to on, or accessible through, our website does not constitute part of, and is not incorporated by reference into, this prospectus.
5
The Offering
| Securities offered by us: |
| Up to shares of our common stock and warrants to purchase an equal number of shares of common stock. |
| Description of Warrants: |
| The shares and warrants will be separately transferable immediately upon issuance, but the shares and warrants will be issued and sold to purchases in equal proportion. Each warrant will have an exercise price of per share, will be exercisable upon issuance and will expire five years from the date of issuance. |
| Common Stock to be outstanding after this offering: |
| shares.(1) |
| Use of Proceeds: |
| We expect to use the net proceeds received from this offering to fund our research and development activities, including furthering the development of I-124-CLR1404, I-131-CLR1404 and CLR1502 and for general corporate purposes. We also intend to use a portion of the proceeds to redeem the convertible debentures issued in February 2014 and the 8% promissory notes issued in July 2014. For a more complete description of our anticipated use of proceeds from this offering, see Use of Proceeds. |
| Risk Factors: |
| See Risk Factors beginning on page 8 and the other information included in this prospectus for a discussion of factors you should carefully consider before deciding whether to purchase our securities. |
| OTCQX symbol for our Common Stock: |
| CLRB |
| Listing |
| We have applied for a listing of our common stock and warrants on the NASDAQ Capital Market under the symbol CLRB and CLRBW, respectively. No assurance can be given that our application will be accepted. |

| (1) | The number of shares of our common stock to be outstanding after this offering is based on 2,869,739 shares of common stock outstanding as of August 1, 2014 and excludes, as of that date: |
| | shares issuable upon the exercise of warrants sold in this offering; |
| | an aggregate of 619,664 shares of common stock issuable upon the exercise of outstanding stock options issued to employees, directors and consultants, including options issued under our 2006 Stock Incentive Plan; |
| | an aggregate of 162,455 additional shares of common stock reserved for future issuance under our 2006 Stock Incentive Plan; |
| | an aggregate of 1,552,898 additional shares of common stock reserved for issuance under outstanding warrant agreements entered into in connection with financing transactions completed during 2013, 2012 and 2011, having expiration dates between March 31, 2016 and February 20, 2018, and exercise prices ranging from $10.00 per share to $25.00 per share; |
| | an aggregate of 11,187 additional shares of common stock reserved for issuance under various outstanding warrant agreements, having expiration dates between July 27, 2015 and December 31, 2015, and exercise prices ranging from $10.00 per share to $2,019.60 per share; |
| | an aggregate of 400,000 additional shares of common stock reserved for issuance upon the conversion of debt with a conversion price of $10.00 per share and a maturity date of February 6, 2016; and |
6
| | an aggregate of 400,000 additional shares of common stock reserved for issuance under warrant agreements, expiring on February 6, 2019, at an exercise price of $20.00 per share, which are exercisable only following the conversion of associated debt. |
Unless we specifically state otherwise, the share information in this prospectus is as of August 1, 2014 and reflects or assumes no exercise of outstanding options or warrants to purchase shares of our common stock and no conversion of debt.
Summary Historical Financial Information
The following table summarizes our financial data. We have derived the following summary of our statements of operations data for the six months ended June 30, 2014 and 2013 and the summary of our balance sheet data as of June 30, 2014 from our unaudited consolidated financial statements which have been incorporated by reference in this prospectus. We have derived the following summary of our statements of operations data for the years ended December 31, 2013 and 2012 and the summary of our balance sheet data as of December 31, 2013 and 2012 from our audited consolidated financial statements, for the applicable periods, which have been incorporated by reference in this prospectus. The following summary of our financial data set forth below should be read together with our financial statements and the related notes to those statements referred to under the heading Documents Incorporated by Reference.
| Six Months Ended June 30, |
Year Ended December 31, |
|||||||||||||||
| 2014 | 2013 | 2013 | 2012 | |||||||||||||
| Statement of Operations Data: |
||||||||||||||||
| Research and development costs | $ | 3,096,105 | $ | 3,239,450 | $ | 6,860,163 | $ | 5,122,686 | ||||||||
| General and administrative costs | 2,046,921 | 2,195,452 | 4,444,767 | 3,632,099 | ||||||||||||
| Restructuring costs | 221,815 | | 1,096,874 | | ||||||||||||
| Total costs and expenses | 5,364,841 | 5,434,902 | 12,401,804 | 8,754,785 | ||||||||||||
| Gain/(loss) on derivative warrants | 518,806 | (78,573 | ) | 1,628,984 | (33,854 | ) | ||||||||||
| Other expense | (183,214 | ) | (4,866 | ) | (9,348 | ) | (8,335 | ) | ||||||||
| Net loss | (5,029,249 | ) | (5,518,341 | ) | (10,782,168 | ) | (8,796,974 | ) | ||||||||
| Deemed dividend on warrants | | | | (543,359 | ) | |||||||||||
| Net loss attributable to common stockholders | (5,029,249 | ) | (5,518,341 | ) | (10,782,168 | ) | (9,340,333 | ) | ||||||||
| Basic and diluted net loss per common share attributable to common stockholders(1) | (1.75 | ) | (2.03 | ) | (3.86 | ) | (4.54 | ) | ||||||||
| Shares used in computing basic and diluted net loss attributable to common stockholders per common share(1) | 2,869,739 | 2,717,966 | 2,794,557 | 2,056,056 | ||||||||||||
| June 30, 2014 | December 31, | |||||||||||
| 2013 | 2012 | |||||||||||
| Balance Sheet Data: |
||||||||||||
| Current assets | $ | 2,016,604 | $ | 2,768,071 | $ | 5,130,477 | ||||||
| Working capital(2) | (2,061,732 | ) | (1,755,084 | ) | 4,397,786 | |||||||
| Total assets | 5,888,562 | 6,815,939 | 11,478,164 | |||||||||
| Long term debt, including current portion | 4,246,781 | 450,000 | 450,000 | |||||||||
| Total stockholders equity | (2,540,618 | ) | 1,699,550 | 10,158,375 | ||||||||

| (1) | Net loss per share amounts and shares used in the computations have been adjusted retroactively to reflect the Listing Reverse Split. |
| (2) | Working capital at June 30, 2014 and December 31, 2013 has been reduced by $2,840,557 and $3,359,363, respectively, which represents the fair value, at those dates, of warrants issued principally in February 2013 which are recorded as a derivative liability due to their anti-dilution provisions. |
7
RISK FACTORS
Investing in our securities involves a high degree of risk. Before you invest in our securities, you should be aware that our business faces numerous financial and market risks, including those described below, as well as general economic and business risks. The following discussion provides information concerning the material risks and uncertainties that we have identified and believe may adversely affect our business, financial condition and results of operations. Before you decide whether to invest in our securities, you should carefully consider these risks and uncertainties, together with all of the other information included in this prospectus.
Risks Related to Our Business and Industry
We will require additional capital in order to continue our operations, and may have difficulty raising additional capital.
We expect that we will continue to generate significant operating losses for the foreseeable future. At June 30, 2014, our consolidated cash balance was approximately $1.6 million. We believe that our cash on hand at June 30, 2014, plus the net proceeds from this offering (assuming $20.0 million of securities are sold in this offering and no exercise of the warrants being issued pursuant to the offering) would be adequate to fund operations through the end of 2015. We estimate that our costs during that time will be approximately $15.0 million. This amount consists of approximately $3.3 million for I-124-CLR1404 development, approximately $1.3 million for I-131-CLR1404 development, approximately $1.2 million for CLR1502 development, approximately $5.0 million for general, fixed and overhead research and development expenses that are not allocated to specific projects and approximately $4.2 million in general and administrative costs. In addition to operating costs we anticipate using $4.8 million in proceeds for the repayment of debt, including $4.0 million for the repayment of the convertible debentures and $0.6 million for the repayment of the 8% promissory notes. We will require additional funds to conduct research and development, establish and conduct clinical and preclinical trials, establish commercial-scale manufacturing arrangements and provide for the marketing and distribution of our products. Our ability to execute our operating plan depends on our ability to obtain additional funding via the sale of equity and/or debt securities, a strategic transaction or otherwise. We plan to actively pursue financing alternatives. However, there can be no assurance that we will obtain the necessary funding in the amounts we seek or that it will be available on a timely basis or upon terms acceptable to us. If we obtain capital by issuing additional debt or preferred stock, the holders of such securities would likely obtain rights that are superior to those of holders of our common stock, such as with the convertible debentures issued in the February 2014 private placement.
Our capital requirements and our ability to meet them depend on many factors, including:
| | the number of potential products and technologies in development; |
| | continued progress and cost of our research and development programs; |
| | progress with preclinical studies and clinical trials; |
| | the time and costs involved in obtaining regulatory clearance; |
| | costs involved in preparing, filing, prosecuting, maintaining and enforcing patent claims; |
| | costs of developing sales, marketing and distribution channels and our ability to sell our products; |
| | costs involved in establishing manufacturing capabilities for clinical trials and commercial quantities of our products; |
| | competing technological and market developments; |
| | market acceptance of our products; |
| | costs for recruiting and retaining management, employees and consultants; |
| | costs for educating physicians regarding the application and use of our products; |
| | whether or not we obtain listing on a national exchange and, our prospects for continuing such listing; |
| | uncertainty and economic instability resulting from terrorist acts and other acts of violence or war; and |
| | the condition of capital markets and the economy generally, both in the U.S. and globally. |
8
We may consume available resources more rapidly than currently anticipated, resulting in the need for additional funding sooner than expected. We may seek to raise any necessary additional funds through the issuance of warrants, equity or debt financings or executing collaborative arrangements with corporate partners or other sources, which may be dilutive to existing stockholders or have a material effect on our current or future business prospects. If we cannot secure adequate financing when needed, we may be required to delay, scale back or eliminate one or more of our research and development programs. In addition, in the event that additional funds are obtained through arrangements with collaborative partners or other sources, we may have to relinquish economic, commercialization and/or proprietary rights to some of our technologies or products under development that we would otherwise seek to develop or commercialize ourselves. In such event, our business, prospects, financial condition, and results of operations may be adversely affected.
We will require additional funds to conduct research and development, establish and conduct clinical and preclinical trials, establish commercial-scale manufacturing arrangements and provide for the marketing and distribution of our products. Our ability to execute our operating plan depends on our ability to obtain additional funding via the sale of equity or debt securities, a strategic transaction or otherwise.
We are a development-stage company with a going-concern qualification to our financial statements and a history of losses, and we can provide no assurance as to our future operating results.
We are a development-stage company and have incurred net losses and negative cash flows since inception. We currently have no product revenues, and may not succeed in developing or commercializing any products that will generate product or licensing revenues. We do not expect to have any products on the market for several years. Our primary activity to date has been research and development. In addition, development of our product candidates requires a process of preclinical and clinical testing, during which our product candidates could fail. We may not be able to enter into agreements with one or more companies experienced in the manufacturing and marketing of therapeutic drugs and, to the extent that we are unable to do so, we may not be able to market our product candidates. Whether we achieve profitability or not will depend on our success in developing, manufacturing, and marketing our product candidates. We have experienced net losses and negative cash flows from operating activities since inception and we expect such losses and negative cash flows to continue for the foreseeable future. As of June 30, 2014, we had negative working capital of $(2,061,732) and a stockholders deficit of $(2,540,618). For the period from Cellectar, Inc.s inception in November 2002 until the business combination with Novelos on April 8, 2011, and thereafter through June 30, 2014, the Company incurred aggregated net losses of $56,088,817. The net loss for the six months ended June 30, 2014 was $5,029,249. We may never achieve profitability. Our financial statements as of December 31, 2013 were prepared under the assumption that we will continue as a going concern. The independent registered public accounting firm that audited our 2013 financial statements included in their report an explanatory paragraph referring to our recurring losses since inception and expressing substantial doubt about our ability to continue as a going concern. Our financial statements do not include any adjustments that might result from the outcome of this uncertainty. Our ability to continue as a going concern depends on our ability to obtain additional equity or debt financing, attain further operating efficiencies, reduce expenditures, and, ultimately, to generate revenue.
We have had significant management turnover in the past year, we continue to depend on key personnel who may terminate their employment with us at any time, and our success will depend on our ability to hire additional qualified personnel.
Our success will depend to a significant degree on the continued services of our executive officers. There can be no assurance that these individuals will continue to provide services to us. In October 2013, we appointed Dr. Simon Pedder Acting Chief Executive Officer and elected Dr. Pedder as a Class III director, succeeding Harry Palmin, our chief executive officer since 2005 and a Class III director. In April 2014, Dr. Pedder became President and Chief Executive Officer and maintained his position as a director of the Company. In November 2013, the board of directors was restructured with the resignation of 5 directors and the appointment of one new director. The restructured board of directors voted to relocate our principal executive offices from Newton, Massachusetts to Madison, Wisconsin and to transition the roles and responsibilities of Chris Pazoles, our Vice President of Research and Development since 2005 and Joanne Protano, our Vice President of Finance, Chief Financial Officer and Treasurer since 2007, to Madison, Wisconsin. The board also voted to appoint Kathryn McNeil as our Vice President Investor Relations, Public Relations and Corporate Communications and appointed J. Patrick Genn as
9
our Vice President of Business Development. Mr. Genn previously held the position of Vice President of Investor Relations. In addition, Kimberly Hawkins, our Vice President of Clinical Development since 2010, resigned from her position in August 2013. We have appointed Dr. Kevin Kozak, a consultant, as our Chief Medical Officer. As Dr. Pedder and the restructured board of directors continue to develop and implement a revised strategic focus, there could be additional executive and director changes. The successful transitions, individually and collectively, of these leadership roles will be critical to the continued progress of the Company. In addition, our success may depend on our ability to attract and retain other highly skilled personnel. We may be unable to recruit such personnel on a timely basis, if at all. Our management and other employees may voluntarily terminate their employment with us at any time. Dr. Pedders employment contract with the company provides for certain compensation and termination payments. The loss of services of key personnel, or the inability to attract and retain additional qualified personnel, could result in delays in development or approval of our products, loss of sales and diversion of management resources. To date, we have not experienced difficulties in attracting and retaining highly qualified personnel, but there can be no assurance we will be successful in doing so in the future.
Our convertible debentures prohibit us from taking certain actions without the consent of the holders, are senior to our common stock in liquidation or a sale of the company, and may result in additional dilution.
The convertible debentures we issued in February 2014 contain restrictions on our ability to take actions without the consent of the holders representing a majority of the outstanding principal amount of the debentures. Other than as specifically permitted under the debentures, as long as any of the debentures remain outstanding, without this consent we are prohibited from incurring any indebtedness for borrowed money, granting any liens on our property or assets, repurchasing shares of our common stock or common stock equivalents, repurchasing or otherwise acquiring any indebtedness, paying cash dividends or distributions on any equity securities, entering into any transactions with any of our affiliates that would be required to be disclosed in any public filing with the Securities and Exchange Commission (SEC) unless the transaction is made on an arms-length basis and expressly approved by a majority of our disinterested directors, or entering into any agreements obligating us to undertake any of those actions.
The convertible debentures are secured by a lien on all of our assets, pari passu with approximately $620,000 of 8% promissory notes of the Company issued on July 29, 2014. The lien was granted in favor of the holders of the convertible debentures as consideration for their consent to the issuance of up to $1,000,000 of the promissory notes. The promissory notes will be paid in full with the proceeds of the Offering.
Even though our board of directors may determine any of the prohibited actions are in the best interests of the Company or our shareholders, we may be unable to complete them if we do not get the required approval, and the interests of the holders of our convertible debentures may differ from those of our stockholders. If we are unable to obtain the required consent, we may be unable to complete actions or transactions that our board of directors has determined are otherwise in the best interest of the Company and its shareholders.
In addition, in the event of our liquidation, dissolution or winding-up, or if we are acquired or sell all or substantially all of our assets, the right of the holders of debentures to be repaid will be senior to any rights of holders of our common stock to receive proceeds or assets of the Company. If our proceeds or assets after any such transaction are insufficient to satisfy the debentures in full, holders of our common stock may receive nothing.
The warrants we issued in connection with the issuance and sale of the debentures are not yet exercisable, but will become exercisable in the event the associated debentures are converted, in whole or in part. The extent to which the warrants would become exercisable in that case would be proportionate to the portion of the debenture converted. In the event the warrants become exercisable, in whole or in part, it may be dilutive to the holders of our common stock.
At present, our success depends solely on the successful development and commercialization of some or all of our three compounds in development, which cannot be assured.
We are focused on the development of compounds for the treatment and imaging of cancer based on the cancer-targeting technologies of Cellectar, Inc.: I-124-CLR1404 (labeled with a short-lived radioisotope, iodine-124), I-131-CLR1404 (a radiolabeled compound) and CLR1502 (a preclinical, cancer-targeting, non-radioactive optical imaging agent). The successful commercialization of these product candidates, either by us or by strategic partners, is crucial for our success. Our proposed products and their potential
10
applications are in an early stage of clinical and manufacturing/process development and face a variety of risks and uncertainties. Principally, these risks include the following:
| | clinical trial results may show that our cancer-targeting technologies are not well tolerated by recipients at its effective doses or are not efficacious; |
| | future clinical trial results may be inconsistent with testing results obtained to-date; |
| | even if our cancer-targeting technologies are shown to be safe and effective for their intended purposes, we may face significant or unforeseen difficulties in obtaining or manufacturing sufficient quantities at reasonable prices or at all; |
| | our ability to complete the development and commercialization of our cancer-targeting technologies for their intended use is substantially dependent upon our ability to raise sufficient capital or to obtain and maintain experienced and committed partners to assist us with obtaining clinical and regulatory approvals for, and the manufacturing, marketing and distribution of, our products; |
| | even if our cancer-targeting technologies are successfully developed, commercially produced and receive all necessary regulatory approvals, there is no guarantee that there will be market acceptance of our products; and |
| | our competitors may develop therapeutics or other treatments which are superior or less costly than our own with the result that our product candidates, even if they are successfully developed, manufactured and approved, may not generate sufficient revenues to offset the development and manufacturing costs of our product candidates. |
If we are unsuccessful in dealing with any of these risks, or if we are unable to successfully commercialize our cancer-targeting technologies for some other reason, our business, prospects, financial condition, and results of operations may be adversely affected.
The failure to complete development of our technology, to obtain government approvals, including required FDA approvals, or to comply with ongoing governmental regulations could prevent, delay or limit introduction or sale of proposed products and result in failure to achieve revenues or maintain our ongoing business.
Our research and development activities and the manufacture and marketing of our intended products are subject to extensive regulation for safety, efficacy and quality by numerous government authorities in the U.S. and abroad. Before receiving clearance to market our proposed products by the FDA, we will have to demonstrate that our products are safe and effective for the patient population for the diseases that are to be treated. Clinical trials, manufacturing and marketing of drugs are subject to the rigorous testing and approval process of the FDA and equivalent foreign regulatory authorities. The Federal Food, Drug and Cosmetic Act and other federal, state and foreign statutes and regulations govern and influence the testing, manufacturing, labeling, advertising, distribution and promotion of drugs and medical devices. As a result, clinical trials and regulatory approval can take many years to accomplish and require the expenditure of substantial financial, managerial and other resources.
In order to be commercially viable, we must successfully research, develop, obtain regulatory approval for, manufacture, introduce, market and distribute our technologies. This includes meeting a number of critical developmental milestones including:
| | demonstrating benefit from delivery of each specific drug for specific medical indications; |
| | demonstrating through preclinical and clinical trials that each drug is safe and effective; and |
| | demonstrating that we have established viable Good Manufacturing Practices capable of potential scale-up. |
The timeframe necessary to achieve these developmental milestones may be long and uncertain, and we may not successfully complete these milestones for any of our intended products in development.
In addition to the risks previously discussed, our technology is subject to developmental risks that include the following:
11
| | uncertainties arising from the rapidly growing scientific aspects of drug therapies and potential treatments; |
| | uncertainties arising as a result of the broad array of alternative potential treatments related to cancer and other diseases; and |
| | expense and time associated with the development and regulatory approval of treatments for cancer and other diseases. |
In order to conduct the clinical trials that are necessary to obtain approval by the FDA to market a product, it is necessary to receive clearance from the FDA to conduct such clinical trials. The FDA can halt clinical trials at any time for safety reasons or because we or our clinical investigators do not follow the FDAs requirements for conducting clinical trials. If any of our trials are halted, we will not be able to obtain FDA approval until and unless we can address the FDAs concerns. If we are unable to receive clearance to conduct clinical trials for a product, we will not be able to achieve any commercial revenue from such product in the U.S. as it is illegal to sell any drug for use in humans in the U.S. without FDA approval.
Even if we do ultimately receive FDA approval for any of our products, these products will be subject to extensive ongoing regulation, including regulations governing manufacturing, labeling, packaging, testing, dispensing, prescription and procurement quotas, record keeping, reporting, handling, shipment and disposal of any such drug. Failure to obtain and maintain required registrations or to comply with any applicable regulations could further delay or preclude development and commercialization of our drugs and subject us to enforcement action.
Clinical trials involve a lengthy and expensive process with an uncertain outcome, and results of earlier studies and trials may not be predictive of future trial results.
In order to receive regulatory approval for the commercialization of our product candidates, we must conduct, at our own expense, extensive clinical trials to demonstrate safety and efficacy of these product candidates. Clinical testing is expensive, it can take many years to complete and its outcome is uncertain. Failure can occur at any time during the clinical trial process. For example, Novelos incurred costs of over $35 million in clinical trial expenses from 2006 through 2009 in connection with the Phase 3 trial of NOV-002 for non-small cell lung cancer, and NOV-002 did not ultimately demonstrate efficacy for that indication.
We may experience delays in clinical testing of our product candidates. We do not know whether planned clinical trials will begin on time, will need to be redesigned or will be completed on schedule, if at all. Clinical trials can be delayed for a variety of reasons, including delays in obtaining regulatory approval to commence a trial, in reaching agreement on acceptable clinical trial terms with prospective sites, in obtaining institutional review board approval to conduct a trial at a prospective site, in recruiting patients to participate in a trial or in obtaining sufficient supplies of clinical trial materials. Many factors affect patient enrollment, including the size of the patient population, the proximity of patients to clinical sites, the eligibility criteria for the trial, competing clinical trials and new drugs approved for the conditions we are investigating. Prescribing physicians will also have to decide to use our product candidates over existing drugs that have established safety and efficacy profiles. Any delays in completing our clinical trials will increase our costs, slow down our product development and approval process and delay our ability to generate revenue.
In addition, the results of preclinical studies and early clinical trials of our product candidates do not necessarily predict the results of later-stage clinical trials. Product candidates in later stages of clinical trials may fail to show the desired safety and efficacy traits despite having progressed through initial clinical testing. The data collected from clinical trials of our product candidates may not be sufficient to support the submission of a new drug application or to obtain regulatory approval in the United States or elsewhere. Because of the uncertainties associated with drug development and regulatory approval, we cannot determine if or when we will have an approved product for commercialization or achieve sales or profits.
Our clinical trials may not demonstrate sufficient levels of efficacy necessary to obtain the requisite regulatory approvals for our drugs, and our proposed drugs may not be approved for marketing. Novelos
12
suffered significant setbacks in the development of NOV-002 and NOV-205, as some of the promising results of earlier trials were not demonstrated in later stage trials. As a result, following the Acquisition, development of these compounds was suspended.
We may be required to suspend or discontinue clinical trials due to unexpected side effects or other safety risks that could preclude approval of our product candidates.
Our clinical trials may be suspended at any time for a number of reasons. For example, we may voluntarily suspend or terminate our clinical trials if at any time we believe that they present an unacceptable risk to the clinical trial patients. In addition, regulatory agencies may order the temporary or permanent discontinuation of our clinical trials at any time if they believe that the clinical trials are not being conducted in accordance with applicable regulatory requirements or that they present an unacceptable safety risk to the clinical trial patients.
Administering any product candidates to humans may produce undesirable side effects. These side effects could interrupt, delay or halt clinical trials of our product candidates and could result in the FDA or other regulatory authorities denying further development or approval of our product candidates for any or all targeted indications. Ultimately, some or all of our product candidates may prove to be unsafe for human use. Moreover, we could be subject to significant liability if any volunteer or patient suffers, or appears to suffer, adverse health effects as a result of participating in our clinical trials.
We have limited in-house research and manufacturing capacity and will continue to rely, to some extent, on research and manufacturing facilities at various universities, hospitals, contract research organizations and contract manufacturers for a portion of our research, development, and manufacturing. In the event we exceed our in-house capacity or lose access to those facilities, our ability to gain FDA approval and commercialization of our drug delivery technology and products could be delayed or impaired.
We remain in the research and development and clinical and preclinical trial phase of product commercialization and have limited experience in establishing, supervising and conducting commercial manufacturing. Accordingly, if our products are approved for commercial sale, we will need to establish the capability, work with our existing contract manufacturer to expand their capability, or engage a contract manufacturer that has the capability, to commercially manufacture our products in accordance with FDA and other regulatory requirements. There can be no assurance that we would be able to successfully establish any such capability, or identify a suitable manufacturing partner on acceptable terms.
At the present time, we have limited research, development or manufacturing capabilities within our facilities. Our manufacturing facility in Madison, Wisconsin has adequate capacity to supply drug product for Phase 2 studies of I-131-CLR1404, but we will need to expand for larger Phase 3 studies. Manufacturing of I-124-CLR1404 is conducted by our collaborator, the University of Wisconsin in Madison, cGMP, using drug substance produced in our Madison manufacturing facility. We have completed the transfer of I-124-CLR1404 manufacturing to a U.S. based contract manufacturer, also using drug substance produced in our Madison manufacturing facility. CLR1502 is synthesized at our facility in Madison, WI. We rely and expect to continue to rely, to some extent, on contracting with third parties to use their facilities to conduct research, development and manufacturing. The limited facilities we have to conduct research, development and manufacturing may delay or impair our ability to gain FDA approval and commercialization of our drug delivery technology and products.
We may rely on third-party contract research organizations, service providers and suppliers to support development and clinical testing of our products. This may expose us to the risks of not being able to directly oversee the production and quality of the manufacturing process. Furthermore, these contractors, whether foreign or domestic, may experience regulatory compliance difficulties, mechanical shutdowns, employee strikes or other unforeseeable acts that may delay production. Failure of any of these contractors to provide the required services in a timely manner or on commercially reasonable terms could materially delay the development and approval of our products, increase our expenses and materially harm our business, prospects, financial condition and results of operations.
13
We believe that we have a good working relationship with our contractors. However, should the situation change, we may be required to relocate these activities on short notice, and we do not currently have access to alternate facilities to which we could relocate our research, development and/or manufacturing activities. The cost and time to establish or locate an alternate research, development and/or manufacturing facility to develop our technology would be substantial and would delay obtaining FDA approval and commercializing our products.
We expect to rely heavily on orphan drug status to develop and commercialize our product candidates, but our orphan drug designations may not confer marketing exclusivity or other expected commercial benefits.
We expect to rely heavily on orphan drug exclusivity for our product candidates. Orphan drug status confers seven years of marketing exclusivity under the Federal Food, Drug, and Cosmetic Act, and up to ten years of marketing exclusivity in Europe for a particular product in a specified indication. We have been granted orphan drug designation in the United States for I-124-CLR1404 as a diagnostic for the management of glioma. While we have been granted this orphan designation, we will not be able to rely on this designation to exclude other companies from manufacturing or selling products using the same principal molecular structural features for the same indication beyond these timeframes. For any product candidate for which we have been or will be granted orphan drug designation in a particular indication, it is possible that another company also holding orphan drug designation for the same product candidate will receive marketing approval for the same indication before we do. If that were to happen, our applications for that indication may not be approved until the competing companys period of exclusivity expires. Even if we are the first to obtain marketing authorization for an orphan drug indication, there are circumstances under which a competing product may be approved for the same indication during the seven-year period of marketing exclusivity, such as if the later product is shown to be clinically superior to the orphan product, or if the later product is deemed a different product than ours. Further, the seven-year marketing exclusivity would not prevent competitors from obtaining approval of the same product candidate as ours for indications other than those in which we have been granted orphan drug designation, or for the use of other types of products in the same indications as our orphan product, or during such seven-year period for other indications.
We are exposed to product, clinical and preclinical liability risks that could create a substantial financial burden should we be sued.
Our business exposes us to potential product liability and other liability risks that are inherent in the testing, manufacturing and marketing of pharmaceutical products. In addition, the use, in our clinical trials, of pharmaceutical products that we or our current or potential collaborators may develop and then subsequently sell may cause us to bear a portion of or all product liability risks. While we carry an insurance policy covering up to $5,000,000 per occurrence and $5,000,000 in the aggregate of liability incurred in connection with such claims should they arise, there can be no assurance that our insurance will be adequate to cover all situations. Moreover, there can be no assurance that such insurance, or additional insurance, if required, will be available in the future or, if available, will be available on commercially reasonable terms. Furthermore, our current and potential partners with whom we have collaborative agreements or our future licensees may not be willing to indemnify us against these types of liabilities and may not themselves be sufficiently insured or have a net worth sufficient to satisfy any product liability claims. A successful product liability claim or series of claims brought against us could have a material adverse effect on our business, prospects, financial condition and results of operations.
Acceptance of our products in the marketplace is uncertain and failure to achieve market acceptance will prevent or delay our ability to generate revenues.
Our future financial performance will depend, at least in part, on the introduction and customer acceptance of our proposed products. Even if approved for marketing by the necessary regulatory authorities, our products may not achieve market acceptance. The degree of market acceptance will depend on a number of factors including:
| | receiving regulatory clearance of marketing claims for the uses that we are developing; |
| | establishing and demonstrating the advantages, safety and efficacy of our technologies; |
14
| | pricing and reimbursement policies of government and third-party payers such as insurance companies, health maintenance organizations and other health plan administrators; |
| | our ability to attract corporate partners, including pharmaceutical companies, to assist in commercializing our intended products; and |
| | our ability to market our products. |
Physicians, patients, payers or the medical community in general may be unwilling to accept, use or recommend any of our products. If we are unable to obtain regulatory approval or commercialize and market our proposed products as planned, we may not achieve any market acceptance or generate revenue.
We may face litigation from third parties who claim that our products infringe on their intellectual property rights, particularly because there is often substantial uncertainty about the validity and breadth of medical patents.
We may be exposed to future litigation by third parties based on claims that our technologies, products or activities infringe on the intellectual property rights of others or that we have misappropriated the trade secrets of others. This risk is exacerbated by the fact that the validity and breadth of claims covered in medical technology patents and the breadth and scope of trade-secret protection involve complex legal and factual questions for which important legal principles are unresolved. Any litigation or claims against us, whether or not valid, could result in substantial costs, could place a significant strain on our financial and managerial resources and could harm our reputation. Our license agreement with U. Mich. (the U. Mich. License) does require, and license agreements that we may enter into in the future would likely require, that we pay the costs associated with defending this type of litigation. In addition, intellectual property litigation or claims could force us to do one or more of the following:
| | cease selling, incorporating or using any of our technologies and/or products that incorporate the challenged intellectual property, which would adversely affect our ability to generate revenue; |
| | obtain a license from the holder of the infringed intellectual property right, which license may be costly or may not be available on reasonable terms, if at all; or |
| | redesign our products, which would be costly and time-consuming. |
If we are unable to protect or enforce our rights to intellectual property adequately or to secure rights to third-party patents, we may lose valuable rights, experience reduced market share, assuming any, or incur costly litigation to protect our intellectual property rights.
Our ability to obtain licenses to patents, maintain trade-secret protection and operate without infringing the proprietary rights of others will be important to commercializing any products under development. Therefore, any disruption in access to the technology could substantially delay the development of our technology.
The patent positions of biotechnology and pharmaceutical companies, such as ours, that involve licensing agreements are frequently uncertain and involve complex legal and factual questions. In addition, the coverage claimed in a patent application can be significantly reduced before the patent is issued or in subsequent legal proceedings. Consequently, our patent applications and any issued and licensed patents may not provide protection against competitive technologies or may be held invalid if challenged or circumvented. To the extent we license patents from third parties, as in the case of the U. Mich. License, the early termination of any such license agreement would result in the loss of our rights to use the covered patents, which could severely delay, inhibit or eliminate our ability to develop and commercialize compounds based on the licensed patents. Our competitors may also independently develop products similar to ours or design around or otherwise circumvent patents issued or licensed to us. In addition, the laws of some foreign countries may not protect our proprietary rights to the same extent as U.S. law.
We also rely on trade secrets, technical know-how and continuing technological innovation to develop and maintain our competitive position. Although we generally require our employees, consultants, advisors and collaborators to execute appropriate confidentiality and assignment-of-inventions agreements, our competitors may independently develop substantially equivalent proprietary information and techniques, reverse engineer our
15
information and techniques, or otherwise gain access to our proprietary technology. We may be unable to meaningfully protect our rights in trade secrets, technical know-how and other non-patented technology.
We may have to resort to litigation to protect our rights for certain intellectual property or to determine their scope, validity or enforceability of our intellectual property rights. Enforcing or defending our rights is expensive, could cause diversion of our resources and may not prove successful. Any failure to enforce or protect our rights could cause us to lose the ability to exclude others from using our technology to develop or sell competing products.
Confidentiality agreements with employees and others may not adequately prevent disclosure of our trade secrets and other proprietary information and may not adequately protect our intellectual property, which could limit our ability to compete.
We operate in the highly technical field of research and development of small molecule drugs, and rely in part on trade-secret protection in order to protect our proprietary trade secrets and unpatented know-how. However, trade secrets are difficult to protect, and we cannot be certain that our competitors will not develop the same or similar technologies on their own. We have taken steps, including entering into confidentiality agreements with our employees, consultants, outside scientific collaborators, sponsored researchers and other advisors, to protect our trade secrets and unpatented know-how. These agreements generally require that the other party keep confidential and not disclose to third parties all confidential information developed by the party or made known to the party by us during the course of the partys relationship with us. We also typically obtain agreements from these parties that provide that inventions conceived by the party in the course of rendering services to us will be our exclusive property. However, these agreements may not be honored and may not effectively assign intellectual property rights to us. Enforcing a claim that a party has illegally obtained and is using our trade secrets or know-how is difficult, expensive and time consuming, and the outcome is unpredictable. In addition, courts outside the United States may be less willing to protect trade secrets or know-how. The failure to obtain or maintain trade-secret protection could adversely affect our competitive position.
We may be subject to claims that our employees have wrongfully used or disclosed alleged trade secrets of their former employers.
As is common in the biotechnology and pharmaceutical industry, we employ individuals who were previously employed at other biotechnology or pharmaceutical companies, including our competitors or potential competitors. Although no claims against us are currently pending, we may be subject to claims that we or these employees have used or disclosed trade secrets or other proprietary information of their former employers, either inadvertently or otherwise. Litigation may be necessary to defend against these claims. Even if we are successful in defending against these claims, litigation could result in substantial costs and be a distraction to management.
The use of hazardous materials, including radioactive materials, in our research and development imposes certain compliance costs on us and may subject us to liability for claims arising from the use or misuse of these materials.
Our research and development, manufacturing and administration of our drugs involve the controlled use of hazardous materials, including chemicals and radioactive materials, such as radioactive isotopes. We are subject to federal, state and local laws and regulations governing the storage, use and disposal of these materials and some waste products and are required to maintain both a manufacturers license and a radioactive materials license with State of Wisconsin agencies. We believe that our safety procedures for the storage, use and disposal of these materials comply with the standards prescribed by federal, state and local regulations. However, we cannot completely eliminate the risk of accidental contamination or injury from these materials. If there were to be an accident, we could be held liable for any damages that result, which could exceed our financial resources. We currently maintain insurance coverage, with limits of up to $2,500,000 depending on the nature of the claim, for damages resulting from the hazardous materials we use; however, future claims may exceed the amount of our coverage. Also, we do not have insurance coverage for pollution cleanup and removal. Currently the costs of complying with federal, state and local regulations are not significant, and consist primarily of waste disposal expenses and permitting fees. However, they could become expensive, and current or future environmental regulations may impair our research, development,
16
production and commercialization efforts. If we are unable to maintain the required licenses and permits for any reason, it will negatively impact our research and development activities.
Due to our limited marketing, sales and distribution experience, we may be unsuccessful in our efforts to sell our proposed products, enter into relationships with third parties or develop a direct sales organization.
We have not established marketing, sales or distribution capabilities for our proposed products. Until such time as our proposed products are further along in the development process, we will not devote any meaningful time and resources to this effort. At the appropriate time, we will determine whether we will develop our own sales and marketing capabilities or enter into agreements with third parties to sell our products.
We have limited experience in developing, training or managing a sales force. If we choose to establish a direct sales force, we may incur substantial additional expenses in developing, training and managing such an organization. We may be unable to build a sales force on a cost-effective basis or at all. Any such direct marketing and sales efforts may prove to be unsuccessful. In addition, we will compete with many other companies that currently have extensive marketing and sales operations. Our marketing and sales efforts may be unable to compete against these other companies. We may be unable to establish a sufficient sales and marketing organization on a timely basis, if at all.
If we choose to enter into agreements with third parties to sell our proposed products, we may be unable to establish or maintain third-party relationships on a commercially reasonable basis, if at all. In addition, these third parties may have similar or more established relationships with our competitors.
We may be unable to engage qualified distributors. Even if engaged, these distributors may:
| | fail to adequately market our products; |
| | fail to satisfy financial or contractual obligations to us; |
| | offer, design, manufacture or promote competing products; or |
| | cease operations with little or no notice. |
If we fail to develop sales, marketing and distribution channels, we would experience delays in product sales and incur increased costs, which would have a material adverse effect on our business, prospects, financial condition, and results of operation.
If we are unable to convince physicians of the benefits of our intended products, we may incur delays or additional expense in our attempt to establish market acceptance.
Achieving use of our products in the target market of cancer diagnosis and treatment may require physicians to be informed regarding these products and their intended benefits. The time and cost of such an educational process may be substantial. Inability to successfully carry out this physician education process may adversely affect market acceptance of our proposed products. We may be unable to timely educate physicians regarding our intended proposed products in sufficient numbers to achieve our marketing plans or to achieve product acceptance. Any delay in physician education may materially delay or reduce demand for our proposed products. In addition, we may expend significant funds towards physician education before any acceptance or demand for our proposed products is created, if at all.
The market for our proposed products is rapidly changing and competitive, and new therapeutics, new drugs and new treatments that may be developed by others could impair our ability to maintain and grow our business and remain competitive.
The pharmaceutical and biotechnology industries are subject to rapid and substantial technological change. Developments by others may render our technologies and intended products noncompetitive or obsolete, or we may be unable to keep pace with technological developments or other market factors. Technological competition from pharmaceutical and biotechnology companies, universities, governmental entities and others diversifying into the field is intense and is expected to increase. Most of these entities have significantly greater research and development capabilities and budgets than we do, as well as substantially more marketing, manufacturing, financial and managerial resources. These entities represent significant
17
competition for us. Acquisitions of, or investments in, competing pharmaceutical or biotechnology companies by large corporations could increase our competitors financial, marketing, manufacturing and other resources.
Our resources are limited and we may experience management, operational or technical challenges inherent in such activities and novel technologies. Competitors have developed or are in the process of developing technologies that are, or in the future may be, the basis for competition. Some of these technologies may accomplish therapeutic effects similar to those of our technology, but through different means. Our competitors may develop drugs and drug delivery technologies that are more effective than our intended products and, therefore, present a serious competitive threat to us.
We do not know of any current or potential direct competitors for I-131-CLR1404 and I-124-CLR1404. Marketed drugs Zevalin® (Spectrum Pharmaceuticals) and Bexxar® (Glaxo Smith Kline) provide examples of targeted radiotherapeutics specifically for lymphoma indication only. FDG is the current standard for PET imaging for cancer and may be an alternative diagnostic imaging agent to I-124-CLR1404. Blaze Bioscience is developing Tumor PaintTM technology designed to provide real-time, high-resolution intraoperative visualization of cancer cells for use in surgical removal of cancer. The first product candidate is under development for cancer surgery in multiple solid tumor types and may be an alternative to CLR1502. At present, the only known FDA approved technology for tumor margin assessment is believed to be MarginProbeTM, marketed by Dune Medical Devices. MarginProbeTM received FDA approval in January, 2013, as an intraoperative tissue assessment tool for early-stage breast cancer surgery. MarginProbeTM claims to use electromagnetic signatures to identify healthy and cancerous tissue.
The potential widespread acceptance of therapies that are alternatives to ours may limit market acceptance of our products even if they are commercialized. Many of our targeted diseases and conditions can also be treated by other medication or drug delivery technologies. These treatments may be widely accepted in medical communities and have a longer history of use. The established use of these competitive drugs may limit the potential for our technologies and products to receive widespread acceptance if commercialized.
If users of our products are unable to obtain adequate reimbursement from third-party payers, or if additional healthcare reform measures are adopted, it could hinder or prevent our product candidates commercial success.
The continuing efforts of government and insurance companies, health maintenance organizations and other payers of healthcare costs to contain or reduce costs of healthcare may adversely affect our ability to generate future revenues and achieve profitability, including by limiting the future revenues and profitability of our potential customers, suppliers and collaborative partners. For example, in certain foreign markets, pricing or profitability of prescription pharmaceuticals is subject to government control. The U.S. government is implementing, and other governments have shown significant interest in pursuing, healthcare reform. Any government-adopted reform measures could adversely affect the pricing of healthcare products and services in the U.S. or internationally and the amount of reimbursement available from governmental agencies or other third-party payers. The continuing efforts of the U.S. and foreign governments, insurance companies, managed care organizations and other payers of healthcare services to contain or reduce healthcare costs may adversely affect our ability to set prices for our products, should we be successful in commercializing them, and this would negatively affect our ability to generate revenues and achieve and maintain profitability.
New laws, regulations and judicial decisions, or new interpretations of existing laws, regulations and decisions, that relate to healthcare availability, methods of delivery or payment for healthcare products and services, or sales, marketing or pricing of healthcare products and services, also may limit our potential revenue and may require us to revise our research and development programs. The pricing and reimbursement environment may change in the future and become more challenging for several reasons, including policies advanced by the current or future executive administrations in the U.S., new healthcare legislation or fiscal challenges faced by government health administration authorities. Specifically, in both the U.S. and some foreign jurisdictions, there have been a number of legislative and regulatory proposals to change the healthcare system in ways that could affect our ability to sell our products profitably. In the U.S., changes in federal healthcare policy were enacted in 2010 and are being implemented. Some reforms could result in reduced reimbursement rates for our product candidates, which would adversely affect our business strategy, operations and financial results. Our ability to commercialize our products will depend in part on the extent to
18
which appropriate reimbursement levels for the cost of our products and related treatment are obtained by governmental authorities, private health insurers and other organizations, such as health maintenance organizations (HMOs). Third-party payers are increasingly challenging the prices charged for medical drugs and services. Also, the trend toward managed healthcare in the U.S. and the concurrent growth of organizations such as HMOs that could control or significantly influence the purchase of healthcare services and drugs, as well as legislative proposals to reform healthcare or change government insurance programs, may all result in lower prices for or rejection of our drugs. The cost containment measures that healthcare payers and providers are instituting and the effect of any healthcare reform could materially harm our ability to operate profitably.
Risks Related to our Common Stock
Our stock price has experienced price fluctuations.
There can be no assurance that the market price for our common stock will remain at its current level and a decrease in the market price could result in substantial losses for investors. The market price of our common stock may be significantly affected by one or more of the following factors:
| | announcements or press releases relating to the biopharmaceutical sector or to our own business or prospects; |
| | regulatory, legislative, or other developments affecting us or the healthcare industry generally; |
| | sales by holders of restricted securities pursuant to effective registration statements, or exemptions from registration; |
| | market conditions specific to biopharmaceutical companies, the healthcare industry and the stock market generally; and |
| | our ability to obtain and then maintain a listing on the Nasdaq Capital Market or maintain our current status on the OTCQX or obtain a listing on a national securities exchange. |
Nine of our stockholders beneficially own approximately 73% of our outstanding common stock, which limits the influence of other stockholders.
As of August 1, 2014, 73% of our outstanding common stock is beneficially owned by nine stockholders. The interests of these stockholders may differ from those of other stockholders. Four of these stockholders hold approximately 87% of the principal amount of the convertible debentures issued in February 2014. These stockholders will likely continue to have the ability to significantly affect the outcome of all corporate actions requiring stockholder approval, including the following actions:
| | the election of directors; |
| | the amendment of charter documents; and |
| | the approval of certain mergers and other significant corporate transactions, including a sale of substantially all of our assets. |
There may be a limited public market for our securities; we presently fail to qualify for listing on any national securities exchanges.
Our common stock currently does not meet all of the requirements for initial listing on a registered stock exchange. Assuming application of the proceeds of this offering, we will seek to commence trading on the Nasdaq Capital Market upon closing of this offering. If we are listed and then subsequently de-listed from the Nasdaq Capital Market (unless we are moving to another national securities exchange), trading in our common stock will continue to be conducted in the over-the-counter market (currently the OTCQX). In such case, an investor may find it difficult to dispose of or to obtain accurate quotations as to the market value of our common stock, and our common stock may be less attractive for margin loans, or for investment by financial institutions, as consideration in future capital raising transactions or other contexts.
19
Our common stock has in the past been a penny stock under SEC rules. It may be more difficult to resell shares of common stock classified as penny stock.
Our common stock has, in the past, been a penny stock under applicable SEC rules (generally defined as non-exchange traded stock with a per-share price below $5.00). Unless we successfully list our common stock on the Nasdaq Capital Market, or maintain a per-share price above $5.00, these rules impose additional sales practice requirements on broker-dealers that recommend the purchase or sale of penny stocks to persons other than those who qualify as established customers or accredited investors. For example, broker-dealers must determine the appropriateness for non-qualifying persons of investments in penny stocks. Broker-dealers must also provide, prior to a transaction in a penny stock not otherwise exempt from the rules, a standardized risk disclosure document that provides information about penny stocks and the risks in the penny stock market. The broker-dealer also must provide the customer with current bid and offer quotations for the penny stock, disclose the compensation of the broker-dealer and its salesperson in the transaction, furnish monthly account statements showing the market value of each penny stock held in the customers account, provide a special written determination that the penny stock is a suitable investment for the purchaser, and receive the purchasers written agreement to the transaction.
Legal remedies available to an investor in penny stocks may include the following:
| | if a penny stock is sold to the investor in violation of the requirements listed above, or other federal or states securities laws, the investor may be able to cancel the purchase and receive a refund of the investment. |
| | if a penny stock is sold to the investor in a fraudulent manner, the investor may be able to sue the persons and firms that committed the fraud for damages. |
However, investors who have signed arbitration agreements may have to pursue their claims through arbitration.
These requirements may have the effect of reducing the level of trading activity, if any, in the secondary market for a security that becomes subject to the penny stock rules. The additional burdens imposed upon broker-dealers by such requirements may discourage broker-dealers from effecting transactions in our securities, which could severely limit the market price and liquidity of our securities. These requirements may restrict the ability of broker-dealers to sell our common stock and may affect your ability to resell our common stock.
Many brokerage firms will discourage or refrain from recommending investments in penny stocks. Most institutional investors will not invest in penny stocks. In addition, many individual investors will not invest in penny stocks due, among other reasons, to the increased financial risk generally associated with these investments.
For these reasons, penny stocks may have a limited market and, consequently, limited liquidity. We can give no assurance at what time, if ever, our common stock will not be classified as a penny stock in the future.
If we fail to maintain effective internal controls over financial reporting, the price of our common stock may be adversely affected.
Our internal control over financial reporting may have weaknesses and conditions that could require correction or remediation, the disclosure of which may have an adverse impact on the price of our common stock. We are required to establish and maintain appropriate internal controls over financial reporting. Failure to establish those controls, or any failure of those controls once established, could adversely affect our public disclosures regarding our business, prospects, financial condition or results of operations. In addition, managements assessment of internal controls over financial reporting may identify weaknesses and conditions that need to be addressed in our internal controls over financial reporting or other matters that may raise concerns for investors. Any actual or perceived weaknesses and conditions that need to be addressed in our internal control over financial reporting or disclosure of managements assessment of our internal controls over financial reporting may have an adverse impact on the price of our common stock.
We are required to comply with certain provisions of Section 404 of the Sarbanes-Oxley Act of 2002 and if we fail to continue to comply, our business could be harmed and our stock price could decline.
Rules adopted by the SEC pursuant to Section 404 of the Sarbanes-Oxley Act of 2002 require an annual assessment of internal controls over financial reporting, and for certain issuers an attestation of this assessment by
20
the issuers independent registered public accounting firm. The standards that must be met for management to assess the internal controls over financial reporting as effective are evolving and complex, and require significant documentation, testing, and possible remediation to meet the detailed standards. We expect to incur significant expenses and to devote resources to Section 404 compliance on an ongoing basis. It is difficult for us to predict how long it will take or costly it will be to complete the assessment of the effectiveness of our internal control over financial reporting for each year and to remediate any deficiencies in our internal control over financial reporting. As a result, we may not be able to complete the assessment and remediation process on a timely basis. In addition, although attestation requirements by our independent registered public accounting firm are not presently applicable to us we could become subject to these requirements in the future and we may encounter problems or delays in completing the implementation of any resulting changes to internal controls over financial reporting. In the event that our Chief Executive Officer or Chief Financial Officer determine that our internal control over financial reporting is not effective as defined under Section 404, we cannot predict how regulators will react or how the market prices of our shares will be affected; however, we believe that there is a risk that investor confidence and share value may be negatively affected.
Our common stock could be further diluted as the result of the issuance of additional shares of common stock, convertible securities, warrants or options.
In the past, we have issued common stock, convertible securities (such as convertible preferred stock and debentures) and warrants in order to raise money. We have also issued options as compensation for services and incentive compensation for our employees and directors. We have shares of common stock reserved for issuance upon the exercise of certain of these securities and may increase the shares reserved for these purposes in the future. Our issuance of additional common stock, convertible securities, options and warrants could affect the rights of our stockholders, could reduce the market price of our common stock or could result in adjustments to exercise prices of outstanding warrants (resulting in these securities becoming exercisable for, as the case may be, a greater number of shares of our common stock), or could obligate us to issue additional shares of common stock to certain of our stockholders.
Shares eligible for future sale may adversely affect the market.
From time to time, certain of our stockholders may be eligible to sell all or some of their shares of common stock by means of ordinary brokerage transactions in the open market pursuant to Rule 144 promulgated under the Securities Act, subject to certain limitations. In general, pursuant to amended Rule 144, non-affiliate stockholders may sell freely after six months subject only to the current public information requirement. Affiliates may sell after six months subject to the Rule 144 volume, manner of sale (for equity securities), current public information, and notice requirements. Of the approximately 2.9 million shares of our common stock outstanding as of August 1, 2014, approximately 1.6 million shares are tradable without restriction, and approximately an additional 0.7 million shares that had been issued in unregistered transactions and are held by non-affiliates are tradable without time or volume limitations pursuant to Rule 144. We have registered the resale of an additional 200,000 shares of our common stock, pursuant to registration obligations, and have registered the resale of the shares underlying certain warrants to purchase common stock. Given the limited trading of our common stock, resale of even a small number of shares of our common stock pursuant to Rule 144 or an effective registration statement may adversely affect the market price of our common stock.
Provisions of our charter, bylaws, and Delaware law may make an acquisition of us or a change in our management more difficult.
Certain provisions of our amended restated certificate of incorporation and bylaws could discourage, delay or prevent a merger, acquisition or other change in control that stockholders may consider favorable, including transactions in which an investor might otherwise receive a premium for their shares. These provisions also could limit the price that investors might be willing to pay in the future for shares of our common stock or warrants, thereby depressing the market price of our common stock. Stockholders who wish to participate in these transactions may not have the opportunity to do so.
Furthermore, these provisions could prevent or frustrate attempts by our stockholders to replace or remove our management. These provisions:
21
| | provide for the division of our board into three classes as nearly equal in size as possible with staggered three-year terms and further limit the removal of directors and the filling of vacancies; |
| | authorize our board of directors to issue without stockholder approval blank-check preferred stock that, if issued, could operate as a poison pill to dilute the stock ownership of a potential hostile acquirer to prevent an acquisition that is not approved by our board of directors; |
| | require that stockholder actions must be effected at a duly called stockholder meeting and prohibit stockholder action by written consent; |
| | establish advance notice requirements for stockholder nominations to our board of directors or for stockholder proposals that can be acted on at stockholder meetings; |
| | limit who may call stockholder meetings; and |
| | require the approval of the holders of 75% of the outstanding shares of our capital stock entitled to vote in order to amend certain provisions of our restated certificate of incorporation and restated bylaws. |
In addition, because we are incorporated in Delaware, we are governed by the provisions of Section 203 of the Delaware General Corporation Law, which may, unless certain criteria are met, prohibit large stockholders, in particular those owning 15% or more of our outstanding voting stock, from merging or combining with us for a prescribed period of time.
We have not paid dividends in the past and do not expect to pay dividends for the foreseeable future. Any return on investment may be limited to the value of our common stock.
No cash dividends have been paid on our common stock. We do not expect to pay cash dividends in the near future. Payment of dividends would depend upon our profitability at the time, cash available for those dividends, and other factors as our board of directors may consider relevant. If we do not pay dividends, our common stock may be less valuable because a return on an investors investment will only occur if our stock price appreciates.
Risks Related to this Offering
Our management team will have immediate and broad discretion over the use of the net proceeds from this offering and we may use the net proceeds in ways with which you disagree.
The net proceeds from this offering will be immediately available to our management to use at their discretion. We currently intend to use the net proceeds from this offering to fund our research and development activities, for general corporate purposes, and possibly for acquisitions of other companies, products or technologies, though no such acquisitions are currently contemplated. See Use of Proceeds. We have not allocated specific amounts of the net proceeds from this offering for any of the foregoing purposes. Accordingly, our management will have significant discretion and flexibility in applying the net proceeds of this offering. You will be relying on the judgment of our management with regard to the use of these net proceeds, and you will not have the opportunity, as part of your investment decision, to assess whether the proceeds are being used appropriately. It is possible that the net proceeds will be invested in a way that does not yield a favorable, or any, return for us or our stockholders. The failure of our management to use such funds effectively could have a material adverse effect on our business, prospects, financial condition, and results of operation.
You will experience immediate and substantial dilution as a result of this offering and may experience additional dilution in the future.
You will incur immediate and substantial dilution as a result of this offering. After giving effect to the sale by us of up to $ in securities offered in this offering, at an assumed public offering price of $ per share and warrant, and after deducting the underwriters discounts and commissions and other estimated offering expenses payable by us, investors in this offering can expect an immediate dilution of $ per share, or %, at the assumed public offering price, assuming no exercise of the warrants. In addition, in the past, we issued options and warrants to acquire shares of common stock. To the extent these options are ultimately exercised, you will sustain future dilution. We may also acquire or license other technologies or finance strategic alliances by issuing equity, which may result in additional dilution to our stockholders.
22
We may not obtain a listing on a national securities exchange for the warrants to purchase common stock included in this offering. If we do obtain a listing, we may not be able to comply with continued listing standards.
We have applied for the warrants being offered in this offering to be listed on the Nasdaq Capital Market. There can be no assurance that we will obtain such a listing. If the warrants are not listed on a national securities exchange, the liquidity of the warrants will be limited. Even if we obtain an initial listing of the warrants on a national securities exchange, there can be no assurance that we will be able to continue to comply with applicable listing standards.
Risks Related to the Listing Reverse Split
On June 13, 2014, we effected a 1-for-20 reverse stock split of our outstanding common stock in order to meet the minimum bid price requirement of the NASDAQ Capital Market. There can be no assurance that we will be able to continue to comply with the minimum bid price requirement of the NASDAQ Capital Market, in which case this offering may not be completed.
The reverse stock split of our outstanding common stock has increased the market price of our common stock to exceed the minimum bid price requirement of the NASDAQ Capital Market. However, the effect of a reverse stock split upon the market price of our common stock cannot be predicted with certainty, and the results of reverse stock splits by companies in similar circumstances have been varied. There can be no assurance that the market price of our common stock following the reverse stock split will remain at the level required for continuing compliance with that requirement. It is not uncommon for the market price of a company's common stock to decline in the period following a reverse stock split. If the market price of our common stock declines following the reverse stock split, the percentage decline may be greater than would occur in the absence of a reverse stock split. In any event, other factors unrelated to the number of shares of our common stock outstanding, such as negative financial or operational results, could adversely affect the market price of our common stock and jeopardize our ability to meet or maintain the NASDAQ Capital Market's minimum bid price requirement. In addition to specific listing and maintenance standards, the NASDAQ Capital Market has broad discretionary authority over the initial and continued listing of securities, which it could exercise with respect to the listing of our common stock.
Even if we do obtain a listing on the NASDAQ Capital Market, there can be no assurance that we will be able to comply with continued listing standards of the NASDAQ Capital Market.
Even if we sustain a market price of our common stock sufficient to obtain an initial listing on the Nasdaq Capital Market, we cannot assure you that we will be able to continue to comply with the minimum bid price and the other standards that we are required to meet in order to maintain a listing of our common stock on the NASDAQ Capital Market. Our failure to continue to meet these requirements may result in our common stock being delisted from the NASDAQ Capital Market.
The reverse stock split may decrease the liquidity of the shares of our common stock.
The liquidity of the shares of our common stock may be affected adversely by the reverse stock split given the reduced number of shares that are outstanding following the reverse stock split, especially if the market price of our common stock does not increase as a result of the reverse stock split. In addition, the reverse stock split increased the number of stockholders who own odd lots (less than 100 shares) of our common stock, creating the potential for such stockholders to experience an increase in the cost of selling their shares and greater difficulty effecting such sales.
Following the reverse stock split, the resulting market price of our common stock may not attract new investors, including institutional investors, and may not satisfy the investing requirements of those investors. Consequently, the trading liquidity of our common stock may not improve.
Although we believe that a higher market price of our common stock may help generate greater or broader investor interest, there can be no assurance that the reverse stock split will result in a share price that will attract new investors, including institutional investors. In addition, there can be no assurance that the market price of our common stock will satisfy the investing requirements of those investors. As a result, the trading liquidity of our common stock may not necessarily improve.
23
FORWARD-LOOKING STATEMENTS
This prospectus, including the documents that we incorporate by reference, contains forward-looking statements within the meaning of Section 27A of the Securities Act of 1933, as amended (the Securities Act), and Section 21E of the Exchange Act. Such forward-looking statements include those that express plans, anticipation, intent, contingency, goals, targets or future development and/or otherwise are not statements of historical fact. These forward-looking statements are based on our current expectations and projections about future events and they are subject to risks and uncertainties known and unknown that could cause actual results and developments to differ materially from those expressed or implied in such statements.
In some cases, you can identify forward-looking statements by terminology, such as expects, anticipates, intends, estimates, plans, believes, seeks, may, should, could or the negative of such terms or other similar expressions. Accordingly, these statements involve estimates, assumptions and uncertainties that could cause actual results to differ materially from those expressed in them. Any forward-looking statements are qualified in their entirety by reference to the factors discussed throughout this prospectus.
You should read this prospectus and the documents that we reference herein and therein and have filed as exhibits to the registration statement, of which this prospectus is part, completely and with the understanding that our actual future results may be materially different from what we expect. You should assume that the information appearing in this prospectus is accurate as of the date on the front cover of this prospectus or such prospectus supplement only. Because the risk factors referred to above could cause actual results or outcomes to differ materially from those expressed in any forward-looking statements made by us or on our behalf, you should not place undue reliance on any forward-looking statements. Further, any forward-looking statement speaks only as of the date on which it is made, and we undertake no obligation to update any forward-looking statement to reflect events or circumstances after the date on which the statement is made or to reflect the occurrence of unanticipated events. New factors emerge from time to time, and it is not possible for us to predict which factors will arise. In addition, we cannot assess the impact of each factor on our business or the extent to which any factor, or combination of factors, may cause actual results to differ materially from those contained in any forward-looking statements. We qualify all of the information presented in this prospectus and any accompanying prospectus supplement, and particularly our forward-looking statements, by these cautionary statements.
24
USE OF PROCEEDS
Based on an assumed public offering price of $ per share of common stock and warrant, we estimate that the net proceeds to us from the sale of the securities that we are offering, assuming gross proceeds of $ million and no exercise of the overallotment option, will be approximately $ million, after deducting underwriting discounts and commissions and estimated offering expenses. In addition, if all of the warrants offered pursuant to this prospectus are exercised in full for cash, we will receive approximately an additional $ million in cash. However, the warrants contain a cashless exercise provision that permit exercise of warrants on a cashless basis at any time where there is no effective registration statement under the Securities Act of 1933, as amended, covering the issuance of the underlying shares.
We expect to use any proceeds received from this offering as follows:
| | to fund our research and development activities, including the further development of our I-124-CLR1404, I-131-CLR1404 and CLR1502 compounds in a wide range of cancers; and |
| | for general corporate purposes, such as general and administrative expenses, capital expenditures, working capital, repayment of debt, prosecution and maintenance of our intellectual property, and the potential investment in technologies or products that complement our business. |
We believe that our cash on hand at June 30, 2014, plus the net proceeds from this offering (assuming $20 million of securities are sold in this offering and no exercise of the warrants being issued pursuant to the offering) would be adequate to fund operations through the end of 2015. We estimate that our costs during that time will be approximately $15.0 million. This amount consists of approximately $3.3 million for I-124-CLR1404 development, approximately $1.3 million for I-131-CLR1404 development, approximately $1.2 million for CLR1502 development, approximately $5.0 million for general, fixed and overhead research and development expenses that are not allocated to specific projects and approximately $4.2 million in general and administrative costs. In addition to operating costs we anticipate using $4.8 million in proceeds for the repayment of debt, including $4.0 million for the repayment of the convertible debentures, and $0.6 million for the repayment of the 8% promissory notes.
The above cost estimates contemplate the following clinical development activity:
| | continuation of the investigator-sponsored I-124-CLR1404 Phase 1-2 imaging trials in brain cancer and lung cancer which we anticipate will generate additional proof-of-concept data in 2014 and 2015; |
| | continuation of an investigator-sponsored I-124-CLR1404 Phase 1-2 imaging trial across 9 solid tumors, which we anticipate will generate initial proof-of-concept data in 2015; |
| | completion of the company-sponsored Phase 2 clinical trial which commenced in March 2014 studying I-124-CLR1404 in the imaging of glioblastoma by the end of 2014; |
| | initiation of a Phase 3 registration study studying I-124 CLR1404 in the imaging of glioblastoma; |
| | initiation and completion of a Phase 1-2 proof-of-concept clinical trial studying I-131-CLR1404 in patients with multiple myeloma; and |
| | filing of an IND for CLR1502 in 2014, and initiation and completion of a Phase 1 proof-of-concept clinical trial studying CLR1502 in the intraoperative optical imaging of patients undergoing breast cancer surgery. |
Even if we sell all of the securities subject to this offering, we will still need to obtain additional financing in the future in order to fully fund these product candidates through the regulatory approval process. We may seek such additional financing through public or private equity or debt offerings or other sources, including collaborative or other arrangements with corporate partners, and through government grants and contracts. There can be no assurance we will be able to obtain such additional financing. Although we currently anticipate that we will use the net proceeds of this offering as described above, there may be circumstances where a reallocation of funds may be necessary. The amounts and timing of our actual expenditures will depend upon numerous factors, including the progress of our development and commercialization efforts, the progress of our clinical studies, whether or not we enter into strategic
25
collaborations or partnerships and our operating costs and expenditures. Accordingly, our management will have significant flexibility in applying the net proceeds of this offering.
The costs and timing of drug development and regulatory approval, particularly conducting clinical studies, are highly uncertain, are subject to substantial risks and can often change. Accordingly, we may change the allocation of use of these proceeds as a result of contingencies such as the progress and results of our clinical studies and other development activities, the establishment of collaborations, our manufacturing requirements and regulatory or competitive developments.
Pending the application of the net proceeds as described above or otherwise, we may invest the proceeds in short-term, investment-grade, interest-bearing securities or guaranteed obligations of the U.S. government or other securities.
26
CAPITALIZATION
The following table sets forth our cash and cash equivalents and capitalization, each as of June 30, 2014:
| | on an actual basis, retroactively adjusted for the Listing Reverse Split; and |
| | on an adjusted basis to give effect to the issuance of the securities offered hereby. |
You should consider this table in conjunction with our financial statements and the notes to those financial statements included elsewhere in this prospectus.
| As of June 30, 2014 | ||||||||
| Actual | As Adjusted(1) | |||||||
| Cash and cash equivalents | $ | 1,626,025 | $ | |||||
| Convertible debt | 3,796,781 | |||||||
| Notes payable to the Wisconsin Department of Commerce | 450,000 | |||||||
| Capital lease obligations | 431 | |||||||
| Total debt obligations | 4,247,212 | |||||||
| Stockholders equity: |
||||||||
| Common stock, par value $0.00001 per share: 20,000,000 shares authorized; 2,869,739 issued as of June 30, 2014 | 29 | |||||||
| Additional paid in capital | 53,548,170 | |||||||
| Deficit accumulated during the development stage | (56,088,817 | ) | ||||||
| Total stockholders equity | (2,540,618 | ) | ||||||
| Total capitalization | $ | 1,706,594 | $ | |||||

| (1) | Assumes that $ of securities are sold in this offering at an assumed offering price of $ per share and warrant and that the net proceeds thereof are approximately $ after underwriters discounts and commissions and estimated offering expenses. |
27
MARKET FOR COMMON EQUITY AND RELATED STOCKHOLDER MATTERS
Market Information
Our common stock was quoted on the OTC Bulletin Board under the symbol NVLT beginning on June 14, 2005 and until February 16, 2012, since which time it has been quoted on the OTCQX platform. On February 12, 2014, our ticker symbol was changed to CLRB in connection with the change in our corporate name and on June 13, 2014 we effected the Listing Reverse Split. The following table provides, for the periods indicated, the high and low bid prices for our common stock. These over-the-counter market quotations reflect inter-dealer prices, without retail mark-up, mark-down or commission, and may not represent actual transactions.
| Fiscal Year 2012 | High | Low | ||||||
| First Quarter | $ | 19.80 | $ | 8.00 | ||||
| Second Quarter | 44.00 | 15.00 | ||||||
| Third Quarter | 24.00 | 18.20 | ||||||
| Fourth Quarter | 21.40 | 13.20 | ||||||
| Fiscal Year 2013 | High | Low | ||||||
| First Quarter | $ | 15.80 | $ | 9.20 | ||||
| Second Quarter | 9.40 | 7.20 | ||||||
| Third Quarter | 9.40 | 6.40 | ||||||
| Fourth Quarter | 8.20 | 5.00 | ||||||
| Fiscal Year 2014 | High | Low | ||||||
| First Quarter | $ | 9.00 | $ | 7.00 | ||||
| Second Quarter | 9.20 | 6.00 | ||||||
| Third Quarter (through August 4, 2014) | 7.20 | 6.15 | ||||||
The above share prices have been adjusted to give effect to the Listing Reverse Split.
On August 1, 2014 there were 381 holders of record of our common stock. This number does not include stockholders for whom shares were held in a nominee or street name.
We have not declared or paid any cash dividends on our common stock and do not anticipate declaring or paying any cash dividends in the foreseeable future. We currently expect to retain future earnings, if any, for the development of our business.
Our transfer agent and registrar is American Stock Transfer and Trust Company, 6201 15th Avenue, Brooklyn, NY 11219.
28
DILUTION
Our net tangible book value as of June 30, 2014 was $(1,375,523), or $(0.48) per share of common stock, based upon 2,869,739 shares outstanding as of that date, taking into effect the Listing Reverse Split. Net tangible book value per share is determined by dividing such number of outstanding shares of common stock into our net tangible book value, which is our total tangible assets, less total liabilities, excluding the derivative liability of $2,840,557 at that date. After giving effect to the sale of the securities in this offering at the public offering price of $ per share of common stock, together with a warrant to purchase one share of common stock, excluding the exercise of the underwriters overallotment option and after deducting underwriting discounts and commission and other estimated offering expenses payable by us, our adjusted net tangible book value at June 30, 2014 would have been approximately $ million, or $ per share. This represents an immediate increase in net tangible book value of approximately $ per share to our existing stockholders, and an immediate dilution of $ per share to investors purchasing securities in the offering.
The following table illustrates the per share dilution to investors purchasing securities in the offering:
| Assumed public offering price per share of common stock, together with a warrant to purchase one share of common stock | $ | |||||||
| Net tangible book value per share as of June 30, 2014 | $ | (0.48 | ) | |||||
| Increase per share attributable to sale of securities to investors | $ | |||||||
| Adjusted net tangible book value per share after the offering | $ | |||||||
| Dilution per share to investors | $ | |||||||
The foregoing illustration does not reflect the potential dilution from the exercise of outstanding options or warrants to purchase shares of our common stock or the conversion of convertible debentures. The foregoing illustration also does not reflect the dilution that would result from the exercise of the warrants sold in the offering.
29
BUSINESS
Cellectar Biosciences, Inc. (Cellectar Bio or the Company) is a biopharmaceutical company developing compounds for the treatment and imaging of cancer. Prior to February 11, 2014, the name of the Company was Novelos Therapeutics, Inc. (Novelos). On April 8, 2011, Novelos entered into a business combination (the Acquisition) with Cellectar, Inc., a privately held Wisconsin corporation that designed and developed products to detect, treat and monitor a wide variety of human cancers. Our shares are quoted on the OTCQX® marketplace under the symbol CLRB and prior to February 12, 2014 were quoted under the symbol NVLT.
References to Cellectar, Inc. relate to the activities and financial information of Cellectar, Inc. prior to the Acquisition, references to Novelos relate to the activities and financial information of Novelos prior to the Acquisition and references to Cellectar Bio or the Company or we or us or our relate to the activities and obligations of the combined Company following the Acquisition.
Our cancer-targeting technology permits selective delivery of a wide range of agents to cancer cells, including cancer stem cells. By attaching different agents to our proprietary phospholipid ether (PLE) cancer-targeting delivery platform, we believe we can engineer product candidates with the potential to both image and treat a wide range of cancers. This offers the potential for a paradigm shift in the detection and treatment of cancer by using the same delivery platform for both detecting malignancy and providing efficacy versus all three major drivers of morbidity and mortality in cancer: primary tumors, metastases and stem cell-based relapse.
The Company is currently developing three proprietary product candidates:
| | I-124-CLR1404 is a small-molecule, broad-spectrum, cancer-targeting positron emission tomography (PET) imaging agent that we believe has the potential to be the first of its kind for the selective detection of tumors and metastases in a broad range of cancers. Investigator-sponsored Phase 1/2 clinical trials of I-124-CLR1404 are ongoing across 11 solid tumor indications. In March 2014, we commenced enrollment in a company-sponsored Phase 2 clinical trial studying I-124-CLR1404 in the imaging of glioblastoma, a type of glioma. We expect to complete this trial by the end of 2014, subject to additional funding. In April, 2014, the FDA granted I-124-CLR1404 orphan status as a diagnostic for the management of glioma. |
| | I-131-CLR1404 is a small-molecule, broad-spectrum, cancer-targeting molecular radiotherapeutic that delivers cytotoxic (cell-killing) radiation directly and selectively to cancer cells and cancer stem cells. We believe I-131-CLR1404 also has the potential to be the first therapeutic agent to use PLE analogs to target cancer cells. In November 2013, we completed enrollment in a Phase 1b dose-escalation trial evaluating I-131-CLR1404 in the treatment of patients with advanced solid tumors and the results of the trial were presented at the American Society of Clinical Oncology (ASCO) June 2014 Annual Meeting. Because of the highly radiosensitive nature, clear unmet medical need in the relapse/refractory setting and the potential to receive orphan drug designation, we are pursuing multiple myeloma as an initial target indication for future I-131-CLR1404 development and plan to submit an Investigational New Drug Application (IND) with the FDA in 2014. |
| | CLR1502 is a preclinical, small-molecule, cancer-targeting, non-radioactive optical imaging agent for intraoperative tumor margin illumination and non-invasive tumor imaging. We anticipate filing an IND with the FDA for CLR1502 in 2014. |
Together, we believe our compounds have the potential to improve upon current standard of care (SOC) for the detection, treatment and monitoring of a wide variety of human cancers.
Technology Overview
Our product candidates are based on a cancer-targeting delivery platform of optimized PLE analogs that interact with lipid rafts, which are specialized microdomains within cell membranes. Importantly, the core chemical structure shared across all three products provides selective targeting of cancer cells, including cancer stem cells, in preference to normal cells, due to enrichment of lipid rafts in the former. The cancer-targeting PLE carrier molecule was deliberately designed to be coupled to imaging or therapeutic molecules. For example iodine can be attached via a very stable covalent bond resulting in two distinct products differing only with respect to the
30
isotope of iodine they contain I-131-CLR1404 contains radioactive I-131 and I-124-CLR1404 contains the shorter-lived radioactive I-124. Because of their chemical identity, I-124-CLR1404 also represents an ideal biomarker that may be used to predict tumor sensitivity of I-131-CLR1404 and, potentially, establish an efficacious dose in individual patients. Other, non-radioactive molecules can also be attached to the PLE carrier. In the case of CLR1502, this is a near-infrared (NIR) emitting fluorophore (800 nm) whose signal can penetrate through up to approximately 1 cm of tissue. This may enable the use of CLR1502 to visualize tumor margins during cancer surgery and to non-invasively detect relatively superficial tumors. Thus, to date, three cancer-targeting product profiles have been generated from a single chemical core structure that is the foundation of our technology platform a diagnostic PET imaging agent, I-124-CLR1404, a molecular radiotherapeutic agent, I-131-CLR1404 and a non-radioactive optical imaging agent, CLR1502, to increase the success of cancer surgery and non-invasively image certain tumors.
Malignant tumor targeting, including targeting of cancer stem cells, has been demonstrated in vivo. Mice without intact immune systems, and inoculated with Panc-1 (pancreatic carcinoma) cells, were injected with CLR1502 24 or 96 hours prior to imaging. In vivo optical imaging showed pronounced accumulation of CLR1502 in tumors versus non-target organs and tissues. Similarly, PET imaging of tumor-bearing animals (colon, glioma, triple negative breast and pancreatic tumor xenograft models) administered the imaging agent I-124-CLR1404 clearly shows selective uptake and retention by both primary tumors and metastases, including cancer stem cells. PET/CT analysis following co-injection of I-131-CLR1404 (for therapy) and I-124-CLR1404 (for imaging) revealed time-dependent tumor responses and disappearance over 9 days in a cancer xenograft model. We believe that the capability of our technology to target and be selectively retained by cancer stem cells in vivo was demonstrated by treating glioma stem cell derived orthotopic tumor-bearing mice with another fluorescent-labeled PLE (CLR1501), and then removing the tumor and isolating cancer stem cells, which continued to display CLR1501 labeling even after three weeks in cell culture.
The basis for selective tumor targeting of our compounds lies in differences between the plasma membranes of cancer cells as compared to those of most normal cells. Specifically, cancer cell membranes are highly enriched in lipid rafts. Lipid rafts are specialized regions of the membrane phospholipid bilayer that contain high concentrations of cholesterol and sphingolipids and serve to organize cell surface and intracellular signaling molecules (e.g., growth factor and cytokine receptors, the phophatidylinosotol 3-kinase (P13K)/Akt survival pathway). Data suggests that lipid rafts serve as portals of entry for PLEs such as I-124-CLR1404, I-131-CLR1404 and CLR1502. The marked selectivity of our compounds for cancer cells versus non-cancer cells is due to the fact that cancer cells have far more lipid rafts. Following cell entry via lipid rafts, I-124-CLR1404, I-131-CLR1404 and CLR1502 are transported into the cytoplasm, where they distribute to organelle membranes (mitochondria, ER, lysosomes) but not the nucleus. The pivotal role played by lipid rafts is underscored by the fact that disruption of lipid raft architecture suppresses uptake of PLEs into cancer cells.
Our core technology platform is based on research conducted by Cellectar, Inc.s founder and our Chief Scientific Officer, Dr. Jamey Weichert, beginning in 1994 at the University of Michigan (U. Mich.), where phospholipid ether analogs were initially designed, synthesized, radiolabeled, and evaluated in the laboratory of Raymond Counsell. Since 1998, Dr. Weichert has continued his research at the University of Wisconsin (U. Wisc.) and subsequently founded Cellectar, Inc. in 2002 to further develop and commercialize the technology. Cellectar, Inc. obtained exclusive rights to the related technology patents owned by U. Mich. in 2003 and continued development of the platform while obtaining ownership of numerous additional patents and patent applications (lasting until 2025, 2028 and 2030 without extensions).
Products in Development
I-124-CLR1404
I-124-CLR1404 is a small-molecule, broad-spectrum, cancer-targeting imaging agent that we believe has first-in-class potential for selective detection of primary tumors and metastases in a broad range of cancers. Chemically, I-124-CLR1404 is comprised of our proprietary PLE, 18-(p-[I-124]iodophenyl) octadecyl phosphocholine, acting as a cancer-targeting delivery and retention vehicle, covalently labeled with iodine-124, a PET imaging radioisotope with a radiation half-life of four days. PET imaging used in conjunction with CT
31
scanning has now become the imaging method of choice in much of oncology. In preclinical studies to date, I-124-CLR1404 selectively illuminated malignant tumors in over 60 animal models of different cancer types, demonstrating broad-spectrum, cancer-selective uptake and retention. We also compared I-124-CLR1404 and the current standard of care PET agent, F-18-fluoro-deoxyglucose (FDG)), side by side (24 hours apart) in the same tumor-bearing mouse (PC3 human prostate carcinoma) that was treated with carrageenan to generate a site of inflammation. As expected, FDG demonstrated significant uptake in the inflammatory lesion and organs such as heart, liver, brain and bladder compared to the malignant tumors, which were poorly imaged. I-124-CLR1404, on the other hand, showed no uptake into the inflammatory lesion and organs, yet displayed clear and demonstrable uptake in the tumors. Investigator-sponsored Phase 1/2 clinical trials of I-124-CLR1404 as a PET imaging agent are ongoing across 11 solid tumor indications. These trials have demonstrated positive initial imaging results in multiple tumor types. Based on positive initial I-124-CLR1404 imaging results in 15 primary and metastatic brain cancer patients, we believe I-124-CLR1404 has potential to address a significant unmet medical need for post-treatment efficacy assessment and differentiating tumor growth from pseudoprogression in brain cancer, potentially avoiding unnecessary surgeries, biopsies and other treatments and resulting in better patient management and lower healthcare costs. We enrolled the first patient in an I-124-CLR1404 Phase 2 imaging trial in brain cancer in March 2014 and, subject to additional funding, expect to complete the trial by mid-2015. This trial will compare I-124-CLR1404 imaging of glioblastoma to standard of care magnetic resonance imaging (MRI) based on pathology confirmation in approximately 36 patients. The primary objective of the trial will be to optimize dosing and imaging parameters of I-124-CLR1404. We expect glioblastoma to be our lead indication for I-124-CLR1404 with additional development opportunities that could include brain metastases and other primary brain tumors, as well as other solid tumors such as prostate, breast, lung, colorectal, head and neck, and pancreatic cancers. In April 2014, the FDA granted our request for orphan designation of I-124-CLR1404 as a diagnostic for the management of glioma. In addition to seven years of marketing exclusivity following marketing approval by the FDA for I-124-CLR1404 as a diagnostic for the management of glioma, orphan status benefits include tax credits related to clinical trial expenses, a possible exemption from the FDA-user fee, assistance in clinical trial protocol design, and fewer patients required for new drug applications.
These human trials are intended to provide proof-of-concept for I-124-CLR1404 as a PET imaging agent with the potential to supplant current imaging standards of care, FDG for various solid tumors or MRI in the case of brain cancers, due to what we believe to be I-124-CLR1404s superior cancer selectivity. Furthermore, the radiation half-life of only 110 minutes for fluorine-18 labeled agents, such as FDG, severely limits their use to locations close to the point of manufacture. I-124-CLR1404s much longer radiation half-life affords a longer imaging window of up to seven days following injection, resulting in more favorable logistics of clinical use, including the ability to be distributed to clinics throughout the U.S. from a single manufacturing site. As a chemically identical biomarker for I-131-CLR1404, I-124-CLR1404 imaging may be capable of estimating an efficacious dose of I-131-CLR1404 in individual cancer patients.
A three-part investigator-sponsored Phase 1/2 trial of radiolabeled CLR1404 for patients with advanced non-small cell lung cancer (NSCLC) was initiated in February 2004 at the University of Wisconsin Carbone Cancer Center (UWCCC). The first part of the trial evaluated imaging characteristics of I-131-CLR1404 in seven patients and the second part of the trial evaluated tumor accumulation in one patient. The third part of the trial is now evaluating tumor imaging with I-124-CLR1404 at increasing doses. Dr. Anne M. Traynor at UWCCC is the principal investigator for this trial. We provide funding for the trial and the data is shared with us while the study progresses and at the conclusion of the study. A total of 8 patients have been enrolled across three dose levels (1.5 mCi, 3 mCi and 5 mCi) in this part of the Phase 1/2 trial. With the 5 mCi dose level, we saw clear and sustained uptake of I-124-CLR1404 in cancerous tumors against low background and have not observed any adverse safety signals. Although still early and in a small number of subjects, there is some suggestion that I-124-CLR1404 imaging was more tumor-selective than the comparator modality FDG PET. In addition, in one patient, three brain metastases were detected with I-124-CLR1404 that were not identified with FDG PET, which following confirmation with current SOC, prompted an alteration to the treatment plan for this patient. Having observed initial cancer-specific uptake with I-124-CLR1404 at a 5 mCi dose in NSCLC patients, study investigators continue exploration of dose and imaging time points in an effort to optimize dosing and results. Enrollment began in September 2013 for the evaluation of doses of 7.5 and 10 mCi in up to 22 patients. As of the end of March 2014, three patients have been enrolled at these increased dose levels. It is anticipated that this trial will be completed in mid-2015.
32
An investigator-sponsored Phase 1/2 trial of I-124-CLR1404 as a PET imaging agent for brain cancer was initiated in December 2011 at UWCCC and the first patient was enrolled in March 2012. Dr. Lance Hall at the UWCCC is the principal investigator for this trial. This trial is being funded by UWCCC and an Institute for Clinical and Translational Research (ICTR) grant, and the data is shared with the Company while the study progresses and at the conclusion of the study. Up to 20 patients will be enrolled at a 5 mCi dose. In June 2012, we announced that three glioma patients were dosed with I-124-CLR1404 at 5 mCi. The preliminary results from these three glioma patients showed strong and sustained uptake of I-124-CLR1404 in cancerous tumors against very low background and no adverse safety signals were observed. Patient enrollment is continuing and a total of ten patients have been enrolled as of the end of March 2014. It is anticipated that this trial will be completed during 2014.
An investigator-sponsored Phase 1/2 trial of I-124-CLR1404 as a PET imaging agent for glioma was initiated in January 2012 at UWCCC and the clinical trial protocol has been amended to facilitate patient enrollment. Dr. Lance Hall at the UWCCC is the principal investigator for this clinical trial. Dr. Jamey Weichert is the primary principal investigator for the $1.2 million grant from the National Cancer Institute, which funds the trial. Total enrollment of 25 patients is targeted and 11 patients have been enrolled as of the end of July 2014. It is anticipated that this trial will be completed in mid-2015.
An investigator-sponsored Phase 1/2 trial of I-124-CLR1404 as a PET imaging agent for patients with multiple solid tumor types (triple negative breast, prostate, colorectal, gastric, ovarian, pancreatic, esophageal, soft tissue sarcoma, and head & neck cancer) was initiated in August 2012 at the UWCCC and the first patient was enrolled in October 2012. Dr. Glenn Liu at UWCCC is the principal investigator for this trial. We provide funding for the trial and the data is shared with us while the study progresses and at the conclusion of the study. Up to 9 patients per tumor type will be enrolled across dose levels ranging from 3 mCi to 10 mCi) in this Phase 1/2 trial. 11 patients have been enrolled as of the end of July 2014. It is anticipated that this trial will be completed during 2015.
I-131-CLR1404
I-131-CLR1404 is a small-molecule, broad-spectrum, cancer-targeting molecular radiotherapeutic that we believe has the potential to be the first radiotherapeutic agent to use PLEs to target cancer cells. I-131-CLR1404 is comprised of our proprietary PLE, 18-(p-[I-131]iodophenyl) octadecyl phosphocholine, acting as a cancer-targeting delivery and retention vehicle, covalently labeled with iodine-131, a cytotoxic (cell-killing) radioisotope with a half-life of eight days that is already in common use to treat thyroid and other cancer types. It is this intracellular radiation mechanism of cancer cell killing, coupled with delivery to a wide range of malignant tumor types that we believe imbues I-131-CLR1404 with broad-spectrum anti-cancer activity. Selective uptake and retention has been demonstrated in cancer stem cells compared with normal cells, offering the prospect of longer lasting cancer remission.
In 2009, we filed an IND with the FDA to study I-131-CLR1404 in humans. In early 2010, we successfully completed a Phase 1a dosimetry trial demonstrating initial safety, tumor imaging and pharmacokinetic consistency and establishing a starting dose for a Phase 1b dose-escalation trial. Radiation dosimetry measures how much radiation is absorbed by tumors and body organs in order to optimize delivery of radiation therapy. The Phase 1b dose-escalation trial was aimed at determining the recommended dose of I-131-CLR1404.
Preclinical experiments in tumor models have demonstrated selective killing of cancer cells along with a benign safety profile. I-131-CLR1404s anti-tumor/survival-prolonging activities have been demonstrated in more than a dozen models including breast, prostate, lung, brain, pancreatic, ovarian, uterine, renal, and colorectal cancers as well as, melanoma and multiple myeloma. In all but two models, a single administration of a well-tolerated dose of I-131-CLR1404 was sufficient to demonstrate efficacy. Moreover, efficacy was also seen in a model employing human uterine sarcoma cells that over-express efflux pumps known to underlie resistance to many standard chemotherapeutic drugs. I-131-CLR1404 was also tested in combination with a standard efficacious dose of gemcitabine in a pancreatic cancer model. Single doses of I-131-CLR1404 or gemcitabine given alone were equally efficacious while the combination therapy was significantly more
33
efficacious than either treatment alone (additive). In each study, the dose of I-131-CLR1404 was ~100 μCi, which is approximately 50-fold less than the maximum tolerated dose of I-131-CLR1404 determined in a six-month rat radiotoxicity study.
Extensive, IND-enabling, Good Laboratory Practices (GLP) in vivo and in vitro preclinical pharmacokinetic/distribution, toxicology and drug safety studies were successfully completed in 2007 through 2009 using non-pharmacological concentrations/doses of PLE consistent with its role as a delivery/retention vehicle in I-131-CLR1404. Tissue distribution studies supported prediction of acceptable human organ exposures and body clearance for I-131-CLR1404. Importantly, and in sharp distinction from biological products labeled with I-131, the small molecule I-131-CLR1404 showed very minimal variation in excretion kinetics and tissue distribution among individuals within species or across a 500-fold variation in dose. Single- and repeated-dose animal toxicology studies indicated very high margins of safety with our PLE delivery and retention vehicle even when administered at 80-200x over the amount required to deliver the anticipated maximum human therapy dose of I-131-CLR1404.
In February 2010 we completed a Phase 1 dosimetry trial with a single intravenous dose of 10 mCi I-131-CLR1404 in eight patients with relapsed or refractory advanced solid tumors. Single doses of I-131-CLR1404 were well tolerated. The reported adverse events were all considered minimal, manageable and either not dose limiting or not related to I-131-CLR1404. There were no serious adverse events reported. Analysis of total body imaging and blood and urine samples collected over 42 days following injection indicated that doses of I-131-CLR1404 expected to be therapeutically effective can be administered without harming vital organs. Two subjects (one with colorectal cancer metastasized to lung and another with prostate cancer) had tumors that were imaged with 3D nuclear scanning (SPECT/CT) on day 6 after administration of I-131-CLR1404. Uptake of I-131-CLR1404 into tumor tissue (but not adjacent normal tissue or bone marrow) was clearly demonstrated in both subjects. Echoing animal studies, pharmacokinetic analyses demonstrated a prolonged half-life of radioactivity in the plasma after I-131-CLR1404 administration (approximately 200 hours) and that there was no significant variation in excretion or radiation dosimetry among subjects. The trial established an initial dose of 12.5 mCi/m2 for the Phase 1b escalating dose trial that commenced in January 2012.
The primary objective of the multicenter Phase 1b dose-escalation trial in patients with a range of advanced solid tumors is to define the recommended dose of I-131-CLR1404. In addition to determining the recommended dose, the Phase 1b trial is intended to evaluate overall tumor response (using standard RESIST 1.1 criteria) and safety. In September 2012, we announced that we had successfully completed the second cohort in this Phase 1b dose-escalation trial. The second two-patient cohort was successfully dosed with 25 mCi/m2 of I-131-CLR1404, triggering enrollment into the third cohort at 37.5 mCi/m2. Data from the second cohort indicated I-131-CLR1404 was well-tolerated, without any dose limiting or sub-dose limiting toxicities, enabling enrollment of the third cohort. Data from the two-patient third cohort indicated the onset of dose-limiting hematologic toxicities with I-131-CLR1404, triggering enrollment into a five-patient fourth cohort at a dose midway between those used in the second and third cohorts, as per trial protocol. Four patients were enrolled in the fourth cohort and we ceased enrollment in November 2013. The results of this trial were presented at the American Society of Clinical Oncology (ASCO) June 2014 Annual Meeting.
In view of I-131-CLR1404s selective uptake and retention in a wide range of cancers and in cancer stem cells, its single-agent efficacy in animal models and its non-specific mechanism of cancer-killing (radiation), we are first developing I-131-CLR1404 as a monotherapy for cancer indications with significant unmet medical need. Because of the highly radiosensitive nature, clear unmet medical need in the relapse/refractory setting and the potential to receive orphan drug designation, the Company is targeting multiple myeloma as an initial target indication for future I-131-CLR1404 development. I-131-CLR1404 is anticipated to be used as monotherapy through proof-of-concept clinical trials, with subsequent exploration of combination with chemotherapeutic agents (a number of which are known to be radiosensitizers and thus have the potential to enhance the efficacy of I-131-CLR1404) and in combination with external beam radiotherapy.
Tumor treatment with radioactive isotopes has been used as a fundamental cancer therapeutic for decades. The goals of targeted cancer therapy selective delivery of effective doses of isotopes that destroy tumor tissue, sparing of surrounding normal tissue, and non-accumulation in vital organs such as the liver and kidneys remain goals of new therapies as well. We believe our isotope delivery technology is poised to
34
achieve these goals. Because, to date, I-131-CLR1404 has been shown to reliably and near-universally accumulate in cancer cells, including cancer stem cells, and because the therapeutic properties of iodine-131 are well known, we believe the risk of non-efficacy in human clinical trials is less than that of other cancer therapies at this stage of development, although no assurance can be given.
CLR1502
CLR1502 is a small-molecule, broad-spectrum, cancer-targeting, non-radioactive optical imaging agent that we believe has the potential to be the first of its kind for intraoperative tumor margin illumination and non-invasive tumor imaging. CLR1502 is comprised of a proprietary PLE, acting as a cancer-targeting delivery and retention vehicle, covalently attached to a near-infrared (800nm) fluorophore. According to the American Cancer Society, most cancer patients will have some type of surgery and more than 1.6 million new cancers will be diagnosed in the U.S. alone in 2014. CLR1502 may facilitate and enable diagnostic, staging, debulking and curative cancer surgeries, intraoperatively in real-time, by defining tumor margins and regional lymph node involvement, resulting in more complete tumor resections and improving outcome and prognosis. In this context, CLR1502 would effectively act as an adjunct to cancer surgery. In preclinical tumor models, non-invasive optical imaging showed pronounced accumulation of CLR1502 in tumors versus normal tissues and successfully delineated tumor margins during tumor resection. CLR1502 may also have utility for non-invasive imaging of relatively superficial tumor types in man (e.g., melanoma, head & neck, colon, esophageal). We expect to submit an IND for CLR1502 in 2014. We anticipate initiating a multi-site Phase 1 study with CLR1502 in breast cancer patients undergoing lumpectomy. The trial is intended to confirm the safety and tolerability of CLR1502 while demonstrating its utility in the real-time identification of malignant tissue.
Other Pipeline Compounds
We have other preclinical compounds that are based on our proprietary cancer-targeting technology. For example, CLR1404 is a cancer-targeted chemotherapy when used in high (100x) doses that, in preclinical experiments, has been observed to inhibit the phosphatidylinosotol 3-kinase (PI3K)/Akt survival pathway that is aberrantly activated in many types of cancer. In preclinical experiments, CLR1404 has been observed to selectively inhibit Akt activity, induce apoptosis through caspase activation and inhibit cell proliferation in cancer cells. CLR1404 also exhibits significant in vivo efficacy in mouse tumor models, including non-small cell lung cancer and triple-negative breast cancers, producing long-lasting tumor growth suppression and significantly increased survival. We believe CLR1404 represents a compelling future development opportunity due to (a) cancer cell/cancer stem cell targeting, resulting in cancer-selective inhibition of Akt and cell proliferation and (b) suitability for intravenous administration that we believe offers the prospect of greater systemic exposure and hence Akt inhibition in cancer cells, which we believe could result in superior efficacy.
Legacy Products
Prior to the Acquisition, Novelos had been developing compounds based on a proprietary oxidized glutathione technology. From November 2006 through January 2010, Novelos conducted and completed a Phase 3 trial of its lead compound, NOV-002, in combination with chemotherapy in the treatment of advanced non-small cell lung cancer. The Phase 3 trial enrolled a total of 903 patients, but did not demonstrate efficacy of NOV-002. Based on the results from the Phase 3 trial, Novelos discontinued development of NOV-002 for NSCLC in combination with first-line paclitaxel and carboplatin chemotherapy. The aggregate costs incurred in connection with the development of NOV-002, including administrative overhead, were approximately $70 million.
Prior to the Acquisition, Novelos had also been developing NOV-205, a second oxidized glutathione-based compound, which had been administered to approximately 200 hepatitis patients in clinical trials and was in Phase 2 development for chronic hepatitis C non-responders. Although safety was established, no efficacy was demonstrated in Phase 2 development.
Further development of NOV-002 and NOV-205 has been suspended. At this time, we expect to devote our resources to the development and commercialization of the Cellectar Bio compounds, and we do not expect to conduct any further development of the oxidized glutathione compounds. The IND for NOV-205 was withdrawn on July 5, 2011. The IND for NOV-002 was placed on inactive status in July 2013.
35
Market Overview
Our target market is broad and represents the market for the treatment and imaging of cancer. The American Cancer Society estimated that approximately 1.67 million new cancer cases would be diagnosed in the U.S. in 2014 and most cancer patients will have some type of surgery. According to the Society, about 6 million people worldwide would die of cancer in 2013, including approximately 580,000 in the U.S.
According to Cowen Therapeutic Categories Outlook (February 2013), cancer was the largest global pharmaceutical category with worldwide sales of $74 billion in 2011. Cowen estimates that targeted therapies are changing the landscape of cancer treatment and will likely be used in most cancer patients in 5 to 10 years. Furthermore, the worldwide sales of targeted cancer therapies could exceed $61 billion by 2017. The National Institutes of Health (NIH) estimates the direct medical costs for treating cancer in 2008 (the latest figure available under the NIHs new methodology) was $77.4 billion in the U.S. Furthermore, the U.S. National Cancer Institute estimated in January 2011 that the overall cost of treating cancer in the U.S. will increase to $158 billion by 2020 from $125 billion in 2010.
According to a BCC Research report from April 2011, the total market for next-generation cancer diagnostics was $776 million in 2010 and was growing at a compound annual growth rate of 47%, and was forecasted to reach a market size of $5.3 billion in 2015.
Manufacturing
We maintain a Good Manufacturing Practices compliant (cGMP) radiopharmaceutical manufacturing facility in Madison, Wisconsin, in which we manufacture drug substance for our I-124-CLR1404, I-131-CLR1404 and CLR1502 product candidates and also manufacture I-131-CLR1404 for clinical trials. This facility, consisting of approximately 19,500 square feet, contains offices, laboratories, a radiopharmaceutical research lab, a cGMP radiopharmaceutical manufacturing suite and a cGMP analytical laboratory for product release. Our manufacturing facility holds a State of Wisconsin Department of Health Services Radioactive Materials License which authorizes the use and possession of radioactive material for both manufacturing and distribution activities. The facility also holds a State of Wisconsin DHS Radioactive Materials License that authorizes the use and possession of radioactive materials for research and development. The research and development license permits the use and possession of iodine-125, iodine-131 and iodine-124 in quantities sufficient to support in-house drug substance and I-131-CLR1404 manufacturing for current clinical programs and other research needs. Each of these iodine isotopes is purchased from third party vendors.
Manufacturing of I-124-CLR1404 is conducted by our collaborator, the University of Wisconsin in Madison, cGMP, using drug substance produced in our Madison manufacturing facility. We have completed the transfer of I-124-CLR1404 manufacturing to a U.S. based contract manufacturer pursuant to an agreement expiring July 29, 2018, also using drug substance produced in our Madison manufacturing facility. The agreement contains standard provisions for the protection of data and intellectual property and may be terminated by either party with 60-days notice, pending the completion of any obligations by either party set forth in an outstanding statement of work. The proprietary contract manufacturing process is sufficient to provide materials for Phase 2 trials and is scalable for larger trials. We do not plan to build in-house manufacturing capability for I-124-CLR1404 over the next several years.
The drug substance is identical for I-131-CLR1404 and I-124-CLR1404 products. The base molecule is a dry powder produced via a six-step synthetic scheme. The release specifications for drug substance have been established and validated. The impurity levels at small scale are very low, suggesting that larger scale production should be feasible. We have also demonstrated 60-month stability for the drug substance in desiccated and refrigerated form. We believe our laboratories are well equipped with the appropriate equipment for manufacturing pilot and small-scale batches in accordance with cGMP. We believe we have adequate drug substance manufacturing and I-131-CLR1404 drug product manufacturing capacity for any Phase 2 trials and the potential for larger scale build-out for larger Phase 3 trials.
CLR1502 drug substance is synthesized at the Madison facility via a cGMP process from the same chemical precursor used in the manufacture of I-131-CLR1404. The facility has the capability to manufacture
36
the CLR1502 drug product to support Phase 1 clinical trials. Manufacturing of drug substance and drug product for subsequent clinical trials will likely be achieved through contract manufacturing.
All investigational drug substance and product intended for human use during clinical studies will be manufactured according to the guidelines of the International Conference on Harmonisation of Technical Requirements for Registration of Pharmaceuticals for Human Use, FDA requirements (CFR part 211) and cGMP.
Sales and Marketing
We have not entered into any joint development, licensing or similar partnering agreements with respect to any of our clinical stage product candidates or pre-clinical compounds. We plan to pursue and evaluate all available options to develop, launch and commercialize our compounds. These options presently include, but are not limited to, entering into a partnering arrangement with one or more pharmaceutical, imaging agent or imaging device companies with strong development and commercial expertise and infrastructure in the U.S., Europe and/or Japan. While we currently do not plan to build our own sales force or utilize a contract sales organization for launch and commercialization of our compounds, we may reconsider in the future.
Competition for Our Clinical-Stage Compounds
I-124-CLR1404
FDG is the current gold standard for cancer PET imaging. According to Bio-Tech Systems (November 2010), sales of FDG in the U.S. in 2009 were approximately $300 million and projected to grow to approximately $880 million in 2017. FDG accumulates in any tissue having increased glucose metabolism (i.e. energy utilization) compared to surrounding tissue. As a result, and in contrast to I-124-CLR1404, FDG is not selective for malignant tumors. FDG localizes in certain normal tissue such as heart, liver and brain tissues that also have high glucose metabolism as well as kidney and bladder due to FDG excretion paths. FDG is also known to localize in inflammatory sites, which are often found in the vicinity of malignancies and can result in diagnostic and treatment plan uncertainties. Other major limitations to the use of FDG are found in pelvic imaging due to the high renal (kidney) clearance of the compound. Moreover, there are clinically important malignancies that do not demonstrate reliable FDG avidity such as prostate cancer. We believe these characteristics of FDG decrease its diagnostic specificity for certain malignancies. FDG is no longer covered by patent and is typically manufactured at or extremely proximate to PET imaging medical facilities because of its very short (110 minute) radiation half-life. I-124 has a four-day half-life that permits worldwide distribution of I-124-CLR1404 from one manufacturing location. Additionally, the longer half-life affords a longer imaging window of up to seven days following injection.
MRI is the current SOC for imaging brain cancer, in part due to FDG PETs limited utility in brain imaging. While MRI can differentiate tissue densities and demark structural changes in tissue, it is not cancer selective. This imaging can result in a diagnostic dilemma for clinicians, particularly with respect to glioma, the most common form of primary brain cancer. After chemoradiation commonly employed in glioma management MRI changes suggestive of tumor recurrence are seen in approximately 50% of high-grade glioma patients. However, in approximately 50% of these cases, the MRI changes actually represent treatment-related changes that do not truly represent disease progression. This is termed pseudoprogression. The dilemma facing clinicians is the decision whether to re-treat the patient (surgery, chemotherapy, biological therapy, reirradiation) with associated risks to the patient (e.g. damage to normal brain tissue and consequent loss of function), or monitor with periodic re-imaging with the risk of the imaging changes actually representing tumor recurrence and with the costs associated with re-imaging.
In Phase 1/2 Investigator-sponsored trials at the UWCCC, preliminary results suggest that I-124-CLR1404 may provide a more accurate assessment of the post-treatment progression of glioma when compared to MRI. Specifically, I-124-CLR1404 appears to be capable of distinguishing malignant tumors from tissue changes associated with pseudoprogression. A key goal of Company sponsored Phase 2 trials of I-124-CLR1404 in glioma patients will be to employ pathology confirmation to demonstrate that I-124-CLR1404 provides a more accurate assessment of malignant vs. non-malignant tissue, including in cases of suspected pseudoprogression. Pathology confirmation will also be applied in primary glioma patients to assess the accuracy and completeness of tumor resection. The available market for addressing unmet medical need with respect to pseudoprogression alone is approximately 40,000 patients annually (U.S. and Europe). The opportunity for robust pricing while still reducing
37
current SOC healthcare costs is substantial. Current National Comprehensive Cancer Network® (NCCN®) guidelines provide for up to 18 MRIs over three years for post-treatment assessment of glioma progression. The cost of each MRI is approximately $2,500 to $5,000. The opportunity for I-124-CLR1404 to become the SOC for assessment of post-treatment progression of glioma results from the potential for better patient management (avoid unnecessary surgeries, biopsies, and treatments) and better patient outcomes (detect progression earlier, avoid tumor spread to critical structures) while reducing current SOC healthcare system costs.
Following the first commercial opportunity for I-124-CLR1404 addressing the unmet need for better assessment of post-treatment progression in glioma, brain metastases may represent the next commercial opportunity. Metastatic cancer patients with brain metastases are commonly followed with both FDG PET and brain MRI due to the inability of FDG PET to surveil for intracranial disease. I-124-CLR1404 may supplant this dual modality imaging surveillance paradigm due to its ability to image both intracranial and extracranial disease. Initial data from Phase 1/2 imaging trials at the UWCCC demonstrates avid uptake in brain metastases. The available market for addressing this unmet need in brain metastases is considerably larger than glioma. In 2014, the National Cancer Institute estimated that there are between 98,000 and 170,000 new cases in the U.S. each year.
I-131-CLR1404
I-131-CLR1404s intracellular radiation mechanism of cancer cell killing, coupled with delivery to a wide range of malignant tumor types, imbues I-131-CLR1404 with broad-spectrum anti-cancer activity. Selective uptake and retention of our PLE analogs has also been demonstrated in cancer stem cells compared with normal stem cells, offering a prospect of longer lasting cancer remission. Other targeted radiotherapies include the marketed drugs Zevalin® (manufactured by Spectrum Pharmaceuticals) and Bexxar® (manufactured by GlaxoSmithKline). In both cases, tumor-targeting is monoclonal antibody-based and limited to non-Hodgkins lymphoma, which is a type of cancer involving cells of the immune system. Thus, these agents are not appropriate comparators for I-131-CLR1404 because of their limited therapeutic utility (only one type of tumor) and because their target indication is often well-managed by other drugs (unlike I-131-CLR1404 which has potential to treat tumor types for which the current standard of care is associated with very poor outcomes). Notably, both Zevalin® and Bexxar® were approved on the basis of objective response rates (shrinking of tumors) without data to support improvement in survival, suggesting that regulatory approval of radiopharmaceuticals may be based on relatively shorter and smaller pivotal clinical trials than is often the case in oncology. We do not believe Zevalin® or Bexxar® would be competing products of I-131-CLR1404 in any material respect. Other cancer-targeted molecular radiotherapeutic agents are in various stages of development for solid tumors. These primarily utilize monoclonal antibodies for cancer cell targeting and are, therefore, restricted to a relatively narrow range of tumor indications compared to I-131-CLR1404.
CLR1502
CLR1502 is a preclinical, cancer-targeting, non-radioactive optical imaging agent for intraoperative tumor margin illumination and non-invasive tumor imaging. The topic of providing cancer surgeons with better technology for intraoperative assessment of tumor margins designed to result in more complete tumor removal has gained considerable attention in recent years. While there are a number of technologies in various stages of development, some of the most common categories include the use of fluorescence agents either alone, or attached to cancer delivery vehicles, nanoparticle technologies and electromagnetic technologies. At present, the only known FDA approved technology for tumor margin assessment is believed to be MarginProbeTM, marketed by Dune Medical Devices. MarginProbeTM received FDA approval in January, 2013, as an intraoperative tissue assessment tool for early-stage breast cancer surgery. MarginProbeTM claims to use electromagnetic signatures to identify healthy and cancerous tissue.
A technology approved in Europe for use with intraoperative tumor margin assessment is 5-aminolevulinic acid (5-ALA), a small molecule that is preferentially taken up by tumor cells leading to biosynthesis and accumulation of protoporphyrin IX, a natural fluorophore with red fluorescence emission. Investigator sponsored trials of 5-ALA are ongoing in the U.S., primarily in newly diagnosed and recurrent brain cancer indications.
Other technologies known to be in development include Blaze Biosciences Tumor PaintTM, a combination of a targeting peptide and a fluorescent beacon, under development for cancer surgery in multiple
38
solid tumor types. In December, 2013, Blaze Biosciences announced the initiation of the first Phase 1 clinical study of the first Tumor PaintTM product candidate, BLZ-100. The study, titled A Phase I Dose Escalation/Expansion Study of BLZ-100 Administered by Intravenous Injection in Adult Subjects with Skin Cancer, is taking place in Australia. Additionally, Avelas Biosciences, based in San Diego, CA, is developing a fluorescence peptide based compound named AVB-620 for fluorescence image-guided cancer surgery. Avelas disclosed the intention to initiate human clinical trials with AVB-620 in 2014.
While a number of technologies are in development to provide intraoperative tumor margin guidance we are leveraging our cancer-targeting delivery platform to provide cancer selectivity and specificity for accurate tumor margin illumination. Further, CLR1502 may be able to demonstrate application with a broad spectrum of cancer types based on data that includes our other product candidates utilizing the same cancer-targeting delivery platform in pre-clinical studies and human clinical trials (I-124-CLR1404 and I-131-CLR1404). Lastly, clinical development of CLR1502 may incorporate potentially useful data and insight from the pre-clinical studies and human clinical trials conducted with these other product candidates.
Intellectual Property
We have established a broad U.S. and international intellectual property rights portfolio around our proprietary cancer-targeting PLE technology platform including I-124-CLR1404, I-131-CLR1404 and CLR1502.
Our proprietary rights include patents and patent applications that are either owned by us or exclusively licensed to us by the University of Michigan (the Michigan patents). I-124-CLR1404 and I-131-CLR1404 are covered by the Michigan patents that provide compound (composition of matter) coverage in the U.S. and Canada and expire in 2016. Our patents and applications cover methods of use, composition and method of manufacture related to I-124-CLR1404, I-131-CLR1404, CLR1502 and other PLEs. Many of these patents and applications are filed in key commercial markets worldwide. These patents will generally expire between 2025 and 2030 unless extended.
In particular, I-124-CLR1404 is covered by the Michigan patents as well as three of our U.S. patents, one of which is directed to detecting certain cancers, one of which is directed to its use for virtual colonoscopy and one of which is directed to its use for in vitro diagnostics. Each of these is expected to expire in 2025. I-124-CLR1404 is also covered by an issued European patent and pending U.S. and Japanese patent applications, which once issued should expire in 2025. Lastly, the use of I-124-CLR1404 for diagnostics purposes with cancer stem cells is pending in the U.S., Japan and Europe. Patents resulting from these applications are expected to expire in 2030. Separate from these patents, we have been granted orphan status for I-124-CLR1404 as a diagnostic for the management of glioma by the US FDA. Orphan status provides for seven years of marketing exclusivity following US approval of I-124-CLR1404 as a diagnostic for the management of glioma.
I-131-CLR1404 is covered by two additional series of our patents and applications aside from the Michigan patents. The first is directed to a method of use for cancer therapy and has also been filed in Europe and Japan, in addition to the U.S. We have one issued patent in the U.S. and two in Europe, in addition to pending applications in the U.S. and Japan. These are expected to expire in 2025. Secondly, an application directed to cancer stem-cell therapy is pending in the U.S., Europe and Japan. Patents resulting from these applications are expected to expire in 2030. Some of these resulting patents may be extendable on a country-by-country basis. . We also plan to file a request for orphan designation from the US FDA for I-131-CLR1404 for the treatment of multiple myeloma. Such designation, if awarded, would provide for seven years of marketing exclusivity following US approval for the same indication.
CLR1502 is covered by patent applications directed to the compound, methods of use and method of manufacture that have been filed in U.S., Europe and Japan. Patents resulting from these applications are expected to expire in 2029. Some of these resulting patents may be extendable on a country-by-country basis.
Separate from any patent protection and following product approval by regulatory authorities, data exclusivity may be available for various compounds for up to 10 years on a country-by-country basis (e.g., up to 5 years in the U.S.).
39
In addition to the above noted patents/applications directed to I-124-CLR1404, I-131-CLR1404 and CLR1502, we own other patents/applications directed to different forms of phospholipid ethers and methods of manufacturing of phospholipid ethers.
We also own all intellectual property rights in the U.S. related to our clinical-stage pipeline compound, NOV-002, and other preclinical compounds based on oxidized glutathione. Issued composition-of-matter patents cover proprietary formulations of oxidized glutathione that expire in 2019, and these patents include methods of manufacture for oxidized glutathione formulated with various metals.
Licenses/Collaborations
In September 2003, Cellectar, Inc. entered into a license agreement with the University of Michigan (the U. Mich. License), which granted Cellectar, Inc. exclusive rights to the development, manufacture and marketing of products under several composition of matter patents in North America that expire at varying dates in 2016. The U. Mich. License expires upon the expiration of the last covered patent. We are responsible for an annual license fee of $10,000 and are required to pay costs associated with the maintenance of the patents covered by the U. Mich. License. Additionally, we are required to make milestone payments of $50,000 upon the filing of a NDA for a licensed product intended for use in a therapeutic or diagnostic application (such milestone fees may be deferred and paid within twelve months of the first commercial sale of such product) and make certain milestone payments within a year following the first commercial sale of any licensed products. The sales milestones range from $100,000 to $200,000, dependent upon whether the drug is for use in a diagnostic or therapeutic application. If sales in the first 12 months are less than the amount of the milestone, then we are required to pay 50% of all sales until the milestone is satisfied. The milestone payments may total up to $400,000. The U. Mich. License provides that we pay a royalty equal to 3% of net sales of any licensed products sold by us or our sublicensees for such licensed products unless the sublicense fee payable to us is between 4% and 5% of net sales, then the royalties payable to U. Mich. shall be equal to 50% of the sublicense fee. Furthermore, the U. Mich. License provides for a reduction in the royalties owed by up to 50% if we are required to pay royalties to any third parties related to the sale of the licensed products. If we receive any revenue in consideration of rights to the licensed technology that is not based on net sales, excluding any funded research and development, we are required to pay U. Mich. 10% of amounts received. During 2003, pursuant to the U. Mich. License, Cellectar, Inc. paid approximately $54,000 of back patent costs and issued 203,483 shares of common stock to U. Mich. as partial consideration for the rights described above. U. Mich. may terminate the license agreement if we cease operations, fail to make any required payment under the license agreement, or otherwise materially breach the license agreement, subject to applicable notice and cure periods. To date, we have made all payments as they have become due, there have been no defaults under the U. Mich. License, nor have we ever been notified of a default by U. Mich. We may terminate the U Mich. License agreement with six months notice to U. Mich. and the return of licensed product and related data. The U. Mich. License contains milestones that required certain development activities to be completed by specified dates. All such development milestones have been either completed or removed by subsequent amendment to the agreement. U. Mich. has provided no warranties as to validity or otherwise with respect to the licensed technology. The early termination of the University of Michigan License agreement would result in the loss of our rights to use the covered patents.
Regulation
The production, distribution, and marketing of products employing our technology, and our development activities, are subject to extensive governmental regulation in the United States and in other countries. In the United States, we are subject to the Federal Food, Drug, and Cosmetic Act, as amended, and the regulations of the FDA, as well as to other federal, state, and local statutes and regulations, including the federal, state and local laws and regulations governing the storage, use and disposal of hazardous materials, including radioactive isotopes. These laws, and similar laws outside the United States, govern the clinical and preclinical testing, manufacture, safety, effectiveness, approval, labeling, distribution, sale, import, export, storage, record-keeping, reporting, advertising, and promotion of drugs. Product development and approval within this regulatory framework, if successful, will take many years and involve the expenditure of substantial resources. Violations of regulatory requirements at any stage may result in various adverse consequences, including the FDAs and other health authorities delay in approving or refusal to approve a product. Violations of regulatory requirements also may result in enforcement actions.
40
The following paragraphs provide further information on certain legal and regulatory issues with a particular potential to affect our operations or future marketing of products employing our technology.
Research, Development, and Product Approval Process
The research, development, and approval process in the United States and elsewhere is intensive and rigorous and generally takes many years to complete. The typical process required by the FDA before a therapeutic drug may be marketed in the United States includes:
| | preclinical laboratory and animal tests performed under the FDAs Good Laboratory Practices regulations, referred to herein as GLP; |
| | submission to the FDA of an IND application, which must become effective before human clinical trials may commence; |
| | human clinical studies performed under the FDAs Good Clinical Practices regulations, to evaluate the drugs safety and effectiveness for its intended uses; |
| | FDA review of whether the facility in which the drug is manufactured, processed, packed, or held meets standards designed to assure the products continued quality; and |
| | submission of a marketing application to the FDA, and approval of the application by the FDA. |
Preclinical Testing
During preclinical testing, studies are performed with respect to the chemical and physical properties of candidate formulations. These studies are subject to GLP requirements. Biological testing is typically done in animal models to demonstrate the activity of the compound against the targeted disease or condition and to assess the apparent effects of the new product candidate on various organ systems, as well as its relative therapeutic effectiveness and safety.
Submission of IND
An IND must be submitted to the FDA and become effective before studies in humans may commence. The IND must include a sufficient amount of data and other information concerning the safety and effectiveness of the compound from laboratory, animal, and human clinical testing, as well as data and information on manufacturing, product quality and stability, and proposed product labeling.
Clinical Trials
Clinical trial programs in humans generally follow a three-phase process. Typically, Phase 1 studies are conducted in small numbers of healthy volunteers or, on occasion, in patients afflicted with the target disease. Phase 1 studies are conducted to determine the metabolic and pharmacological action of the product candidate in humans and the side effects associated with increasing doses, and, if possible, to gain early evidence of effectiveness. In Phase 2, studies are generally conducted in larger groups of patients having the target disease or condition in order to validate clinical endpoints, and to obtain preliminary data on the effectiveness of the product candidate and optimal dosing. This phase also helps determine further the safety profile of the product candidate. In Phase 3, large-scale clinical trials are generally conducted in patients having the target disease or condition to provide sufficient data for the statistical proof of effectiveness and safety of the product candidate as required by United States regulatory agencies.
In the case of products for certain serious or life-threatening diseases, the initial human testing may be done in patients with the disease rather than in healthy volunteers. Because these patients are already afflicted with the target disease or condition, it is possible that such studies will also provide results traditionally obtained in Phase 2 studies. These studies are often referred to as Phase 1/2 studies. However, even if patients participate in initial human testing and a Phase 1/2 study carried out, the sponsor is still responsible for obtaining all the data usually obtained in both Phase 1 and Phase 2 studies.
Before proceeding with a study, sponsors may seek a written agreement from the FDA regarding the design, size, and conduct of a clinical trial. This is known as a Special Protocol Assessment (SPA). Among other things, SPAs can cover clinical studies for pivotal trials whose data will form the primary basis to establish a products efficacy. SPAs help establish upfront agreement with the FDA about the adequacy of a
41
clinical trial design to support a regulatory approval, but the agreement is not binding if new circumstances arise. There is no guarantee that a study will ultimately be adequate to support an approval even if the study is subject to an SPA.
United States law requires that studies conducted to support approval for product marketing be adequate and well controlled. In general, this means that either a placebo or a product already approved for the treatment of the disease or condition under study must be used as a reference control. Studies must also be conducted in compliance with good clinical practice requirements, and informed consent must be obtained from all study subjects. The clinical trial process for a new compound can take ten years or more to complete. The FDA may prevent clinical trials from beginning or may place clinical trials on hold at any point in this process if, among other reasons, it concludes that study subjects are being exposed to an unacceptable health risk. Trials may also be prevented from beginning or may be terminated by institutional review boards, which must review and approve all research involving human subjects. Side effects or adverse events that are reported during clinical trials can delay, impede, or prevent marketing authorization. Similarly, adverse events that are reported after marketing authorization can result in additional limitations being placed on a products use and, potentially, withdrawal of the product from the market.
Submission of NDA
Following the completion of clinical trials, the data is analyzed to determine whether the trials successfully demonstrated safety and effectiveness and whether a product approval application may be submitted. In the United States, if the product is regulated as a drug, a NDA must be submitted and approved before commercial marketing may begin. The NDA must include a substantial amount of data and other information concerning the safety and effectiveness of the compound from laboratory, animal, and human clinical testing, as well as data and information on manufacturing, product quality and stability, and proposed product labeling.
Each domestic and foreign manufacturing establishment, including any contract manufacturers we may decide to use, must be listed in the NDA and must be registered with the FDA. The application generally will not be approved until the FDA conducts a manufacturing inspection, approves the applicable manufacturing process and determines that the facility is in compliance with cGMP requirements.
Under the Prescription Drug User Fee Act, as amended, the FDA receives fees for reviewing an NDA and supplements thereto, as well as annual fees for commercial manufacturing establishments and for approved products. These fees can be significant. For fiscal year 2014, the NDA review fee alone is $2,169,100, although certain limited deferral, waivers, and reductions may be available, such as those related to orphan designation.
Each NDA submitted for FDA approval is usually reviewed for administrative completeness and reviewability within 45 to 60 days following submission of the application. If deemed complete, the FDA will file the NDA, thereby triggering substantive review of the application. The FDA can refuse to file any NDA that it deems incomplete or not properly reviewable. The FDA has established performance goals for the review of NDAs six months for priority applications and 10 months for standard applications. However, the FDA is not legally required to complete its review within these periods and these performance goals may change over time.
Moreover, the outcome of the review, even if generally favorable, typically is not an actual approval but an action letter that describes additional work that must be done before the application can be approved. The FDAs review of an application may involve review and recommendations by an independent FDA advisory committee. Even if the FDA approves a product, it may limit the approved therapeutic uses for the product as described in the product labeling, require that warning statements be included in the product labeling, require that additional studies be conducted following approval as a condition of the approval, impose restrictions and conditions on product distribution, prescribing, or dispensing in the form of a risk management plan, or otherwise limit the scope of any approval.
42
Post NDA Regulation
Significant legal and regulatory requirements also apply after FDA approval to market under an NDA. These include, among other things, requirements related to adverse event and other reporting, product advertising and promotion and ongoing adherence to cGMPs, as well as the need to submit appropriate new or supplemental applications and obtain FDA approval for certain changes to the approved product labeling, or manufacturing process. The FDA also enforces the requirements of the Prescription Drug Marketing Act which, among other things, imposes various requirements in connection with the distribution of product samples to physicians.
The regulatory framework applicable to the production, distribution, marketing and/or sale of our product pipeline may change significantly from the current descriptions provided herein in the time that it may take for any of our products to reach a point at which an NDA is approved.
Overall research, development, and approval times depend on a number of factors, including the period of review at FDA, the number of questions posed by the FDA during review, how long it takes to respond to the FDAs questions, the severity or life-threatening nature of the disease in question, the availability of alternative treatments, the availability of clinical investigators and eligible patients, the rate of enrollment of patients in clinical trials, and the risks and benefits demonstrated in the clinical trials.
Other United States Regulatory Requirements
In the United States, the research, manufacturing, distribution, sale, and promotion of drug and biological products are potentially subject to regulation by various federal, state, and local authorities in addition to the FDA, including the Centers for Medicare and Medicaid Services (formerly the Heath Care Financing Administration), other divisions of the United States Department of Health and Human Services (e.g., the Office of Inspector General), the United States Department of Justice and individual United States Attorney offices within the Department of Justice, and state and local governments. For example, sales, marketing, and scientific/educational grant programs must comply with the anti-fraud and abuse provisions of the Social Security Act, the False Claims Act, the privacy provision of the Health Insurance Portability and Accountability Act, and similar state laws, each as amended. Pricing and rebate programs must comply with the Medicaid rebate requirements of the Omnibus Budget Reconciliation Act of 1990 and the Veterans Health Care Act of 1992, each as amended. If products are made available to authorized users of the Federal Supply Schedule of the General Services Administration, additional laws and requirements apply. All of these activities are also potentially subject to federal and state consumer protection, unfair competition, and other laws.
Our research and development, manufacturing and administration of our drugs involve the controlled use of hazardous materials, including chemicals and radioactive materials, such as radioactive isotopes. Therefore, we are subject to federal, state and local laws and regulations governing the storage, use and disposal of these materials and some waste products and are required to maintain both a manufacturers license and a radioactive materials license with State of Wisconsin agencies.
Moreover, we are now, and may become subject to, additional federal, state, and local laws, regulations, and policies relating to safe working conditions, laboratory practices, the experimental use of animals, and/or the use, storage, handling, transportation, and disposal of human tissue, waste, and hazardous substances, including radioactive and toxic materials and infectious disease agents used in conjunction with our research work.
Foreign Regulatory Requirements
We and any future collaborative partners may be subject to widely varying foreign regulations, which may be quite different from those of the FDA, governing clinical trials, manufacture, product registration and approval, and pharmaceutical sales. Whether or not FDA approval has been obtained, we or any future collaboration partners must obtain a separate approval for a product by the comparable regulatory authorities of foreign countries prior to the commencement of product marketing in these countries. In certain countries, regulatory authorities also establish pricing and reimbursement criteria. The approval process varies from country to country, and the time may be longer or shorter than that required for FDA approval. In addition, under current United States law, there are restrictions on the export of products not approved by the FDA, depending on the country involved and the status of the product in that country.
43
Reimbursement and Pricing Controls
In many of the markets where we or any future collaborative partners would commercialize a product following regulatory approval, the prices of pharmaceutical products are subject to direct price controls by law and to drug reimbursement programs with varying price control mechanisms. Public and private health care payers control costs and influence drug pricing through a variety of mechanisms, including through negotiating discounts with the manufacturers and through the use of tiered formularies and other mechanisms that provide preferential access to certain drugs over others within a therapeutic class. Payers also set other criteria to govern the uses of a drug that will be deemed medically appropriate and therefore reimbursed or otherwise covered. In particular, many public and private health care payers limit reimbursement and coverage to the uses of a drug that are either approved by the FDA or that are supported by other appropriate evidence (for example, published medical literature) and appear in a recognized drug compendium. Drug compendia are publications that summarize the available medical evidence for particular drug products and identify which uses of a drug are supported or not supported by the available evidence, whether or not such uses have been approved by the FDA. For example, in the case of Medicare coverage for physician-administered oncology drugs, the Omnibus Budget Reconciliation Act of 1993, with certain exceptions, prohibits Medicare carriers from refusing to cover unapproved uses of an FDA-approved drug if the unapproved use is supported by one or more citations in the American Hospital Formulary Service Drug Information, the American Medical Association Drug Evaluations, or the United States Pharmacopoeia Drug Information. Another commonly cited compendium, for example under Medicaid, is the DRUGDEX Information System.
44
LITIGATION
From its inception through 2010, Novelos was primarily engaged in the development of certain oxidized glutathione-based compounds for application as therapies for disease, particularly cancer. These compounds were originally developed in Russia and in June 2000, Novelos acquired commercial rights from the Russian company (ZAO BAM), which owned the compounds and related Russian patents. In April 2005, Novelos acquired worldwide rights to the compounds (except for the Russian Federation) in connection with undertaking extensive development activities in an attempt to secure FDA approval of the compounds as therapies. These development activities culminated in early 2010 in an unsuccessful Phase 3 clinical trial of an oxidized glutathione compound (NOV-002) as a therapy for non-small cell lung cancer. After the disclosure of the negative outcome of the Phase 3 clinical trial in 2010, ZAO BAM claimed that Novelos modified the chemical composition of NOV-002 without prior notice to or approval from ZAO BAM, constituting a material breach of the June 2000 technology and assignment agreement. In September 2010, Novelos filed a complaint in Massachusetts Superior Court seeking a declaratory judgment by the court that the June 2000 agreement has been entirely superseded by the April 2005 agreement and that the obligations of the June 2000 agreement have been performed and fully satisfied. ZAO BAM answered the complaint and alleged counterclaims. In August 2011, we filed a motion for judgment on the pleadings as to the declaratory judgment count and all counts of ZAO BAMs amended counterclaims. On October 17, 2011, the court ruled in our favor on each of the declaratory judgment claims and dismissed all counts of ZAO BAMs counterclaim. Judgment in our favor was entered on October 20, 2011. On November 14, 2011 ZAO BAM filed a notice of appeal. On November 1, 2013, ZAO BAMs appeal was docketed with the Massachusetts Appeals Court. BAMs appellate brief and the Companys opposition have been filed with the Appeals Court but oral arguments have not yet been scheduled. On April 14, 2014, BAM filed a motion to modify the record on appeal. The Company has opposed the motion.
We do not anticipate that this matter will have a material adverse effect on the Companys future financial position, results of operations or cash flows.
45
MANAGEMENT
During 2013 we had several changes to our board composition and our executive management, as summarized below.
Changes in Management and Relocation of Executive Offices
On October 4, 2013, Harry S. Palmin departed as Chief Executive Officer and resigned from the Board of Directors, and Dr. Simon Pedder was appointed as Acting Chief Executive Officer to succeed Mr. Palmin, and elected to the Board of Directors as a Class III director. In April 2014, Dr. Pedder became President and Chief Executive Officer of the Company.
On November 8, 2013, the Board of Directors approved the relocation of the Companys principal executive offices from Newton, Massachusetts to its corporate headquarters in Madison, Wisconsin. In connection with the relocation, the employment of Christopher Pazoles, Vice President of Research and Development, was terminated effective November 30, 2013. On May 28, 2014, Chad J. Kolean was appointed as our Vice President Finance, Chief Financial Officer and Treasurer, replacing Joanne M. Protano.
Restructuring of Board of Directors
On November 7, 2013, Michael F. Tweedle, a Class II director, resigned from the Companys board of directors and from his committee appointments, and Paul L. Berns was appointed as a Class II director to fill the resulting vacancy. Effective November 8, 2013, Thomas Rockwell Mackie, James S. Manuso, John E. Niederhuber and Howard M. Schneider resigned from the Companys board of directors and from their respective committee appointments. Thereafter, the Board set the number of directors constituting the whole Board at five, consisting of two Class I directors, one Class II Director, and two Class III directors. In connection with such action, Stephen A. Hill and John Neis, who had been Class II directors, were designated and elected as Class I directors to fill the vacancies created in that Class.
Our directors(1) and executive officers are:
| Name | Age | Position | ||
| Stephen A. Hill, B.M. B.Ch., M.A., F.R.C.S.(2)(3)(4) | 56 | Chairman of the Board and Director (Class I) | ||
| Simon Pedder, Ph.D. | 53 | President and Chief Executive Officer and Director (Class III) | ||
| J. Patrick Genn | 57 | Vice President of Business Development | ||
| Chad J. Kolean | 49 | Vice President, Chief Financial Officer and Treasurer | ||
| Kathryn M. McNeil | 39 | Vice President of Investor Relations, Public Relations and Corporate Communications | ||
| Jamey P. Weichert, Ph.D. | 57 | Chief Scientific Officer and Director (Class III) | ||
| Paul L. Berns(2)(3)(4) | 47 | Director (Class II) | ||
| John Neis(2)(3)(4) | 58 | Director (Class I) |

| (1) | Our certificate of incorporation provides for the division of the Board into three classes, Class I, Class II and Class III, as nearly equal in size as possible with staggered three-year terms. At each annual meeting of our stockholders, the terms of one such class expires. The Class II director was most recently re-elected in December 2013. Terms of the Class III directors expire at our 2014 annual meeting, or such later time at which their respective successors are duly elected and qualified. |
| (2) | Member of the compensation committee. |
| (3) | Member of the audit committee. |
| (4) | Member of the nominating and corporate governance committee. |
46
Our executive officers are appointed by, and serve at the discretion of, the Board.
Stephen A. Hill. Dr. Hill was elected the chairman of our board of directors in September 2007. Dr. Hill was appointed the President and CEO of Targacept Inc. in November 2012, effective December 1, 2012. Dr. Hill was the President and CEO of 21CB, a nonprofit initiative of UPMC designed to provide the United States government with a domestic solution for its biodefense and infectious disease biologics portfolio, from March 2011 until December 2011. Dr. Hill served as the President and Chief Executive Officer of Solvay Pharmaceuticals, Inc. from April 2008 until its acquisition by Abbott Laboratories in 2010. Prior to joining Solvay, Dr. Hill had served as ArQule's President and Chief Executive Officer since April 1999. Prior to his tenure at ArQule, Dr. Hill was the Head of Global Drug Development at F. Hoffmann-La Roche Ltd. from 1997 to 1999. Dr. Hill joined Roche in 1989 as Medical Adviser to Roche Products in the United Kingdom. He held several senior positions at Roche, including Medical Director where he was responsible for clinical trials of compounds across a broad range of therapeutic areas, including CNS, HIV, cardiovascular, metabolic and oncology products. Subsequently, he served as Head of International Drug Regulatory Affairs at Roche headquarters in Basel, Switzerland, where he led the regulatory submissions for seven major new chemical entities. Dr. Hill also was a member of Roche's Portfolio Management, Research, Development and Pharmaceutical Division Executive Boards. Prior to Roche, Dr. Hill served seven years with the National Health Service in the United Kingdom in General and Orthopedic Surgery. Dr. Hill has served as the chairman of the board of directors of Lipocine Inc. since January 2014. Dr. Hill is a Fellow of the Royal College of Surgeons of England and holds his scientific and medical degrees from St. Catherine's College at Oxford University. Dr. Hills extensive experience in a broad range of senior management positions with companies in the life sciences sector make him a highly qualified member of our board of directors.
Simon C. Pedder. Dr. Pedder was appointed our Acting Chief Executive Officer and elected a Director of the Company in October 2013 and became President and Chief Executive Officer in April 2014. He served as President, Chief Executive Officer and director of Chelsea Therapeutics, Inc., a development stage biopharmaceutical company, from May 2004 through July 2012. From 1991 through May 2001 and again from January 2003 through May 2004, Dr. Pedder held positions of increasing responsibility at Hoffmann-La Roche Inc., including Director of International Clinical Science, Director of International Clinical Operations, Global Project Leader of Pharmaceutical Development, Life Cycle Leader, PEGASYS/IFN and Head of Hepatitis Franchise, Pharma Business, and Vice President of Pharma Business Oncology. From May 2001 through December 2002, Dr. Pedder was the Vice President and Head of Drug Development at Shearwater Corporation. Dr. Pedder serves on the board of directors of Eboo Pharmaceuticals, Inc. and BTI Pharmaceuticals. Dr. Pedder has a Bachelor of Environmental Studies from the University of Waterloo, a Master of Science in Toxicology from Concordia University and a Ph.D. in Pharmacology from the Medical College at the University of Saskatchewan College of Medicine. Dr. Pedders experience in cancer drug development and his experience managing a public life sciences company make him a highly qualified member of our Board.
J. Patrick Genn. Mr. Genn was appointed our Vice President of Business Development in November 2013. He had previously served as our vice president of investor relations since December 2011. He has 30 years of senior management experience in finance, banking and investment management. Mr. Genn was previously President of Continuum Investment Holdings, Inc. from 2006 through mid-2010 while serving on the board of directors of several biotech and technology companies including Cellectar, Inc. From 2001 through 2005, he was an advisor and consultant to several companies including Carmel Valley Ventures and Continuum Investment Partners. Mr. Genn held several senior management positions at Wells Fargo between 1987 and 2001. He was a member of the senior management team that launched its mortgage lending division in 1987 and its premier banking division in 1993. He was also a member of the core mergers and acquisitions integration team and managed private client services in San Diego, CA. Mr. Genn received a B.B.A. in Marketing and a M.S. in Product Management from the University of Wisconsin-Madison.
Chad J. Kolean. Mr. Kolean was appointed our vice president, chief financial and accounting officer and treasurer in May 2014. He has over 25 years of finance and senior management experience. He served as Chief Financial Officer of Pioneer Surgical Technology, Inc., a global manufacturer and distributor of spinal, biological and orthopedic implants, from April 2012 through September 2013. From September 2011 through March 2012 he served as Pioneers Chief Accounting Officer. Pioneer was acquired by RTI Biologics in July 2013. Mr. Kolean served as the Corporate Controller of TomoTherapy, Inc., a publicly traded developer and manufacturer of radiation oncology equipment from July 2010 through August 2011 (TomoTherapy
47
having been acquired by Accuray in June 2011). From 2009 through July 2010, Mr. Kolean served as the Director of Financial Reporting for Pioneer Surgical Technology, Inc. From 2001 through 2008 he held various positions, including Director of Planning, Analysis and Reporting, Vice President and FSG Controller and Vice President of Shared Services, at Metavante Corporation, a provider of banking and payments technologies and services to financial institutions. Mr. Kolean began his career at Arthur Andersen LLP where he practiced as a certified public accountant. Mr. Kolean holds a Bachelor of Arts in Business Administration from Hope College.
Kathryn M. McNeil. Ms. McNeil was appointed our vice president of investor relations, public relations and corporate communications in October 2013. She has over 10 years of investor relations experience in the life sciences industry. From 2005 through 2012, Ms. McNeil served as the primary external communications strategist for clinical, regulatory and corporate developments for Chelsea Therapeutics, Inc., most recently as the senior director of investor and public relations, advising the senior management team and board of directors on matters of investor and public relations, crisis communications and public affairs. From 2004 to 2005, she held various account management positions including assistant vice president at The Investor Relations Group (IRG), a communications consulting firm focused on providing investor and public relations guidance for micro and small cap companies in the healthcare, biotech and technology industries. From early 2000 through 2002, she held various investor relations positions in the telecommunications industry. Ms. McNeil received a B.A. in Art History from Wesleyan University.
Jamey P. Weichert. Dr. Weichert was the primary founder of Cellectar, Inc. and served as Cellectar, Inc.s Chairman and Chief Scientific Officer beginning in 2002. He was appointed as our Chief Scientific Officer and a director in April 2011 at the time of the Acquisition. Dr. Weichert is an Associate Professor of the Departments of Radiology, Medical Physics, Pharmaceutics and member of the Comprehensive Cancer Center at the University of Wisconsin, Madison. He has a bachelors degree in chemistry from the University of Minnesota and a doctorate in medicinal chemistry from U. Mich. His research interests include the design, synthesis and evaluation of biomimetic CT and MRI imaging agents and diapeutic radiopharmaceuticals. He has been involved in molecularly targeted imaging agent development his entire professional career and has developed or co-developed several imaging agents nearing clinical trial status. Dr. Weichert serves or has served on the editorial boards of numerous scientific journals and has authored more than 40 peer reviewed publications and 150 abstracts. He also has 20 issued or pending patents related to drug delivery, imaging and contrast agent development. Dr. Weicherts experience founding and managing the development of our product candidates and his knowledge of radiation technology are strong qualifications to serve on the Board.
Paul L. Berns. Mr. Berns was appointed a director in November 2013. He was appointed as President and Chief Executive Officer of Anacor Pharmaceuticals in March 2014 and has been a director of Anacor since June 2012. Mr. Berns has served as a member of the board of directors of Jazz Pharmaceuticals, Inc. since June 2010. Mr. Berns has been a director of Anacor Pharmaceuticals, Inc. since June 2012 and of XenoPort, Inc. since 2005. From March 2006 to September 2012, Mr. Berns served as President and Chief Executive Officer, and as a member of the Board of Directors of Allos Therapeutics, Inc., a pharmaceutical company acquired by Spectrum Pharmaceuticals, Inc. From July 2005 to March 2006, Mr. Berns was a self-employed consultant to the pharmaceutical industry. From June 2002 to July 2005, Mr. Berns was president, Chief Executive Officer and a director of Bone Care International, Inc., a specialty pharmaceutical company that was acquired by Genzyme Corporation in 2005. From 2001 to 2002, Mr. Berns served as Vice President and General Manager of the Immunology, Oncology and Pain Therapeutics business unit of Abbott Laboratories. From 2000 to 2001, he served as Vice President, Marketing of BASF Pharmaceuticals/Knoll and from 1990 to 2000, Mr. Berns held various positions, including senior management roles, at Bristol-Myers Squibb Company. Mr. Berns received a B.S. in Economics from the University of Wisconsin. Mr. Berns experience leading and advising drug development companies make him highly qualified to serve on our board.
John Neis. Mr. Neis became a director of our Company in April 2011 at the time of the Acquisition. He had served as director of Cellectar, Inc. since February 2008. Mr. Neis has been Managing Director of Venture Investors LLC since 1986 and heads the firms Healthcare practice. He has over 28 years experience in the venture capital industry and has served on the Board of Directors of numerous companies from formation through initial public offering or sale. Mr. Neis currently serves on the boards of directors of Virent Energy Systems and Deltanoid Pharmaceuticals, Inc. He is a former member of the Boards of Directors of
48
several firms including TomoTherapy (acquired by Accuray), Third Wave Technologies (acquired by Hologic), NimbleGen Systems (acquired by Roche) and Inviragen (acquired by Takeda). Mr. Neis was appointed to the Board of the Wisconsin Technology Council and the Wisconsin Growth Capital Coalition. He also serves on the advisory boards for the Weinert Applied Ventures Program, the Deans Advisory Board in the School of Business and Tandem Press in the School of Education at the University of Wisconsin Madison. Mr. Neis has a B.S. in Finance from the University of Utah, and a M.S. in Marketing and Finance from the University of Wisconsin, Madison. He is a Chartered Financial Analyst. Mr. Neis extensive experience leading emerging companies makes him a highly qualified member of the Board.
49
SECURITY OWNERSHIP OF CERTAIN
BENEFICIAL OWNERS AND MANAGEMENT
At the close of business on August 1, 2014, there were 2,869,739 shares of our common stock outstanding. The following table provides information regarding beneficial ownership of our common stock as of August 1, 2014:
| | Each person known by us to be the beneficial owner of more than five percent of our common stock; |
| | Each of our directors; |
| | Each executive officer named in the summary compensation table; and |
| | All of our current directors and executive officers as a group. |
The address of each executive officer and director is c/o Cellectar Biosciences, Inc., 3301 Agriculture Drive, Madison, WI 53716. The persons named in this table have sole voting and investment power with respect to the shares listed, except as otherwise indicated. In these cases, the information with respect to voting and investment power has been provided to us by the security holder. The identification of natural persons having voting or investment power over securities held by a beneficial owner listed in the table below does not constitute an admission of beneficial ownership of any such natural person. Shares included in the Right to Acquire column consist of shares that may be purchased through the exercise of options or warrants that are exercisable within 60 days of August 1, 2014.
| Name and Address of Beneficial Owner | Outstanding | Right to Acquire |
Total | Percentage | ||||||||||||
| Venture Investors LLC(1) University Technology Park 505 S. Rosa Road; Suite 201 Madison, Wisconsin 53719 |
363,715 | 334,124 | 697,839 | 21.8 | ||||||||||||
| Greenway Properties Inc.(2) 4954 N. Shore Drive Egg Harbor, Wisconsin 54209 |
265,000 | 458,250 | 723,250 | 21.7 | ||||||||||||
| Enso Ventures 2 Limited(3) Suite C1, Hirzel Court St. Peter Port, Guernsey GY12NH |
190,960 | 249,166 | 440,126 | 14.1 | ||||||||||||
| Renova Assets, Ltd.(4) 2nd Terrace West Centreville; P.O. Box N-7755 Nassau, Bahamas |
200,000 | 150,000 | 350,000 | 11.6 | ||||||||||||
| Sabby Management, LLC(5) 10 Mountainview Road, Suite 205 Upper Saddle River, NJ 07458 |
98,273 | 209,340 | 307,613 | 9.99 | ||||||||||||
| Hertzberg Family Trust(6) 2637 Longboat Cove Del Mar, CA 92014 |
10,000 | 273,250 | 283,250 | 9.0 | ||||||||||||
| Jamey P. Weichert(7) c/o Cellectar Biosciences, Inc. 3301 Agriculture Drive Madison, Wisconsin 53716 |
235,336 | 16,686 | 252,022 | 8.7 | ||||||||||||
| Fidelity Management and Research Co.(8) 82 Devonshire Street Boston, Massachusetts 02109 |
125,000 | 125,000 | 250,000 | 8.3 | ||||||||||||
50
| Name and Address of Beneficial Owner | Outstanding | Right to Acquire |
Total | Percentage | ||||||||||||
| Deerfield Capital Management LLC(9) 250 Park Avenue New York, New York 10177 |
61,357 | 145,000 | 206,357 | 6.8 | ||||||||||||
| Simon Pedder | | | | * | ||||||||||||
| Stephen A. Hill | | 16,051 | 16,051 | * | ||||||||||||
| Paul L. Berns | | 1,875 | 1,875 | * | ||||||||||||
| John Neis(2) | 363,715 | 334,124 | 697,839 | 21.8 | ||||||||||||
| All directors and officers as a group (8 persons) | 602,583 | 394,359 | 996,942 | 30.5 | ||||||||||||

| * | Less than 1%. |
| (1) | Ownership consists of shares of common stock held by Venture Investors Early Stage Fund IV Limited Partnership and Advantage Capital Wisconsin Partners I, Limited Partnership. VIESF IV GP LLC is the general partner of Venture Investors Early Stage Fund IV Limited Partnership and Venture Investors LLC is the submanager and special limited partner of Advantage Capital Wisconsin Partners I, Limited Partnership. The investment decisions of VIESF IV GP LLC and Venture Investors LLC are made collectively by seven managers, including Mr. Neis. Each such manager and Mr. Neis disclaim such beneficial ownership except to the extent of his pecuniary interest therein. The address of Mr. Neis is c/o Venture Investors LLC, 505 South Rosa Road, #201, Madison, Wisconsin 53719. Shares in the Right to Acquire column include 50,000 shares of common stock issuable upon the conversion of debt and 50,000 shares of common stock issuable upon the exercise of warrants at $20.00 per share exercisable only upon the conversion of such debt and expire February 6, 2019. Shares in the Right to Acquire column also include common stock issuable upon the exercise of warrants held by Venture Investors Early Stage Fund IV Limited to purchase 223,500 shares common stock at exercise prices ranging from $10.00 to $25.00 per share expiring between March 1, 2016 and February 20, 2018 and common stock issuable upon options to purchase 10,000 shares of common stock at exercise prices ranging from $7.40 to $28.00 per share, issued to Mr. Neis in his capacity as director. |
| (2) | Shares in the Outstanding column include shares held by Jeffery Straubel. Jeffrey Straubel is the President and principal owner of Greenway Properties, Inc. and has sole dispositive and voting power over shares held by Greenway Properties, Inc. Shares in the Right to Acquire column include 131,625 shares of common stock issuable upon the conversion of debt and 131,625 shares of common stock issuable upon the exercise of warrants at $20.00 per share exercisable only upon the conversion of such debt and expire February 6, 2019. Shares in the Right to Acquire column also include shares of common stock issuable upon the exercise of 195,000 warrants to purchase shares common stock at exercise prices ranging from $10.00 to $25.00 per share expiring between March 1, 2016 and February 20, 2018. |
| (3) | Shares in the Right to Acquire column consist of 35,000 shares of common stock issuable upon the conversion of debt and 35,000 shares of common stock issuable upon the exercise of warrants at $20.00 per share exercisable only upon the conversion of such debt and expire February 6, 2019. Shares in the Right to Acquire column also include 179,166 shares of common stock issuable upon the exercise of warrants at exercise prices ranging from $10.00 to $25.00 per share expiring between December 6, 2016 and June 13, 2017. Interlock Director Ltd. has sole dispositive and voting power over shares held by Enso Ventures 2 Limited. Interlock Director Ltd. exercises such power through a combination of two directors of Albecq Directors Limited. The Albecq directors consist of the following individuals: Marianne Domaille, Michael Underdown and Michael Kupenga. |
| (4) | Dispositive and voting power for the shares is held by a majority vote of the board of directors of Renova Assets, Ltd. consisting of Carl Stadelhofer, Marco Montanari, and Oliver Chaponnier. Shares in the Right to Acquire column consist of common stock issuable upon the exercise warrants at exercise prices ranging from $10.00 to $25.00 per share expiring between November 2, 2017 and February 20, 2018. |
| (5) | Consists of shares held by Sabby Healthcare Volatility Master Fund. Ltd. and Sabby Volatility Warrant Master Fund, Ltd. Shares in the Right to Acquire column consist of common stock issuable upon the exercise of warrants at exercise prices ranging from $10.00 per share to $25.00 per share expiring between June 13, 2017 and February 20, 2018. The warrants beneficially owned by Sabby Management LLC provide that the number of shares of common stock to be obtained by each of the holders upon |
51
| exercise cannot exceed the number of shares that, when combined with all other shares of our common stock and securities beneficially owned by them, would result in them owning more than 9.99% of our outstanding common stock, provided, however that this limitation may be revoked by the stockholder upon 61 days prior notice to us. As such, warrants to purchase 15,660 shares of common stock have been omitted from the shares in the Right to Acquire column of this table as a result of these provisions. Sabby Management, LLC shares voting and investment power with respect to these shares on behalf of this stockholder. As manager of Sabby Management, LLC, Hal Mintz also shares voting and investment power on behalf of this stockholder. Each of Sabby Management, LLC and Hal Mintz disclaim beneficial ownership over the securities owned except to the extent of their pecuniary interest therein. Except as described herein, none of the selling stockholders has had, within the past three years, any position, office or other material relationship with the Company or any of our predecessors or affiliates. |
| (6) | Shares in the Right to Acquire column consist of 131,625 shares of common stock issuable upon the conversion of debt and 131,625 shares of common stock issuable upon the exercise of warrants at $20.00 per share exercisable only upon the conversion of such debt and expire February 6, 2019. Shares in the Right to Acquire column also include common stock issuable upon the exercise of warrants to purchase 10,000 shares at $12.00 per share, expiring on December 6, 2016. Richard H. Hertzberg is the trustee of Hertzberg Family Trust and has sole dispositive and voting power for the shares held. |
| (7) | Dr. Weichert serves as a director and our Chief Scientific Officer. The shares beneficially owned by him have been included in the total of directors and officers as a group. |
| (8) | Consists of shares held by Fidelity Select Portfolios: Biotechnology Portfolio and Fidelity Advisor Series VII: Fidelity Advisor. Dispositive and voting power for the shares is held by the Fidelity Funds Board of Trustees. Shares in the Right to Acquire column consists of common stock issuable upon the exercise of warrants at $12.00 per share expiring on December 6, 2016. |
| (9) | Consists of shares held by Deerfield Special Situations International Master Fund L.P. and Deerfield Special Situations Fund L.P. Shares in the Right to Acquire column consist of common stock issuable upon the exercise of warrants at exercise prices ranging from $10.00 per share to $25.00 per share expiring between June 13, 2017 and February 20, 2018. The warrants beneficially owned by Deerfield Capital Management LLC provide that the number of shares of common stock to be obtained by each of the holders upon exercise cannot exceed the number of shares that, when combined with all other shares of our common stock and securities beneficially owned by them, would result in them owning more than 9.99% of our outstanding common stock, provided, however that this limitation may be revoked by the stockholder upon 61 days prior notice to us. No warrants to purchase common stock have been omitted from the shares in the Right to Acquire column of this table as a result of these provisions. Dispositive and voting power for the shares is held by James E. Flynn. |
52
CERTAIN RELATIONSHIPS AND RELATED TRANSACTIONS
We do not have a written policy for the review, approval or ratification of transactions with related parties or conflicted transactions. When such transactions arise, they are referred to the Audit Committee for consideration or for referral to the Board of Directors for its consideration.
One of our directors, John Neis, is a managing director of Venture Investors LLC, which beneficially owns approximately 22% of our common stock.
Jamey Weichert, our Chief Scientific Officer and principal founder of Cellectar, Inc., and a director and shareholder of the Company, is a faculty member at the University of Wisconsin-Madison (U. Wisc.). During the six months ended June 30, 2014, the Company incurred $334,000 for costs associated with clinical trial agreements and during the six months ended June 30, 2013, the Company paid $62,500 for use towards unrestricted research activities. During the year ended December 31, 2013, the Company made contributions to UW totaling $187,500 for use towards unrestricted research activities. The Company paid $380,625 to UW for costs associated with clinical trial and other research agreements during the year ended December 31, 2013. During the year ended December 31, 2012, the Company made contributions to UW totaling $269,000 for use towards unrestricted research activities and paid UW approximately $349,000 for costs associated with clinical trial and other research agreements.
Simon Pedder, our President and Chief Executive Officer, holds an 8% promissory note issued on July 29, 2014, in the amount of $25,000.
Legacy Compounds Transactions and Litigation
From its inception through 2010, Novelos was primarily engaged in the development of certain oxidized glutathione-based compounds for application as therapies for disease, particularly cancer. These compounds were originally developed in Russia. In June 2000, Novelos acquired commercial rights from the Russian company (ZAO BAM) which owned the compounds and related Russian patents. In April 2005, Novelos acquired worldwide rights to the compounds (except for the Russian Federation) in connection with undertaking extensive development activities in an attempt to secure FDA approval of the compounds as therapies. These development activities culminated in early 2010 in an unsuccessful Phase 3 clinical trial of an oxidized glutathione compound (NOV-002) as a therapy for non-small cell lung cancer. The principal equity owner of ZAO BAM, Mark Balazovsky, was a founder of Novelos and served as a director until November 2006. Pursuant to the April 2005 royalty and technology transfer agreement, Novelos is required to pay ZAO BAM royalties equal to 1.2% of net sales of oxidized glutathione products and $2,000,000 for each new oxidized glutathione drug following FDA approval of such drug. In the absence of royalty payments, Novelos is required to pay ZAO BAM 3% of all license revenues plus 9% of the amount by which Novelos license revenues exceed its total expenses. In 2008, Novelos paid $15,000 to ZAO BAM representing 3% of payment under a foreign license agreement. Novelos is also obligated to pay Oxford Group, Ltd., or its assignees, a royalty in the amount of 0.8% of our net sales of oxidized glutathione-based products. At this time, Novelos does not expect to devote any substantial resources to the further development of its oxidized glutathione compounds.
After the disclosure of the negative outcome of the Phase 3 clinical trial in 2010, ZAO BAM claimed that Novelos modified the chemical composition of NOV-002 without prior notice to or approval from ZAO BAM, constituting a material breach of the June 2000 technology and assignment agreement. In September 2010, Novelos filed a complaint in Massachusetts Superior Court seeking a declaratory judgment by the court that the June 2000 agreement has been entirely superseded by the April 2005 agreement and that the obligations of the June 2000 agreement have been performed and fully satisfied. ZAO BAM answered the complaint and alleged counterclaims. In August 2011, we filed a motion for judgment on the pleadings as to the declaratory judgment count and all counts of ZAO BAMs amended counterclaims. On October 17, 2011, the court ruled in our favor on each of the declaratory judgment claims and dismissed all counts of ZAO BAMs counterclaim. Judgment in our favor was entered on October 20, 2011. On November 14, 2011 ZAO BAM filed a notice of appeal. On November 1, 2013, ZAO BAMs appeal was docketed with the Massachusetts Appeals Court. BAMs appellate brief and the Companys opposition have been filed with the Appeals Court but oral arguments have not yet been scheduled. On April 14, 2014, BAM filed a motion to modify the record on appeal. The Company has opposed the motion.
53
UNDERWRITING
Aegis Capital Corp. (Aegis) is acting as the sole managing underwriter of this offering. Under the terms and subject to the conditions contained in an underwriting agreement dated the date of this prospectus, Aegis, or the underwriter, has agreed to purchase, and we have agreed to sell to them, all securities offered by this prospectus.
Nature of Underwriting Commitment
The underwriting agreement provides that the underwriter is committed to purchase all securities offered in this offering, other than those covered by the over-allotment option described below, if the underwriter purchases any of these securities. The underwriting agreement provides that the obligations of the underwriter to purchase the securities offered hereby is conditional and may be terminated at its discretion based on its assessment of the state of the financial markets. The obligations of the underwriter may also be terminated upon the occurrence of other events specified in the underwriting agreement. Furthermore, pursuant to the underwriting agreement, the underwriters obligations are subject to various other customary conditions, representations and warranties contained in the underwriting agreement, such as receipt by the underwriter of officers certificates and legal opinions of our counsel.
Pricing of Securities
The underwriter has advised us that it proposes to offer the securities directly to the public at the public offering price set forth on the cover page of this prospectus, and to certain dealers that are members of the Financial Industry Regulatory Authority (FINRA), at such price less a concession not in excess of $ per share of common stock, together with a warrant to purchase one share of common stock. The underwriter may allow, and the selected dealers may reallow, a concession not in excess of $ per share of common stock, together with a warrant to purchase one share of common stock to certain brokers and dealers. After this offering, the offering price and concessions and discounts to brokers and dealers and other selling terms may from time to time be changed by the underwriter. These prices should not be considered an indication of the actual value of our shares of common stock and are subject to change as a result of market conditions and other factors. No variation in those terms will change the amount of proceeds to be received by us as set forth on the cover page of this prospectus.
Our common stock is quoted on the OTCQX® marketplace under the symbol CLRB and prior to February 12, 2014 were quoted under the symbol NVLT. On August , 2014, the closing market price of our common stock as quoted on OTCQX was $ . The public offering price for the securities was determined by negotiation between us and the underwriter. The principal factors considered in determining the public offering price of the securities included:
| | the information in this prospectus and otherwise available to the underwriters; |
| | the history and the prospects for the industry in which we will compete; |
| | our current financial condition and the prospects for our future cash flows and earnings; |
| | the general condition of the economy and the securities markets at the time of this offering; |
| | the recent market prices of, and the demand for, publicly-traded securities of generally comparable companies; and |
| | the public demand for our securities in this offering. |
We cannot be sure that the public offering price will correspond to the price at which our shares of common stock will trade in the public market following this offering or that an active trading market for our shares of common stock will develop and continue after this offering.
54
Commissions and Discounts
The following table summarizes the compensation to be paid to the underwriter by us and the proceeds, before expenses, payable to us, assuming a $ offering price. The information assumes either no exercise or full exercise by the underwriter of the over-allotment option.
| Total | ||||||||||||
| Per Share and Warrant | Without Over-Allotment |
With Over-Allotment | ||||||||||
| Public offering price | $ | $ | $ | |||||||||
| Underwriting discount (7%)(1)(4) | $ | $ | $ | |||||||||
| Non-accountable expense allowance (1%)(2)(4) | $ | $ | $ | |||||||||
| Proceeds, before expenses, to us(3) | $ | $ | $ | |||||||||

| (1) | Underwriting discount is $ per share and warrant (7% of the price of the share and warrant securities sold in the offering, provided that such percentage shall be 3.5% with respect to any securities sold to existing investors in the company and no discount shall be applied to any securities issued in exchange for up to $4.0 million in proceeds from the optional redemption of outstanding convertible notes.) |
| (2) | The expense allowance of 1% is not payable with respect to securities sold upon exercise of the underwriters over-allotment option. Includes $25,000 which was previously paid to the underwriter as an advance against accountable expenses. |
| (3) | We estimate that the total expenses of this offering, excluding the underwriters discount and the non-accountable expense allowance are approximately $ . |
Over-allotment Option
We have granted to the underwriter an option to purchase up to (i) additional shares of common stock at price of $ per share, which price reflects underwriting discounts and commissions, and/or (ii) additional warrants at price of $ per warrant, which price reflects underwriting discounts and commissions. The over-allotment option may be used to purchase shares of common stock or warrants, as determined by the underwriter, but such purchases cannot exceed an aggregate of 15% of the number of shares and warrants sold in the primary offering. The underwriter may exercise this option for 45 days from the date of this prospectus solely to cover sales of securities by the underwriter in excess of the total number of securities set forth in the table above. If any of these additional securities are purchased, the underwriter will offer the additional securities on the same terms as those on which the securities are being offered. We will pay the expenses associated with the exercise of the over-allotment option.
Underwriters Warrants
We have agreed to issue to the underwriter warrants to purchase up to 5% of shares of common stock sold in this offering, including the shares sold pursuant to the exercise of the over-allotment option, if any, provided that such percentage shall be 2.5% with respect to any shares sold to existing investors in the company and no underwriter warrants will be issued in respect of shares issued in exchange for proceeds from the optional redemption of outstanding convertible debentures. The shares of common stock issuable upon exercise of these warrants are identical to those offered by this prospectus. The underwriters warrants are exercisable for cash or on a cashless basis at per share exercise price equal to 125% of the public offering price of one share of common stock together with a warrant to purchase one share of common stock in this offering commencing on a date which is one year from the date of effectiveness of the registration statement of which this prospectus is a part and expiring five years from such effective date in compliance with FINRA Rule 5110(f)(2)(H)(i). The underwriters warrants and the shares of common stock underlying the warrants have been deemed compensation by FINRA and are, therefore, subject to a 180-day lock-up pursuant to Rule 5110(g)(1) of FINRA. The underwriter (or permitted assignees under Rule 5110(g)(2) of FINRA) will not sell, transfer, assign, pledge or hypothecate these warrants or the securities underlying these warrants, nor will it engage in any hedging, short sale, derivative, put or call transaction that would result in the effective economic disposition of these warrants or the underlying securities for a period of 180 days after the effective date. In addition, the underwriters warrants provide for piggyback registration rights, subject to certain exceptions. The piggyback registration rights provided will be available for a period of five years from the
55
effective date of the offering, in compliance with FINRA Rule 5110(f)(2)(H)(v). We will bear all fees and expenses attendant to registering the securities issuable on exercise of the underwriters warrants, other than underwriting commissions incurred and payable by the holders. The exercise price and number of shares issuable upon exercise of the warrants may be adjusted in certain circumstances including in the event of a stock dividend, extraordinary cash dividend or our recapitalization, reorganization, merger or consolidation. However, the warrant exercise price or underlying shares will not be adjusted for issuances of common stock at a price below the warrant exercise price.
Lock-ups
All of our directors and executive officers and our significant stockholders will enter into lock-up agreements that prevent them from selling any shares of our common stock or any securities convertible into or exercisable or exchangeable for shares of our common stock, subject to certain exceptions, for a period of not less than 3 months from the date of this prospectus without the prior written consent of the underwriter. The underwriter may in its sole discretion and at any time without notice release some or all of the shares subject to lock-up agreements prior to the expiration of the lock-up period. When determining whether or not to release shares from the lock-up agreements, the underwriter will consider, among other factors, the stockholders reasons for requesting the release, the number of shares for which the release is being requested and market conditions at the time.
Right of Participation
Subject to certain conditions, we granted the underwriter, for a period of twelve months after the effective date (or commencement of sales if later), a non-exclusive right of participation to act as a book-running manager for each and every future public equity and public debt offerings by the company or its successor. If we are successful in obtaining a listing in the Nasdaq Capital Market, such right of participation shall become a right of first refusal to act as lead book-runner during such twelve month period. The underwriter may be compensated for any breach of this right in an amount equal to the greater of 1% of the aggregate gross proceeds at such offering, or 5% of the aggregate underwriter or placement fees in such offering subject to any reduction required by FINRAs rules.
Other Terms
The underwriting agreement provides that we will be responsible for and pay all expenses related to the offering including, among other things, our counsel fees, printing and filing fees, including FINRA filing fees under FINRA Rule 5110, actual road show expenses up to $20,000, up to $25,000 for compliance software costs, background checks on our officers and certain directors up to $5,000 per person not to exceed $15,000, in the aggregate, for all background checks, and underwriter counsel fees not to exceed $75,000. We have advanced the underwriter the sum of $25,000 against such accountable expenses, which will be reimbursable to us in the event this offering does not close to the extent not expended by the underwriter, in accordance with FINRA Rule 5110(f)(2)(C).
In connection with this offering, the underwriter or certain of the securities dealers may distribute prospectuses electronically. No forms of prospectus other than printed prospectuses and electronically distributed prospectuses that are printable in Adobe PDF format will be used in connection with this offering.
The underwriter has informed us that it does not expect to confirm sales of securities offered by this prospectus to accounts over which they exercise discretionary authority without obtaining the specific approval of the account holder.
Stabilization
Until the distribution of the shares offered by this prospectus is completed, rules of the SEC may limit the ability of the underwriter to bid for and to purchase our securities. As an exception to these rules, the underwriter may engage in transactions effected in accordance with Regulation M under the Securities Exchange Act of 1934 that are intended to stabilize, maintain or otherwise affect the price of our common stock. The underwriter may engage in over-allotment sales, syndicate covering transactions, stabilizing transactions and penalty bids in accordance with Regulation M.
56
| | Stabilizing transactions permit bids or purchases for the purpose of pegging, fixing or maintaining the price of the common stock, so long as stabilizing bids do not exceed a specified maximum. |
| | Over-allotment involves sales by the underwriter of securities in excess of the number of securities the underwriter is obligated to purchase, which creates a short position. The short position may be either a covered short position or a naked short position. In a covered short position, the number of securities over-allotted by the underwriter is not greater than the number of securities that it may purchase in the over-allotment option. In a naked short position, the number of securities involved is greater than the number of securities in the over-allotment option. The underwriter may close out any covered short position by either exercising its over-allotment option as to shares or warrants or by purchasing shares or warrants in the open market. |
| | Covering transactions involve the purchase of securities in the open market after the distribution has been completed in order to cover short positions. In determining the source of securities to close out the short position, the underwriter will consider, among other things, the price of securities available for purchase in the open market as compared to the price at which it may purchase securities through the over-allotment option. If the underwriter sells more shares of common stock than could be covered by the over-allotment option, creating a naked short position, the position can only be closed out by buying securities in the open market. A naked short position is more likely to be created if the underwriter is concerned that there could be downward pressure on the price of the securities in the open market after pricing that could adversely affect investors who purchase in this offering. |
| | Penalty bids permit the underwriter to reclaim a selling concession from a selected dealer when the shares of common stock originally sold by the selected dealer are purchased in a stabilizing or syndicate covering transaction. |
These stabilizing transactions, covering transactions and penalty bids may have the effect of raising or maintaining the market price of our securities or preventing or retarding a decline in the market price of our securities. As a result, the price of our securities may be higher than the price that might otherwise exist in the open market.
Neither we nor the underwriter make any representation or prediction as to the effect that the transactions described above may have on the prices of our securities. These transactions may occur on the over the counter market or on any other trading market. If any of these transactions are commenced, they may be discontinued without notice at any time.
Foreign Regulatory Restrictions on Purchase of the Securities
We have not taken any action to permit a public offering of our securities outside the United States or to permit the possession or distribution of this prospectus outside the United States. Persons outside the United States who come into possession of this prospectus must inform themselves about and observe any restrictions relating to this offering of shares and the distribution of the prospectus outside the United States.
In addition to the public offering of the securities in the United States, the underwriter may, subject to the applicable foreign laws, also offer the securities to certain institutions or accredited persons in the following countries:
Australia. If this document is issued or distributed in Australia it is issued or distributed to wholesale clients only, not to retail clients. For the purposes of this paragraph, the terms wholesale client and retail client have the meanings given in section 761 of the Australian Corporations Act 2001 (Cth). This document is not a disclosure document under the Australian Corporations Act, has not been lodged with the Australian Securities & Investments Commission and does not purport to include the information required of a disclosure document under the Australian Corporations Act. Accordingly, (i) the offer of securities under this document is only made to persons to whom it is lawful to offer such securities under one or more exemptions set out in the Australian Corporations Act, (ii) this document is only made available in Australia to those persons referred to in clause (i) above, and (iii) the offeree must be sent a notice stating in substance that, by accepting this offer, the offeree represents that the offeree is such a person as referred to in clause (i) above, and, unless permitted under the Australian Corporations Act, agrees not to sell or offer for sale within Australia any of the securities sold to the offeree within 12 months after its transfer to the offeree under this document.
57
China. THIS PROSPECTUS HAS NOT BEEN AND WILL NOT BE CIRCULATED OR DISTRIBUTED IN THE PRC, AND ADSs MAY NOT BE OFFERED OR SOLD, AND WILL NOT BE OFFERED OR SOLD TO ANY PERSON FOR RE-OFFERING OR RESALE, DIRECTLY OR INDIRECTLY, TO ANY RESIDENT OF THE PRC EXCEPT PURSUANT TO APPLICABLE LAWS AND REGULATIONS OF THE PRC.
DIFC. DIFC and UAE have different requirements and, as a result, a generic legend for each is provided below.
UAE. The offering has not been approved or licensed by the Central Bank of the United Arab Emirates (the UAE), Securities and Commodities Authority of the UAE and/or any other relevant licensing authority in the UAE including any licensing authority incorporated under the laws and regulations of any of the free zones established and operating in the territory of the UAE, in particular the Dubai Financial Services Authority (the DFSA), a regulatory authority of the Dubai International Financial Centre (the DIFC).
The offering does not constitute a public offer of securities in the UAE, DIFC and/or any other free zone in accordance with the Commercial Companies Law, Federal Law No. 8 of 1984 (as amended), DFSA Offered Securities Rules and NASDAQ Dubai Listing Rules, accordingly, or otherwise. The securities offered hereby may not be offered to the public in the UAE and/or any of the free zones, including, in particular, the DIFC.
The securities offered hereby may be offered and issued only to a limited number of investors in the UAE or any of its free zones (including, in particular, the DIFC) who qualify as sophisticated investors under the relevant laws and regulations of the UAE or the free zone concerned, including, in particular, the DIFC.
The Company represents and warrants that the securities offered hereby will not be offered, sold, transferred or delivered to the public in the UAE or any of its free zones, including, in particular, the DIFC.
Dubai. The issuer is not licensed by the Dubai Financial Services Authority (DFSA) to provide financial services in the Dubai International Financial Centre (DIFC). The offering has not been approved or licensed by the Central Bank of the United Arab Emirates (the UAE), Securities and Commodities Authority of the UAE and/or any other relevant licensing authority in the UAE including any licensing authority incorporated under the laws and regulations of any of the free zones established and operating in the territory of the UAE, in particular the DFSA, a regulatory of the DIFC.
The offering does not constitute a public offer of securities in the UAE, DIFC and/or any other free zone in accordance with the Commercial Companies Law, Federal Law No.8 of 1984 (as amended), DFSA Offered Securities Rules and NASDAQ Dubai Listing Rules, accordingly, or otherwise. The securities offered hereby may not be offered to the public in the UAE and/or any of the free zones, including, in particular, the DIFC.
The securities offered hereby may be offered and issued only to a limited number of investors in the UAE or any of its free zones (including, in particular, the DIFC) who qualify as sophisticated investors under the relevant laws and regulations of the UAE or the free zone concerned, including, in particular, the DIFC.
The Company represents and warrants that the securities offered hereby will not be offered, sold, transferred or delivered to the public in the UAE or any of its free zones, including, in particular, the DIFC.
Israel. The securities offered by this prospectus have not been approved or disapproved by the Israeli Securities Authority (the ISA), nor have such securities been registered for sale in Israel. The securities may not be offered or sold, directly or indirectly, to the public in Israel, absent the publication of a prospectus. The ISA has not issued permits, approvals or licenses in connection with the offering or publishing the prospectus; nor has it authenticated the details included herein, confirmed their reliability or completeness, or rendered an opinion as to the quality of the common stock being offered. Any resale, directly or indirectly, to the public of the securities offered by this prospectus is subject to restrictions on transferability and must be effected only in compliance with the Israeli securities laws and regulations.
Pakistan. The investors/subscribers in Pakistan will be responsible for ensuring their eligibility to invest under the applicable laws of Pakistan and to obtain any regulatory consents if required for such purpose.
58
Saudi Arabia. NO OFFERING OF SECURITIES IS BEING MADE IN THE KINGDOM OF SAUDI ARABIA, AND NO AGREEMENT RELATING TO THE SALE OF THE SECURITIES WILL BE CONCLUDED IN SAUDI ARABIA. THIS DOCUMENT IS PROVIDED AT THE REQUEST OF THE RECIPIENT AND IS BEING FORWARDED TO THE ADDRESS SPECIFIED BY THE RECIPIENT. NEITHER THE AGENT NOR THE OFFERING HAVE BEEN LICENSED BY THE SAUDIS SECURITIES AND EXCHANGE COMMISSION OR ARE OTHERWISE REGULATED BY THE LAWS OF THE KINGDOM OF SAUDI ARABIA.
THEREFORE, NO SERVICES RELATING TO THE OFFERING, INCLUDING THE RECEIPT OF APPLICATIONS AND/OR THE ALLOTMENT OF THE SECURITIES, MAY BE RENDERED WITHIN THE KINGDOM BY THE AGENT OR PERSONS REPRESENTING THE OFFERING.
UK. The content of this prospectus has not been issued or approved by an authorized person within the meaning of the United Kingdom Financial Services and Markets Act 2000 (FSMA). Reliance on this prospectus for the purpose of engaging in any investment activity may expose an Investor to a significant risk of losing all of the property or other assets invested. This prospectus does not constitute a Prospectus within the meaning of the FSMA and is issued in reliance upon one or more of the exemptions from the need to issue such a prospectus contained in section 86 of the FSMA.
Indemnification
The underwriting agreement provides for indemnification between us and the underwriter against specified liabilities, including liabilities under the Securities Act, and for contribution by us and the underwriter to payments that may be required to be made with respect to those liabilities. We have been advised that, in the opinion of the SEC, indemnification for liabilities under the Securities Act is against public policy as expressed in the Securities Act, and is therefore, unenforceable.
59
DESCRIPTION OF SECURITIES
Under our amended and restated certificate of incorporation, our authorized capital stock consists of 20,000,000 shares of common stock, $0.00001 par value per share and 7,000 shares of preferred stock, $0.00001 par value per share.
Our amended and restated certificate of incorporation authorizes us to issue shares of our preferred stock from time to time in one or more series without stockholder approval. There is no issued or outstanding preferred stock.
All outstanding shares of our common stock are duly authorized, validly issued, fully-paid and non-assessable.
Reverse Stock Split and Recapitalization
At our annual meeting of stockholders held on May 22, 2014, our stockholders approved an amendment to our certificate of incorporation to effect a reverse split of our common stock at a ratio between 1:10 to 1:20 in order to satisfy requirements for the listing of our common stock on the NASDAQ Capital Market. In addition, the proposal approved by the stockholders provided that if the reverse split was effected, the number of shares of Common Stock that the Corporation is authorized to issue would be reduced from 150,000,000 to the greater of (A) 20,000,000 and (B) the number of shares equal to three (3) times the sum of the number of all shares of our common stock outstanding and the number of shares of common stock issuable upon exercise or conversion of all outstanding options, warrants and convertible debt. Our stockholders further authorized the board of directors to determine the ratio at which the reverse split would be effected and the corresponding reduction in authorized shares of common stock by filing an appropriate amendment to our certificate of incorporation. Our board of directors authorized the ratio of the Reverse Split and corresponding reduction in authorized shares on June 6, 2014 and effective at the close of business on June 13, 2014, we amended our second amended and restated certificate of incorporation to effect the Listing Reverse Split and reduce the number of authorized shares of our common stock to 20,000,000 from 150,000,000. All share and per share numbers included in this prospectus give effect to the Listing Reverse Split.
Common Stock
Voting. Holders of our common stock are entitled to one vote per share held of record on all matters to be voted upon by our stockholders. Our common stock does not have cumulative voting rights. Persons who hold a majority of the outstanding common stock entitled to vote on the election of directors can elect all of the directors who are eligible for election.
Dividends. Subject to preferences that may be applicable to the holders of any outstanding shares of our preferred stock, the holders of our common stock are entitled to receive such lawful dividends as may be declared by our board of directors.
Liquidation and Dissolution. In the event of our liquidation, dissolution or winding up, and subject to the rights of the holders of any outstanding shares of our preferred stock, the holders of shares of our common stock will be entitled to receive pro rata all of our remaining assets available for distribution to our stockholders.
Other Rights and Restrictions. Our charter prohibits us from granting preemptive rights to any of our stockholders. All outstanding shares are fully paid and nonassessable.
Listing. Our common stock is traded on the OTCQX platform of the over-the-counter bulletin board under the symbol OTCQX: CLRB.
Warrants to be Issued as Part of this Offering
The warrants offered in this offering will be issued in a form filed as an exhibit to the registration statement of which this prospectus is a part. You should review a copy of the form of warrant for a complete description of the terms and conditions applicable to the warrants. The following is a brief summary of the warrants and is subject in all respects to the provisions contained in the form of warrant.
Each warrant represents the right to purchase one share of common stock at an exercise price equal to $ , subject to adjustment as described below. Each warrant may be exercised on or after the closing date
60
of this offering through and including the close of business on the fifth anniversary of the date of issuance. Each warrant will have a cashless exercise right in the event that the shares of common stock underlying such warrants are not covered by an effective registration statement at the time of such exercise.
The exercise price and the number of shares underlying the warrants are subject to appropriate adjustment in the event of stock splits, stock dividends on our common stock, stock combinations or similar events affecting our common stock. In addition, in the event we consummate any merger, consolidation, sale or other reorganization event in which our common stock is converted into or exchanged for securities, cash or other property or we consummate a sale of substantially all of our assets, in each case within two years of the date of issuance, and the exercise price of the warrants exceeds the consideration paid in respect of our common stock in connection with such transaction, then in connection with following such event, the holders of the warrants will be entitled to receive an amount equal to the Black-Scholes value of the warrants as of the date of such transaction.
No fractional shares of common stock will be issued in connection with the exercise of a warrant. In lieu of fractional shares, we will pay the holder an amount in cash equal to the fractional amount multiplied by the market value of a share of common stock. A warrant may be transferred by a holder, upon surrender of the warrant, properly endorsed (by the holder executing an assignment in the form attached to the warrant).
The warrants are not exercisable by their holder to the extent (but only to the extent) that such holder or any of its affiliates would beneficially own in excess of 4.99% of our common stock.
Amendments and waivers of the terms of the warrants require the written consent of the holder of such warrant and us.
Underwriters Warrants
In addition, we have agreed to issue to the underwriters warrants to purchase up to an aggregate of 5% of the shares of common stock sold in this offering, including shares sold pursuant to the over-allotment option, if any, provided that such percentage shall be 2.5% with respect to any shares sold to existing investors in the company and no underwriters warrants will be issued in respect of shares issued in exchange for proceeds from the option from the optional redemption of outstanding convertible debentures. The shares of common stock issuable upon exercise of these warrants are identical to those offered by this prospectus. The underwriters warrants are exercisable for cash or on a cashless basis at per share exercise price equal to 125% of the public offering price of one share of common stock, together with a warrant to purchase one share of common stock in this offering commencing on a date which is six months from the date of effectiveness of the registration statement of which this prospectus is a part and expiring on a date which is no more than five years from such effective date incompliance with FINRA Rule 5110(f)(2)(H)(i). The underwriters warrants do not have antidilution protections and are not transferable for 180 days from the date of the commencement of sales of the offering except as allowed by FINRA Rule 5110(g).
THE HOLDER OF A WARRANT WILL NOT POSSESS ANY RIGHTS AS A STOCKHOLDER UNDER THAT WARRANT UNTIL THE HOLDER EXERCISES THE WARRANT. THE WARRANTS MAY BE TRANSFERRED INDEPENDENT OF THE COMMON STOCK WITH WHICH THEY WERE ISSUED, SUBJECT TO APPLICABLE LAWS.
Anti-Takeover Effect of Certain Charter and By-Law Provisions
Provisions of our charter and our by-laws could make it more difficult to acquire us by means of a merger, tender offer, proxy contest, open market purchases, removal of incumbent directors and otherwise. These provisions, which are summarized below, are expected to discourage types of coercive takeover practices and inadequate takeover bids and to encourage persons seeking to acquire control of us to first negotiate with us. We believe that the benefits of increased protection of our potential ability to negotiate with the proponent of an unfriendly or unsolicited proposal to acquire or restructure us outweigh the disadvantages of discouraging takeover or acquisition proposals because negotiation of these proposals could result in an improvement of their terms.
Authorized but Unissued Stock. We have shares of common stock and preferred stock available for future issuance, in some cases, without stockholder approval. We may issue these additional shares for a variety of corporate purposes, including public offerings to raise additional capital, corporate acquisitions,
61
stock dividends on our capital stock or equity compensation plans. The existence of unissued and unreserved common stock and preferred stock may enable our board of directors to issue shares to persons friendly to current management or to issue preferred stock with terms that could render more difficult or discourage a third-party attempt to obtain control of us, thereby protecting the continuity of our management. In addition, if we issue preferred stock, the issuance could adversely affect the voting power of holders of common stock and the likelihood that such holders will receive dividend payments and payments upon liquidation.
Amendments to by-laws. Our certificate of incorporation and by-laws authorize the Board to amend, repeal, alter or rescind the by-laws at any time without stockholder approval. Allowing the Board to amend our by-laws without stockholder approval enhances Board control over our by-laws.
Classification of Board; removal of directors; vacancies. Our certificate of incorporation provide for the division of the Board into three classes as nearly equal in size as possible with staggered three-year terms; that directors may be removed only for cause by the affirmative vote of the holders of two-thirds of our shares of capital stock entitled to vote; and that any vacancy on the Board, however occurring, including a vacancy resulting from an enlargement of the board, may be filled only by the vote of a majority of the directors then in office. The limitations on the removal of directors and the filling of vacancies could have the effect of making it more difficult for a third party to acquire, or of discouraging a third party from acquiring, control of us. Our certificate of incorporation requires the affirmative vote of the holders of at least 75% of our shares of capital stock issued and outstanding and entitled to vote to amend or repeal any of these provisions.
Notice Periods for Stockholder Meetings. Our by-laws provide that for business to be brought by a stockholder before an annual meeting of stockholders, the stockholder must give written notice to the corporation not less than 90 nor more than 120 days prior to the one year anniversary of the date of the annual meeting of stockholders of the previous year; provided, however, that in the event that the annual meeting of stockholders is called for a date that is not within 30 days before or after such anniversary date, notice by the stockholder must be received not later than the close of business on the tenth day following the day on which the corporation's notice of the date of the meeting is first given or made to the stockholders or disclosed to the general public, whichever occurs first.
Stockholder action; special meetings. Our certificate of incorporation provides that stockholder action may not be taken by written action in lieu of a meeting and provides special meetings of the stockholders may only be called by our president or by our Board. These provisions could have the effect of delaying until the next stockholders' meeting stockholder actions that are favored by the holders of a majority of our outstanding voting securities. These provisions may also discourage another person or entity from making a tender offer for our common stock, because that person or entity, even if it acquired a majority of our outstanding voting securities, would be able to take action as a stockholder only at a duly called stockholders' meeting, and not by written consent. Our certificate of incorporation requires the affirmative vote of the holders of at least 75% of our shares of capital stock issued and outstanding and entitled to vote to amend or repeal the provisions relating to prohibition on action by written consent and the calling of a special meeting of stockholders.
Nominations. Our by-laws provide that nominations for election of directors may be made only by (i) the Board or a committee appointed by the Board; or (ii) a stockholder entitled to vote on director election, if the stockholder provides notice to the Secretary of the Corporation presented not less than 90 days nor more than 120 days prior to the anniversary of the last annual meeting (subject to the limited exceptions set forth in the bylaws). These provisions may deter takeovers by requiring that any stockholder wishing to conduct a proxy contest have its position solidified well in advance of the meeting at which directors are to be elected and by providing the incumbent Board with sufficient notice to allow them to put an election strategy in place.
62
DISCLOSURE OF COMMISSION POSITION ON
INDEMNIFICATION FOR SECURITIES ACT LIABILITIES
Our charter contains provisions to indemnify our directors and officers to the maximum extent permitted by Delaware law. We believe that indemnification under our charter covers at least negligence on the part of an indemnified person. Our charter permits us to advance expenses incurred by an indemnified person in connection with the defense of any action or proceeding arising out of the persons status or service as our director, officer, employee or other agent upon an undertaking by the person to repay those advances if it is ultimately determined that the person is not entitled to indemnification.
Insofar as indemnification for liabilities arising under the Securities Act of 1933 may be permitted to directors, officers and controlling persons of the registrant pursuant to the foregoing provisions, or otherwise, the registrant has been advised that in the opinion of the Securities and Exchange Commission such indemnification is against public policy as expressed in the Securities Act of 1933 and is, therefore, unenforceable.
WHERE YOU CAN FIND MORE INFORMATION
We are a reporting company and file annual, quarterly and special reports, and other information with the Securities and Exchange Commission. Copies of the reports and other information may be read and copied at the SECs Public Reference Room at 100 F Street NE, Washington, D.C. 20549. You can request copies of such documents by writing to the SEC and paying a fee for the copying cost. You may obtain information on the operation of the Public Reference Room by calling the SEC at 1-800-SEC-0330. The SEC maintains a web site at http://www.sec.gov that contains reports, proxy and information statements and other information regarding registrants that file electronically with the SEC.
This prospectus is part of a registration statement on Form S-1 that we filed with the SEC. Certain information in the registration statement has been omitted from this prospectus in accordance with the rules and regulations of the SEC. We have also filed exhibits and schedules with the registration statement that are excluded from this prospectus. For further information you may:
| | read a copy of the registration statement, including the exhibits and schedules, without charge at the SECs Public Reference Room; or |
| | obtain a copy from the SEC upon payment of the fees prescribed by the SEC. |
63
LEGAL MATTERS
The validity of the securities being offered by this prospectus has been passed upon for us by Foley Hoag LLP, Boston, Massachusetts. Ellenoff Grossman & Schole LLP, New York, New York, is acting as counsel to the underwriters in this offering.
EXPERTS
The audited financial statements incorporated by reference in this prospectus and elsewhere in the registration statement have been so incorporated by reference in reliance upon the report of Grant Thornton LLP, independent registered public accountants, upon the authority of said firm as experts in accounting and auditing.
INCORPORATION OF DOCUMENTS BY REFERENCE
We incorporate by reference the filed documents listed below, except as superseded, supplemented or modified by this prospectus, and any future filings we will make with the SEC under Sections 13(a), 13(c), 14 or 15(d) of the Securities Exchange Act of 1934 (the Exchange Act):
| | Our Annual Report on Form 10-K for the fiscal year ended December 31, 2013 filed on March 19, 2014; |
| | Our Current Report on Form 8-K for the event date of February 11, 2014 filed on February 13, 2014; |
| | Our Current Report on Form 8-K for the event date of February 5, 2014 filed on February 10, 2014; |
| | Our Current Report on Form 8-K for the event date of April 11, 2014 filed on April 11, 2014; |
| | Our Quarterly Report on Form 10-Q for the quarter ended March 31, 2014 filed on May 14, 2014; |
| | Our Current Report on Form 8-K for the event date of May 22, 2014 filed on May 22, 2014; |
| | Our Current Report on Form 8-K for the event date of May 28, 2014 filed on May 30, 2014; |
| | Our Current Report on Form 8-K for the event date of June 1, 2014 filed on June 5, 2014; |
| | Our Current Report on Form 8-K for the event date of June 9, 2014 filed on June 13, 2014; |
| | Our Current Report on Form 8-K for the event date of June 11, 2014 filed on June 17, 2014; and |
| | Our Quarterly Report on Form 10-Q for the quarter ended June 30, 2014 filed on August 4, 2014. |
The reports and other documents that we file after the date of this prospectus pursuant to Sections 13(a), 13(c), 14 or 15(d) of the Exchange Act will update, supplement and supersede the information in this prospectus. You may request and obtain a copy of any of the filings incorporated herein by reference, at no cost, by writing or telephoning us at the following address or phone number:
Cellectar Biosciences, Inc., 3301 Agriculture Drive, Madison, WI 53716, Attention: Chief Financial Officer
64
GLOSSARY OF CERTAIN SCIENTIFIC TERMS
Akt Akt (also known as Akt/PKB) is an important cell signaling enzyme (a serine/threonine protein kinase) that plays a key role in multiple cellular processes such as glucose metabolism, cell proliferation, apoptosis, transcription and cell migration.
Apoptosis A highly regulated, normal cell process leading to programmed cell death by which organisms can eliminate damaged or aberrant cells. Apoptosis is often abnormally suppressed in cancer cells, contributing to their uncontrolled proliferation.
Cytotoxic Cytotoxicity is the quality of being toxic to cells (i.e. cell-killing). Many cancer chemotherapeutic drugs are cytotoxic to cancer cells (and, to some extent, normal cells) thus resulting in unwanted side-effects e.g. nausea/vomiting, hair loss, suppression of the immune system.
Dosimetry Radiation dosimetry is the calculation of absorbed dose and optimization of dose delivery in radiation therapy.
Lipid Rafts Specialized regions of the membrane phospholipid bilayer that contain high concentrations of cholesterol and sphingolipids and serve to organize cell surface and intracellular signaling molecules (e.g. growth factor and cytokine receptors, the phophatidylinosotol 3-kinase (P13K)/Akt survival pathway).
Radiolabeled Refers to a molecule containing a radioisotope as a part of its structure.
Radioisotope Also referred to as radioactive isotopes or radionuclides. These are variants of atoms of particular chemical elements (e.g. iodine) with an unstable nucleus that can undergo radioactive decay during which ionizing radiation (e.g. gamma rays, subatomic particles) is emitted.
Uptake An act of taking in or absorbing, especially into a living organism, tissue or cell.
Xenograft Tissue, organs or cells from an individual of one species transplanted into or grafted onto an individual of another species.
65
I-124-CLR1404: Cancer PET Imaging:
Non-Small Cell Lung Cancer Brain Metastases
Three previously unknown non-small cell lung cancer brain metastases that were detected by I-124-CLR1404 PET scanning.
Malignant melanoma brain metastasis
Increased I-124-CLR1404 activity (arrow) matched with a small focus of abnormal enhancement within the right frontal lobe on contrast MR in a patient who previously underwent resection and subsequent surgery for metastatic melanoma. No abnormal activity was seen in this area on the concurrent clinical 18F-FDG PET study. Based on the clinical MR and FDG PET findings, distinction between radiation necrosis and tumor recurrence was not possible. However, follow-up MR imaging at 8 months indicated that the lesion had continued to enlarge, associated with progressive perilesional edema, concerning but still indeterminate for metastatic disease. The original I-124-CLR1404 PET image of this small lesion would have suggested malignant recurrence. (Provided by Dr. Perry Pickhardt, University of Wisconsin Carbone Cancer Center)
Up to $20 Million in Shares of Common Stock and Warrants to Purchase
Shares of Common Stock

PROSPECTUS

Aegis Capital Corp
Through and including , 2014 (the 25th day after the date of this offering), all dealers effecting transactions in these securities, whether or not participating in this offering, may be required to deliver a prospectus. This is in addition to a dealers obligation to deliver a prospectus when acting as an underwriter and with respect to an unsold allotment or subscription.
PART II
INFORMATION NOT REQUIRED IN PROSPECTUS
Item 13. Other Expenses of Issuance and Distribution
The following table provides information regarding the various actual and anticipated expenses (other than underwriter fees and expenses) payable by us in connection with the issuance and distribution of the securities being registered hereby. All amounts shown are estimates except the Securities and Exchange Commission registration fee.
| Nature of Expense | Amount | |||
| SEC registration fee | $ | 5,925 | ||
| Accounting fees and expenses | 25,000 | |||
| Legal fees and expenses | 170,000 | |||
| Nasdaq listing fees | 50,000 | |||
| Transfer agents fees and expenses | 5,000 | |||
| Printing and related fees | 20,000 | |||
| Miscellaneous | 70,000 | |||
| Total | $ | 345,925 | ||
Item 14. Indemnification of Directors and Officers
Section 102(b)(7) of the Delaware General Corporation Law allows us to adopt a charter provision eliminating or limiting the personal liability of directors to us or our stockholders for breach of fiduciary duty as directors, but the provision may not eliminate or limit the liability of directors for (a) any breach of the director's duty of loyalty to us or our stockholders, (b) any acts or omissions not in good faith or which involve intentional misconduct or a knowing violation of law, (c) unlawful payments of dividends or unlawful stock repurchases or redemptions under Section 174 of the Delaware General Corporation Law or (d) any transaction from which the director derived an improper personal benefit. Article Seventh of our charter provides that none of our directors shall be personally liable to us or our stockholders for monetary damages for any breach of fiduciary duty as a director, subject to the limitations imposed by Section 102(b)(7). Article Seventh also provides that no amendment to or repeal of Article Seventh shall apply to or have any effect on the liability or the alleged liability of any director with respect to any acts or omissions of such director occurring prior to such amendment or repeal. A principal effect of Article Seventh is to eliminate or limit the potential liability of our directors for monetary damages arising from breaches of their duty of care, unless the breach involves one of the four exceptions described in (a) through (d) above.
Section 145 of the Delaware General Corporation Law provides, in general, that a corporation incorporated under the laws of the State of Delaware, such as us, may indemnify any person who was or is a party or is threatened to be made a party to any threatened, pending or completed action, suit or proceeding (other than a derivative action by or in the right of the corporation) by reason of the fact that such person is or was a director, officer, employee or agent of the corporation, or is or was serving at the request of the corporation as a director, officer, employee or agent of another enterprise, against expenses (including attorneys fees), judgments, fines and amounts paid in settlement actually and reasonably incurred by such person in connection with such action, suit or proceeding if such person acted in good faith and in a manner such person reasonably believed to be in or not opposed to the best interests of the corporation, and, with respect to any criminal action or proceeding, had no reasonable cause to believe such person's conduct was unlawful. In the case of a derivative action, a Delaware corporation may indemnify any such person against expenses (including attorneys fees) actually and reasonably incurred by such person in connection with the defense or settlement of such action or suit if such person acted in good faith and in a manner such person reasonably believed to be in or not opposed to the best interests of the corporation, except that no indemnification will be made in respect of any claim, issue or matter as to which such person will have been adjudged to be liable to the corporation unless and only to the extent that the Court of Chancery of the State of Delaware or any other court in which such action was brought determines such person is fairly and reasonably entitled to indemnity for such expenses.
II-1
Article Eighth of our amended and restated certificate of incorporation and Section 5.1 of our bylaws provide that we will indemnify our directors, officers, employees and agents to the extent and in the manner permitted by the provisions of the Delaware General Corporation Law, as amended from time to time, subject to any permissible expansion or limitation of such indemnification, as may be set forth in any shareholders or directors resolution or by contract.
Item 15. Recent Sales of Unregistered Securities
In the last three years we have sold the following securities in reliance on, unless otherwise indicated, the exemption under Section 4(2) of the Securities Act of 1933, as amended, as transactions not involving any public offering. All share and per share amounts have been adjusted to give effect to the 1-for-20 Listing Reverse Split.
2014
From April 1, 2014 to present:
None.
From January 1, 2014 through March 31, 2014:
On February 6, 2014, we sold $4,000,000 in principal amount of convertible debentures and warrants to purchase 400,000 shares of our common stock for an aggregate purchase price of $4,000,000. The debentures mature on February 6, 2016 and are convertible at any time at a conversion price of $10.00 per share into an aggregate of 400,000 shares of common stock. The debentures accrue interest at an annual rate of 8%, payable upon redemption or conversion, in cash or shares of our common stock. The warrants have an exercise price of $20.00 and, if unexercised, expire on February 6, 2019. The warrants are exercisable only following the full or partial conversion of the associated debentures, and in the event of a partial conversion the warrant shall become exercisable only for a proportionate number of the total shares subject to the warrant. In the event any debentures cease to be outstanding prior to the associated warrants becoming exercisable, whether by reason of repayment, prepayment, redemption or otherwise, the associated warrants will automatically terminate.
2013
From January 1, 2013 through December 31, 2013:
None.
2012
From October 1, 2012 through December 31, 2012:
On November 2, 2012, pursuant to a securities purchase agreement dated November 1, 2012 with an institutional investor, we issued 100,000 shares of our common stock, warrants to purchase up to an aggregate of 100,000 shares of our common stock at an exercise price of $20.00 per share, exercisable for 90 days from issuance, and warrants to purchase up to an aggregate of 50,000 shares of our common stock at an exercise price of $25.00 per share, exercisable for five years from issuance, for total gross proceeds of $2,000,000.
From July 1, 2012 through September 30, 2012:
On September 13, 2012, we issued 6,184 shares of common stock pursuant to the cashless exercise of warrants to purchase 20,322 shares of common stock. The warrants had an expiration date of March 31, 2016 and an exercise price of $15.00 per share.
From April 1, 2012 through June 30, 2012:
On May 18, 2012, we issued 660 shares of common stock upon the cashless exercise of warrants to purchase 1,155 shares of common stock. The warrants had an expiration date of July 27, 2015 and an exercise price of $12.00 per share.
On May 3, 2012, we issued 9,087 shares of common stock upon the cashless exercise of warrants to purchase 16,666 shares of common stock. The warrants had an expiration date of March 31, 2016 and an exercise price of $15.00 per share.
II-2
On April 30, 2012, we issued 1,250 shares of common stock upon the cashless exercise of warrants to purchase 2,024 shares of common stock. The warrants had an expiration date of March 31, 2016 and an exercise price of $15.00 per share.
On April 26, 2012, we issued 29,149 shares of common stock upon the cashless exercise of warrants to purchase 41,666 shares of common stock. The warrants had an expiration date of December 6, 2016 and an exercise price of $12.00 per share.
From January 1, 2012 through March 31, 2012:
On March 28, 2012, we issued 514 shares of our common stock upon the cashless exercise of warrants to purchase 1,365 shares of common stock. The warrants had an expiration date of July 27, 2015 and an exercise price of $12.00 per share.
On March 28, 2012, we issued 2,207 shares of our common stock upon the cashless exercise of warrants to purchase 10,000 shares of common stock. The warrants had an expiration date of March 31, 2016 and an exercise price of $15.00 per share.
2011
From July 1, 2011 through December 31, 2011:
None.
From April 1, 2011 through June 30, 2011:
On April 8, 2011, we issued an aggregate of 850,079 shares of our common stock as merger consideration to the former shareholders of Cellectar.
Concurrently with the Acquisition, on April 8, 2011, we entered into a Securities Purchase Agreement with certain accredited investors under which we sold an aggregate of 342,326 units, each unit consisting of one share of our common stock and a warrant to purchase one share of our common stock, at a price of $15.00 per unit for gross proceeds of $5,134,903. The warrants have an exercise price of $15.00 and expire on March 31, 2016. We also issued a warrant to purchase 9,646 shares of our common stock for $15.00, expiring March 31, 2016, to the placement agent in the financing.
On May 3, 2011, we issued 907 shares of our common stock in connection with the cashless exercise of warrants to purchase 1,365 shares of common stock at $15.00 per share.
II-3
Item 16. Exhibits and Financial Statement Schedules
| Exhibit No. |
Description | Filed with this Form S-1 |
Incorporated by Reference | |||||||||
| Form | Filing Date | Exhibit No. |
||||||||||
| 1.1 | Form of Underwriting Agreement | S-1/A | July 7, 2014 | 1.1 | ||||||||
| 2.1 | Agreement and Plan of Merger by and among Novelos Therapeutics, Inc., Cell Acquisition Corp. and Cellectar, Inc. dated April 8, 2011 | 8-K | April 11, 2011 | 2.1 | ||||||||
| 3.1 | Second Amended and Restated Certificate of Incorporation | 8-K | April 11, 2011 | 3.1 | ||||||||
| 3.2 | Certificate of Ownership and Merger of Cellectar Biosciences, Inc. with and into Novelos Therapeutics, Inc. | 8-K | February 11, 2014 | 3.1 | ||||||||
| 3.3 | Certificate of Amendment to the Second Amended and Restated Articles of Incorporation | 8-K | June 13, 2014 | 3.1 | ||||||||
| 3.4 | Amended and Restated By-laws | 8-K | June 1, 2011 | 3.1 | ||||||||
| 4.1 | Form of common stock certificate | S-1/A | November 9, 2011 | 4.1 | ||||||||
| 5.1 | Legal Opinion of Foley Hoag LLP | S-1/A | July 7, 2014 | 5.1 | ||||||||
| 10.1 | Form of non-plan non-qualified stock option used from February to May 2005 | SB-2 | November 16, 2005 | 10.4 | ||||||||
| 10.2 | Form of non-plan non-qualified stock option used after May 2005 | SB-2 | November 16, 2005 | 10.5 | ||||||||
| 10.3 | 2006 Stock Incentive Plan, as amended | 8-K | December 18, 2013 | 10.1 | ||||||||
| 10.4 | Form of Incentive Stock Option under Novelos Therapeutics, Inc.s 2006 Stock Incentive Plan | 8-K | December 15, 2006 | 10.1 | ||||||||
| 10.5 | Form of Non-Statutory Stock Option under Novelos Therapeutics, Inc.s 2006 Stock Incentive Plan | 8-K | December 15, 2006 | 10.2 | ||||||||
| 10.6 | Common Stock Purchase Warrant dated February 11, 2009 | 8-K | February 18, 2009 | 4.2 | ||||||||
| 10.7 | Form of Common Stock Purchase Warrant issued pursuant to the Consent and Waiver of Holders of Series C Convertible Preferred Stock and Series E Convertible Preferred Stock dated July 6, 2010 | S-1A | July 7, 2010 | 10.53 | ||||||||
| 10.8 | Form of Common Stock Purchase Warrant dated April 8, 2011 |
8-K | April 11, 2011 | 4.3 | ||||||||
| 10.9 | Securities Purchase Agreement dated April 8, 2011 | 8-K | April 11, 2011 | 10.1 | ||||||||
| 10.10 | License Agreement between Cellectar, LLC and the Regents of the University of Michigan dated September 14, 2003, as amended through June 2010 | S-1 | July 1, 2011 | 10.31 | ||||||||
| 10.11 | Lease Agreement between Cellectar, LLC and McAllen Properties LLC, as amended and extended | S-1 | July 1, 2011 | 10.32 | ||||||||
| 10.12 | Loan Agreement between the Wisconsin Department of Commerce and Cellectar, Inc. dated September 15, 2010 | S-1 | July 1, 2011 | 10.33 | ||||||||
| 10.13 | General Business Security Agreement dated September 15, 2010 | S-1 | July 1, 2011 | 10.34 | ||||||||
| 10.14 | Form of Warrant dated December 6, 2011 | S-1/A | November 9, 2011 | 4.2 | ||||||||
| 10.15 | Placement Agent Agreement dated April 9, 2012 between the Company and Rodman and Renshaw, LLC | S-1 | April 9, 2012 | 10.31 | ||||||||
| 10.16 | Securities Purchase Agreement dated June 7, 2012 | 8-K | June 11, 2012 | 10.1 | ||||||||
| 10.17 | Amendment Agreement dated May 11, 2012 between the Company and Rodman and Renshaw, LLC | S-1/A | May 14, 2012 | 10.33 | ||||||||
| 10.18 | Form of Common Stock Purchase Warrant dated June 13, 2012 |
8-K | June 11, 2012 | 4.1 | ||||||||
| 10.19 | Securities Purchase Agreement between the Company and Renova Industries Ltd. | 10-Q | November 6, 2012 | 10.2 | ||||||||
| 10.20 | Form of Securities Purchase Agreement | 8-K | February 14, 2013 | 10.1 | ||||||||
II-4
| Exhibit No. |
Description | Filed with this Form S-1 |
Incorporated by Reference | |||||||
| Form | Filing Date | Exhibit No. |
||||||||
| 10.21 | Form of Common Stock Purchase Warrant | 8-K | February 14, 2013 | 4.1 | ||||||
| 10.22 | Amendment and restated Placement Agent Agreement dated January 8, 2013 between the Company and Burrill LLC |
S-1/A | January 31, 2013 | 10.37 | ||||||
| 10.23 | Retention Agreement between the Company and Christopher Pazoles dated July 26, 2013 | 10-Q | November 13, 2013 | 10.2 | ||||||
| 10.24 | Retention Agreement between the Company and Joanne M. Protano dated July 26, 2013 |
10-Q | November 13, 2013 | 10.3 | ||||||
| 10.25 | Consulting Agreement between the Company and Simon Pedder dated October 4, 2013 |
10-Q | November 13, 2013 | 10.4 | ||||||
| 10.26 | Employment Agreement between the Company and Simon Pedder dated October 4, 2013 |
10-Q | November 13, 2013 | 10.5 | ||||||
| 10.27 | Waiver Agreement between the Company and Renova Assets Ltd. dated October 9, 2013 |
8-K | October 10,2013 | 10.1 | ||||||
| 10.28 | Securities Purchase Agreement dated February 5, 2014 | 8-K | February 10, 2014 | 10.1 | ||||||
| 10.29 | Form of Convertible Debenture | 8-K | February 10, 2014 | 4.1 | ||||||
| 10.30 | Form of Common Stock Purchase Warrant | 8-K | February 10, 2014 | 4.2 | ||||||
| 10.31 | Form of Warrant Agreement between Cellectar Biosciences, Inc. and American Stock Transfer and Trust Company |
S-1/A | July 7, 2014 | 10.31 | ||||||
| 10.32 | Form of Note Purchase and Security Agreement | 10-Q | August 4, 2014 | 10.1 | ||||||
| 10.33 | Form of 8% Secured Promissory Note | 10-Q | August 4, 2014 | 10.2 | ||||||
| 10.34 | Form of Consent Agreement with Debenture Holders | 10-Q | August 4, 2014 | 10.3 | ||||||
| 21.1 | List of Subsidiaries | 10-K | March 19, 2014 | 21.1 | ||||||
| 23.1 | Consent of Foley Hoag LLP (included in Exhibit 5.1) | |||||||||
| 23.2 | Consent of Grant Thornton LLP | X | ||||||||
| 24.1 | Powers of Attorney (included on signature page) | S-1 | May 19, 2014 | 24.1 | ||||||
Item 17. Undertakings.
| a. | The undersigned registrant hereby undertakes: |
| 1. | To file, during any period in which offers or sales are being made, a post-effective amendment to this registration statement: |
| i. | To include any prospectus required by section 10(a)(3) of the Securities Act of 1933; |
| ii. | To reflect in the prospectus any facts or events arising after the effective date of the registration statement (or the most recent post-effective amendment thereof) which, individually or in the aggregate, represent a fundamental change in the information set forth in the registration statement. Notwithstanding the foregoing, any increase or decrease in volume of securities offered (if the total dollar value of securities offered would not exceed that which was registered) and any deviation from the low or high end of the estimated maximum offering range may be reflected in the form of prospectus filed with the Commission pursuant to Rule 424(b) if, in the aggregate, the changes in volume and price represent no more than 20% change in the maximum aggregate offering price set forth in the Calculation of Registration Fee table in the effective registration statement. |
| 2. | That, for the purpose of determining any liability under the Securities Act of 1933, each such post-effective amendment shall be deemed to be a new registration statement relating to the securities offered therein, and the offering of such securities at that time shall be deemed to be the initial bona fide offering thereof. |
| 3. | To remove from registration by means of a post-effective amendment any of the securities being registered which remain unsold at the termination of the offering. |
II-5
| 4. | That, for the purpose of determining liability under the Securities Act of 1933 to any purchaser, each prospectus filed pursuant to Rule 424(b) as part of a registration statement relating to the offering shall be deemed to be part of and included in the registration statement as of the date it is first used after effectiveness. Provided, however, that no statement made in a registration statement or prospectus that is part of the registration statement or made in a document incorporated or deemed incorporated by reference into the registration statement or prospectus that is part of the registration statement will, as to a purchaser with a time of contract of sale prior to such first use, supersede or modify any statement that was made in the registration statement or prospectus that was part of the registration statement or made in any such document immediately prior to such date of first use. |
| 5. | That, for the purpose of determining liability of the registrant under the Securities Act of 1933 to any purchaser in the initial distribution of the securities: The undersigned registrant undertakes that in a primary offering of securities of the undersigned registrant pursuant to this registration statement, regardless of the underwriting method used to sell the securities to the purchaser, if the securities are offered or sold to such purchaser by means of any of the following communications, the undersigned registrant will be a seller to the purchaser and will be considered to offer or sell such securities to such purchaser: |
| i. | Any preliminary prospectus or prospectus of the undersigned registrant relating to the offering required to be filed pursuant to Rule 424; |
| ii. | Any free writing prospectus relating to the offering prepared by or on behalf of the undersigned registrant or used or referred to by the undersigned registrant; |
| iii. | The portion of any other free writing prospectus relating to the offering containing material information about the undersigned registrant or its securities provided by or on behalf of the undersigned registrant; and |
| iv. | Any other communication that is an offer in the offering made by the undersigned registrant to the purchaser. |
| b. | Insofar as indemnification for liabilities arising under the Securities Act of 1933 may be permitted to directors, officers and controlling persons of the registrant pursuant to the foregoing provisions, or otherwise, the registrant has been advised that in the opinion of the Securities and Exchange Commission such indemnification is against public policy as expressed in the Act and is, therefore, unenforceable. In the event that a claim for indemnification against such liabilities (other than the payment by the registrant of expenses incurred or paid by a director, officer or controlling person of the registrant in the successful defense of any action, suit or proceeding) is asserted by such director, officer or controlling person in connection with the securities being registered, the registrant will, unless in the opinion of its counsel the matter has been settled by controlling precedent, submit to a court of appropriate jurisdiction the question whether such indemnification by it is against public policy as expressed in the Act and will be governed by the final adjudication of such issue. |
II-6
Pursuant to the requirements of the Securities Act of 1933, as amended, the registrant has duly caused this Amendment to the registration statement to be signed on its behalf by the undersigned, thereunto duly authorized, in the City of Madison, State of Wisconsin, on August 6, 2014.
CELLECTAR BIOSCIENCES, INC.
| By: | /s/ Simon Pedder![]() Simon Pedder President and Chief Executive Officer |
SIGNATURES
Pursuant to the requirements of the Securities Act of 1933, as amended, this Amendment to the Registration Statement has been signed by the following persons in the capacities and on the dates indicated.
| Signature | Title | Date | ||
/s/ Simon Pedder![]() Simon Pedder |
Chief Executive Officer and Director (principal executive officer) |
August 6, 2014 | ||
/s/ Chad J. Kolean![]() Chad J. Kolean |
Chief Financial Officer (principal financial officer and principal accounting officer) |
August 6, 2014 | ||
*![]() Stephen A. Hill |
Chairman of the Board of Directors | August 6, 2014 | ||
*![]() Paul L. Berns |
Director | August 6, 2014 | ||
*![]() John Neis |
Director | August 6, 2014 | ||
*![]() Jamey P. Weichert |
Director | August 6, 2014 |
* /s/ Simon Pedder as attorney-in-fact.
II-7
EXHIBIT INDEX
| Exhibit No. |
Description | Filed with this Form S-1 |
Incorporated by Reference | |||||||
| Form | Filing Date | Exhibit No. |
||||||||
| 1.1 | Form of Underwriting Agreement | S-1/A | July 7, 2014 | 1.1 | ||||||
| 2.1 | Agreement and Plan of Merger by and among Novelos Therapeutics, Inc., Cell Acquisition Corp. and Cellectar, Inc. dated April 8, 2011 | 8-K | April 11, 2011 | 2.1 | ||||||
| 3.1 | Second Amended and Restated Certificate of Incorporation | 8-K | April 11, 2011 | 3.1 | ||||||
| 3.2 | Certificate of Ownership and Merger of Cellectar Biosciences, Inc. with and into Novelos Therapeutics, Inc. | 8-K | February 11, 2014 | 3.1 | ||||||
| 3.3 | Certificate of Amendment to the Second Amended and Restated Articles of Incorporation | 8-K | June 13, 2014 | 3.1 | ||||||
| 3.4 | Amended and Restated By-laws | 8-K | June 1, 2011 | 3.1 | ||||||
| 4.1 | Form of common stock certificate | S-1/A | November 9, 2011 | 4.1 | ||||||
| 5.1 | Legal Opinion of Foley Hoag LLP | S-1/A | July 7, 2014 | 5.1 | ||||||
| 10.1 | Form of non-plan non-qualified stock option used from February to May 2005 | SB-2 | November 16, 2005 | 10.4 | ||||||
| 10.2 | Form of non-plan non-qualified stock option used after May 2005 | SB-2 | November 16, 2005 | 10.5 | ||||||
| 10.3 | 2006 Stock Incentive Plan, as amended | 8-K | December 18, 2013 | 10.1 | ||||||
| 10.4 | Form of Incentive Stock Option under Novelos Therapeutics, Inc.s 2006 Stock Incentive Plan | 8-K | December 15, 2006 | 10.1 | ||||||
| 10.5 | Form of Non-Statutory Stock Option under Novelos Therapeutics, Inc.s 2006 Stock Incentive Plan | 8-K | December 15, 2006 | 10.2 | ||||||
| 10.6 | Common Stock Purchase Warrant dated February 11, 2009 | 8-K | February 18, 2009 | 4.2 | ||||||
| 10.7 | Form of Common Stock Purchase Warrant issued pursuant to the Consent and Waiver of Holders of Series C Convertible Preferred Stock and Series E Convertible Preferred Stock dated July 6, 2010 | S-1A | July 7, 2010 | 10.53 | ||||||
| 10.8 | Form of Common Stock Purchase Warrant dated April 8, 2011 |
8-K | April 11, 2011 | 4.3 | ||||||
| 10.9 | Securities Purchase Agreement dated April 8, 2011 | 8-K | April 11, 2011 | 10.1 | ||||||
| 10.10 | License Agreement between Cellectar, LLC and the Regents of the University of Michigan dated September 14, 2003, as amended through June 2010 | S-1 | July 1, 2011 | 10.31 | ||||||
| 10.11 | Lease Agreement between Cellectar, LLC and McAllen Properties LLC, as amended and extended | S-1 | July 1, 2011 | 10.32 | ||||||
| 10.12 | Loan Agreement between the Wisconsin Department of Commerce and Cellectar, Inc. dated September 15, 2010 | S-1 | July 1, 2011 | 10.33 | ||||||
| 10.13 | General Business Security Agreement dated September 15, 2010 |
S-1 | July 1, 2011 | 10.34 | ||||||
| 10.14 | Form of Warrant dated December 6, 2011 | S-1/A | November 9, 2011 | 4.2 | ||||||
| 10.15 | Placement Agent Agreement dated April 9, 2012 between the Company and Rodman and Renshaw, LLC | S-1 | April 9, 2012 | 10.31 | ||||||
| 10.16 | Securities Purchase Agreement dated June 7, 2012 | 8-K | June 11, 2012 | 10.1 | ||||||
| 10.17 | Amendment Agreement dated May 11, 2012 between the Company and Rodman and Renshaw, LLC | S-1/A | May 14, 2012 | 10.33 | ||||||
| 10.18 | Form of Common Stock Purchase Warrant dated June 13, 2012 |
8-K | June 11, 2012 | 4.1 | ||||||
| 10.19 | Securities Purchase Agreement between the Company and Renova Industries Ltd. | 10-Q | November 6, 2012 | 10.2 | ||||||
| 10.20 | Form of Securities Purchase Agreement | 8-K | February 14, 2013 | 10.1 | ||||||
II-8
| Exhibit No. |
Description | Filed with this Form S-1 |
Incorporated by Reference | |||||||
| Form | Filing Date | Exhibit No. |
||||||||
| 10.21 | Form of Common Stock Purchase Warrant | 8-K | February 14, 2013 | 4.1 | ||||||
| 10.22 | Amendment and restated Placement Agent Agreement dated January 8, 2013 between the Company and Burrill LLC |
S-1/A | January 31, 2013 | 10.37 | ||||||
| 10.23 | Retention Agreement between the Company and Christopher Pazoles dated July 26, 2013 | 10-Q | November 13, 2013 | 10.2 | ||||||
| 10.24 | Retention Agreement between the Company and Joanne M. Protano dated July 26, 2013 |
10-Q | November 13, 2013 | 10.3 | ||||||
| 10.25 | Consulting Agreement between the Company and Simon Pedder dated October 4, 2013 |
10-Q | November 13, 2013 | 10.4 | ||||||
| 10.26 | Employment Agreement between the Company and Simon Pedder dated October 4, 2013 |
10-Q | November 13, 2013 | 10.5 | ||||||
| 10.27 | Waiver Agreement between the Company and Renova Assets Ltd. dated October 9, 2013 |
8-K | October 10,2013 | 10.1 | ||||||
| 10.28 | Securities Purchase Agreement dated February 5, 2014 | 8-K | February 10, 2014 | 10.1 | ||||||
| 10.29 | Form of Convertible Debenture | 8-K | February 10, 2014 | 4.1 | ||||||
| 10.30 | Form of Common Stock Purchase Warrant | 8-K | February 10, 2014 | 4.2 | ||||||
| 10.31 | Form of Warrant Agreement between Cellectar Biosciences, Inc. and American Stock Transfer and Trust Company |
S-1/A | July 7, 2014 | 10.31 | ||||||
| 10.32 | Form of Note Purchase and Security Agreement | 10-Q | August 4, 2014 | 10.1 | ||||||
| 10.33 | Form of 8% Secured Promissory Note | 10-Q | August 4, 2014 | 10.2 | ||||||
| 10.34 | Form of Consent Agreement with Debenture Holders | 10-Q | August 4, 2014 | 10.3 | ||||||
| 21.1 | List of Subsidiaries | 10-K | March 19, 2014 | 21.1 | ||||||
| 23.1 | Consent of Foley Hoag LLP (included in Exhibit 5.1) | |||||||||
| 23.2 | Consent of Grant Thornton LLP | X | ||||||||
| 24.1 | Powers of Attorney (included on signature page) | S-1 | May 19, 2014 | 24.1 | ||||||
II-9